Aneurysm
Abdulameer M. HusseinAneurysm
It is a dilatation of the arterial wall of at least 50% increase over normal arterial diameter .Classification
Aneurysms may be classified by1. Type.
2. Morphology.
True
False
3. Location.
Aortic Aneurysm
What is an aortic aneurysm?An aortic aneurysm is a bulge in a section of the aorta {greater than 50 percent of the normal diameter (width)}
Aneurysms can form in any section of the aorta, but they are most common in the belly area.
Abdominal aortic aneurysm.
Thoracic aortic aneurysm
Causes
dissection
congenitalArteritis
trauma
Mycotic
• Age.
• Smoking
• Family history .{first degree relative}
• Other aneurysm.
• Genetics.
• HPN.
• Occlusive disease
• Male Gender
• Alcohol
• Infections
• Aortic coarctation.
RISK FACTORS
Symptoms
Most aneurysms are asymptomatic when discovered (60-80%)and become symptomatic when expanding or rupturedsymptoms may begin to occur if the aneurysm gets bigger and puts pressure on surrounding organs.
Abdominal aortic aneurysm
• (AAAs) is true aneurysms commonly involve the infrarenal aorta. aortic diameter >3 cm = AAA.• An AAA of any size can rupture, but those >5 cm are more likely to rupture.
• size is the most important factor in determining rupture risk
• The most common location of rupture retroperitoneum
• Rupture is associated with an 80–90% overall mortality
Abdominal aortic aneurysm
The most common symptoms of abdominal aortic aneurysm include
General abdominal pain or discomfort.A pulsating sensation in the abdomen.
A "cold foot" or a black or blue painful toe can happen if an abdominal aortic aneurysm produces a blood clot that breaks off and blocks blood flow to the legs or feet.
Fever or weight loss, if it is an inflammatory aortic aneurysm
EXAM
• ■• Vital signs may be surprisingly normal.
• ■ Hypotension and shock if rupture with significant blood loss
• ■ Abdominal tenderness, distension, or pulsatile abdominal mass [75% above umbilicus]
• ■ Evidence for retroperitoneal hematoma
• ■ Periumbilical ecchymosis (Cullen’s sign)
• ■ Flank ecchymosis (Grey-Turner’s sign)
• ■ Massive GI bleed if rupture into GI tract (aortoenteric fistula)
• ■ High-output heart failure if rupture into vena cava (aortocaval fistula)
Thoracic aortic aneurysm
Chest pain,Back pain.
A cough or shortness of breath.
Hoarseness.
Dysphagia.
Distended neck veins and edema of head and arms
If an aortic aneurysm bursts, or ruptures, there is:
Sudden severe pain.Extreme drop in blood pressure and signs of shock.
Without immediate treatment, death occurs.
Diagnosis of Aortic Aneurysm
Aortic aneurysms are often discovered during a routine physical examination.
X-ray.ultrasound.
Echocardiogram.
Transesophageal echocardiogram (TEE(
CT Angiogram.
Magnetic resonance angiogram (MRA(
Angiogram.
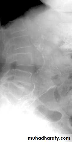
Plain Abdominal X-ray
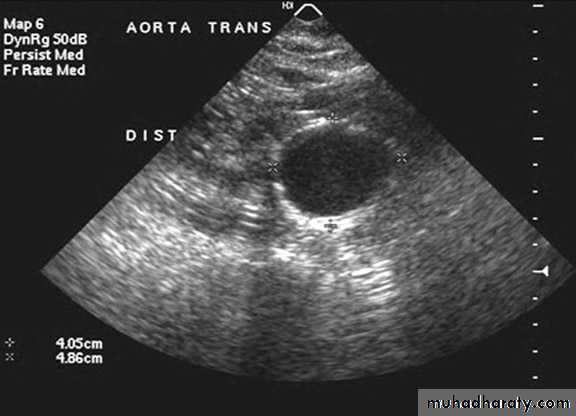
Ultrasonogram
Arteriogram
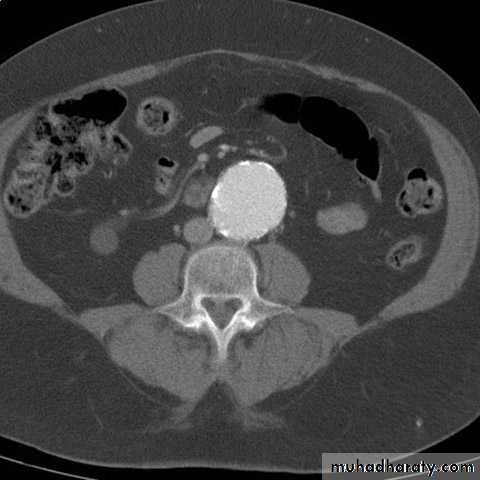
CT Scan
Treatment of Aortic Aneurysm
1- Medical treatmentSmall aneurysms rarely rupture and are usually treated by control the high blood pressure usually by(Beta-blockers(
Exercise.
Low fat diet.
Stop smoking.
Medicines to lower high cholesterol.
Routine ultrasound tests to see if the aneurysm is getting bigger.
2- Surgical Repair2- Surgical repair of aortic aneurysms
.Thoracic or abdominal aortic aneurysms that are
Large, causing symptoms.Rapidly getting bigger.
Are considered at risk of rupturing. Surgery is usually recommended if any one of these factors is present.
People who are at significant risk from surgery may elect to use medical management or another technique such as a stent graft procedure.
• INTRA OP :
• incision .• Exposure .
• Clamping .
• IMA ligation .
• opening the wall .
• Prosthetic graft
25
26
What are the factors that increase the Complications
If the evaluation of the heart indicates significant heart disease, we should do coronary artery bypass surgery (CABG) or coronary angioplasty prior to repairing an aortic aneurysm.This is because coronary artery disease is the most important underlying factor contributing to complications, such as Heart attack.
Others
Stroke .
Kidney disease.
Chronic lung disease.
Cirrhosis of the liver.
Smoking
High blood pressure
Ruptured aneurysm: It is not an option to wait until an aneurysm has ruptured before surgery is done. Most people who have a ruptured aortic aneurysm die.
• Death 1.8-5% in elective
• MI - 2-5%• CVA
• Renal insufficiency
• Colonic ischemia .
• Spinal cord ischemia
• Haemorrhage, DIC
POST OP COMPLICATIONS
• LATE COMPLICATION
• Aortoenteric fistula
• Retrograde ejaculation.
• Infected graft .
• Groin infection < 5%.
• Incisional hernia - 10-20%
• Bowel obstruction
• Amputation , Blue toe syndrome
• Lymphocele in groin 2%
• False anastomotic aneurysm
• Graft thrombosis
3-Endovascular aortic aneurysms repair
Some aortic aneurysms can be repaired without traditional surgery, using endovascular aortic repair.A tube called a stent graft is inserted through an artery in the groin. The stent graft makes a bridge between the healthy parts of the aorta (above and below the aneurysm).
Placement of an endovascular stent graft in an aortic aneurysm. In figure A, a catheter is inserted into an artery in the groin (upper thigh). It is then threaded up to the abdominal aorta, and the stent graft is released from the catheter. In figure B, the stent graft allows blood to flow through the aneurysm
• Diameter and length of the proximal neck of the aneurysm.
• Tortuosity of the aorta• Anatomy of the iliac arteries .
Endovascular AAA Repair
Less invasive alternativetreatment that is associated
with:
Reduced morbidity
Reduced blood loss
Shorter hospital stay
Earlier return to function n
Drawbacks:
Limited long-term dataMore intense patient follow-up
Recovery Time
Up and Walking that eveningMajority go home within 24-48 hours
Regular Diet the Same Day
Minimum if any ICU Stay
• Local hematoma or bleeding
• Infection• Incomplete repair
• leakage
complications
Peripheral aneurysm Aneurysms that occur in arteries other than the aorta (and not in the brain) are called
peripheral aneurysms.
Common locations for peripheral aneurysms include popliteal artery, femoral artery, and the carotid artery.
Peripheral aneurysms are not as likely to rupture as aortic aneurysms, but blood clots can form in peripheral aneurysms. If a blood clot breaks away from the aneurysm, it can block blood flow through the artery.
Signs and symptoms of peripheral aneurysm
may include:
A pulsating lump that can be felt in the neck, arm, or leg.
Leg or arm pain, or cramping with exercise.
If a peripheral aneurysm is large, it can press on a nearby nerve or vein and cause pain, numbness, or swelling.
Gangrene.
An aneurysm in the neck can block the artery to the brain and cause a stroke.Diagnostic tests and procedures
Physical examinationDoppler.
CT scan.
MRI.
Angiography.
Treatment Some aneurysms, mainly small ones that are not causing pain, can be treated with "watchful waiting.“
Others need to be treated to prevent growth and
complications. The goals of treatment are toPrevent the aneurysm from growing
Prevent or reverse damage to other body structures
Prevent or treat a rupture.
To allow participation in normal daily activities.
How can an aneurysm be prevented?
The best way to prevent an aneurysm is to avoid the risk factors that increase the changes of developing one. To do this, you can:Stop smoking.
Control high blood pressure.Control high cholesterol.
Regular physical activity.
Limit alcohol.
























