Diseases of Middle EarOtitis media
Classification of otitis media:1-Suppurative otitis media:
a-Acute Suppurative otitis media (ASOM)
b-Chronic Suppurative otitis media (CSOM):
Tubo-tympanic CSOM
Attico-antral CSOM
2-Non-suppurative otitis media → secretory otitis media
Acute Suppurative Otitis Media (ASOM):
Definition: it is infection of middle ear of up to 3 weeks duration.Aetiology:
1-Spread of infection:Up the Eustachian tube: ascending infection through the Eustachian tube after upper respiratory tract infection.
Through pre-existing tympanic membrane perforation e.g. trauma, ventilation tube.
Blood-borne infection: like middle ear infection during viral illness which predispose to secondary bacterial infection.
2-Predisposing factors:
Low socioeconomic status.
Specific abnormalities e.g. immunosuppression, cleft palate, Down's syndrome, cystic fibrosis.
Large adenoid (adenoiditis) → ascending infection through the Eustachian tube.
Bacteriology:
The commonest organisms found in ASOM are:Streptococcus pneumoniae
Haemophilus influenzae
Moraxilla catarrhalis
Staphylococcus aureus
Streptococcus pyogenes
Pathology:
Edema and hyperemia of mucosal lining.Exudation: serous at first, then becomes mucopurulent.
Bulging of tympanic membrane and then rupture by pressure necrosis (usually at the antero-inferior quadrant).
Clinical features:
More common in children under 5 years of age (the Eustachian tube is wider, shorter and more horizontal in children than in adults).History of upper respiratory viral infection before few days.
Severe ear pain (otalagia).
Deafness (conductive).
Discharge (serous, purulent, mucopurulent or blood stained), when there is perforation of tympanic membrane (perforation is associated with immediate relief of pain due to relief of exudate pressure inside the tympanic cavity).
Fever.
In children there is irritability, poor feeding, vomiting, abdominal pain and crying due to severe pain.
On examination of tympanic membrane by auroscope there is red bulging tympanic membrane. There may be perforation of tympanic membrane & discharge.
Rinne's test −ve/ Weber's test is lateralized to the affected side i.e. conductive deafness.
Investigations:
Ear swab for culture & sensitivity test when there is discharge.Mastoid X-ray when there is spread of infection to mastoid antrum.
Treatment:
Analgesics: like paracetamol.
Antibiotics: for 10 days like amoxicillin or amoxiclav, if patient is allergic to penicillin use cefixime, erythromycin or trimethoprim/ sulphamethoxazole.
Aural toilet: when there is discharge, cleaning is done by suction or mopping but never syringing.
Treatment of upper respiratory tract infection e.g. use of nasal decongestant.
Protection of ear from water entry, especially when there is perforation.
Myringotomy: incision in the tympanic membrane is done when there is severe pain; myringotomy will allow drainage of pus & relief of pain.
Chronic Suppurative Otitis Media (CSOM):
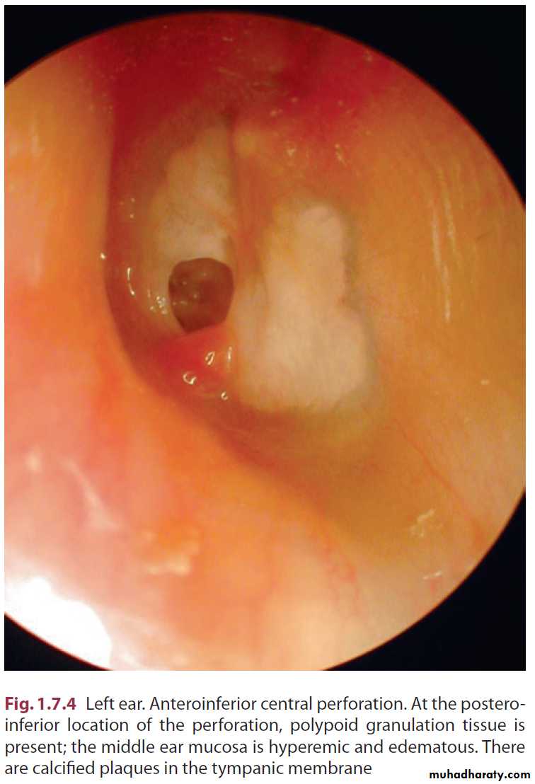
Definition: it is the infection of middle ear of more than 3 months duration.A- Tubo-Tympanic CSOM: regarded as safe type: It is the residue of ASOM when there is persistence of the perforation either through Eustachian tube (so called tubo-tympanic), or through the tympanic membrane perforation. The disease is usually confined to the antero-inferior part of mucosa of tympanic cavity. The edges of perforation are covered by squamous epithelium from the outer surface of tympanic membrane & join the mucosa of tympanic cavity which prevents healing of perforation. The perforation in this type is of CSOM is central (surrounded by tympanic membrane) in the pars tensa, usually antero-inferior but it may be anterior, posterior or kidney-shaped (subtotal), and usually not associated with cholesteatoma.
Clinical features:
Deafness (conductive), & sometimes there is also sensori-neural deafness due to passage of mucopurulent discharge through oval or round windows to the inner ear.
Discharge: usually it is mucoid or mucopurulent profuse & odorless.
Otoscopy: shows central, pars tensa perforation, usually antero-inferior but could be posterior or subtotal (kidney-shaped). There may be a polyp protruding through the perforation.
Weber's & Rinne's tests: show conductive deafness, i.e. Weber test lateralized to the affected side, Rinne's test is −ve.
Pure Tone Audiogram( PTA): Shows conductive deafness (mainly), sometimes there may be also sensori-neural deafness (mixed deafness: conductive & sensori-neural).
Investigations:
Mastoid X-ray: usually shows cellular mastoid, and sometimes shows sclerotic mastoid, but there is no bone erosion.
Sinus X-ray: to exclude sinusitis which may be the cause of persistent infection ascending through Eustachian tube to tympanic cavity.
CT scan (sometimes done): the finding is the same as in mastoid X-ray, also it is done to exclude intracranial complications.
Ear swab for culture & sensitivity: to determine the causative organism & its antibiotic sensitivity.
N.B. the causative organisms of tubo-tympanic CSOM & attico-antral CSOM are the same, and mainly they are G−ve bacteria (Pseudomonas aeruginosa, Proteus), also anaerobic bacteria (Bacteroid fragilis) and G+ve bacteria (Staphylococcus aureus, Streptococcus pyogenes) may be present.
Treatment:
Usually it responds to conservative treatment which includes:Aural toilet: by mopping or suction which is better to be done under microscope for meticulous cleaning, but never syringing the ear.
Antibiotics:
1-Topical AB: like gentamicin or neomycin/hydrocortisone drops, or ciprofloxacin ear drops.
2-Systemic AB: also can be used as ciprofloxacin (anti-pseudomonal), metronidazole for anaerobic bacteria.
Treatment of foci of infection like sinusitis, adenoiditis or tonsillitis.
Ear protection from water entry, which can be done by using ear moulds or cotton soaked by ointment.
Polypectomy: removal of the polyp when present with cap forceps.
Usually the disease responds to the above conservative treatments; when there is persistent discharge & the disease is not responding to above treatments; mean that there is infection of mastoid air cells, so surgical treatment by:
Cortical mastoidectomy: may be done to eradicate infection from mastoid air cells.
Myringoplasty: may be used to close dry persistent perforations, so when the disease is treated & there is no more discharge, and there is only persistent dry perforation which affects hearing, we can close the perforation by using temporalis fascia graft which is called myringoplasty.
B- Attico-Antral CSOM (Tympano-Mastoid CSOM): regarded as unsafe type:
In attico-antral CSOM, in addition to infection of middle ear, there is involvement of attic & antrum (so the name attico-antral).In this type of CSOM, the perforation is either in pars flaccida (attic perforation) or postero-superior marginal perforation in pars tensa (marginal perforation) & the perforation extends to annulus of tympanic membrane, (here the perforation is not surrounded completely by tympanic membrane), it could be associated with retraction pocket, cholesteatoma or granulation tissue.
Pathology:
There are 3 basic pathological findings in attico-antral CSOM:cholesteatoma: it is benign squamous cell cyst contains keratin surrounded by granulation, shows independent growth, replacing middle ear mucosa, causing bone resorption due to production of lysozymes & tend to recur after removal. It appears pearly white rounded mass.
Classification of cholesteatoma:
A-Congenital cholesteatoma: it is unrelated to CSOM. It arises from embryonic epithelial tissue.
B-Acquired cholesteatoma: theories:
1-Metaplasia of middle ear mucosa: from columnar or cuboidal epithelium to squamous epithelium forming cholesteatoma, as in chronic or repeated acute otitis media.
2- Ingrowth (implantation) of squamous epithelium: when there is perforation of tympanic membrane, the squamous epithelium of the outer surface of the membrane may migrate around the rim of the perforation to the medial surface of tympanic membrane & tympanic cavity forming cholesteatoma.
3-Retraction pocket: normally the epithelium of the outer surface of the tympanic membrane migrates from the centre of tympanic membrane (ear drum) outward around the external auditory canal carrying keratin & wax with it.
When there is obstruction of Eustachian tube (as in case of large adenoid or nasopharyngeal carcinoma causing compression of naso-pharyngeal opening of Eustachian tube) there will be −ve middle ear pressure leading to retraction of tympanic membrane in the pars flaccida, or in the postero-superior part forming simple retraction pocket, which at beginning causes little trouble, as the dead squamous epithelium can readily pass from the simple pocket into the meatus & is carried to exterior by normal migration.
Later on the retraction pocket becomes more marked with a narrow neck; at this stage the dead epithelium may not be able to escape through the narrow neck & trapped in the pocket & becomes infected & further expansion of the sac occurs forming cholesteatoma.
Granulation tissue: it is due to bony involvement (osteitis of mastoid bone). It can cause destruction of surrounding structures.
Cholesterol granuloma: it is dark brown gelatinous material, gives the ear drum a dark blue or black appearance. Histological examination shows it to consist of cholesterol crystals surrounded by foreign body giant cells, hemosiderin & granulation tissue.
Causative organisms: the same as that of tubo-tympanic CSOM.
Clinical features:
Deafness: conductive (mainly), sometimes there is sensori-neural deafness (mixed deafness).Discharge: scanty purulent (creamy) & foul smelling. Blood stained discharge may occur due to granulation tissue.
Otoscopic examination: shows attic or postero-superior marginal perforation, there may be associated attic retraction pocket or cholesteatoma (pearly white mass). Polypi or granulation tissue may be seen in the perforation or protruding through the perforation.
Weber's & Rinne's tests: show conductive deafness, i.e. Weber's test is lateralized to the affected side, & Rinne's test is −ve.
Investigations:
PTA: shows conductive deafness, & sometimes there is also sensori-neural deafness with the conductive deafness (mixed deafness).
Ear swab: for culture & sensitivity.
Mastoid X-ray: usually shows sclerotic mastoid, sometimes cellular, & there may be bone erosion or radiolucency due to cholesteatoma.
CT scan & MRI: sometimes done.
Treatment:
When there is no cholesteatoma, conservative treatment used in tubo-tympanic CSOM can be tried:1-Ear protection from water entry: by using ear moulds or cotton soaked in ointment.
2-Aural toilet: either by suction which can be done under microscope for better cleaning, or by mopping.
3-Antibiotics:
Topical AB: like gentamicin or neomycin ear drops, ciprofloxacin ear drops.
Systemic AB: like ciprofloxacin (anti-pseudomonal), & metronidazole for anaerobic bacteria.
4-Polypectomy: when there is polyp (which is swelling in the middle ear mucosa protruding through the tympanic membrane perforation) removed by a cap forceps.
5-Cauterization: of granulation tissue by silver nitrate.
Surgery is the treatment of choice whether there is cholesteatoma or when there is failure of conservative treatment:
Types of surgery used in attico-antral CSOM:
Atticotomy
Radical mastoidectomy
Modified radical mastoidectomy.
Combined approach tympanoplasty.
definitions of the operative terms currently used in middle ear & mastoid surgery:
Post-Auricular (post-aural) incision: it is a curving incision starts just above the pinna round to the mastoid tip about 1 cm posterior to the sulcus (the junction between the auricle & the side of the head). It can be used to do cortical, radical & modified radical mastoidectomy.
Myringoplasty: it is an operation used to do repair of the tympanic membrane, so the persistent dry tympanic perforation can be closed by using temporalis muscle fascia.
Cortical Mastoidectomy: it is an operation performed to remove disease from the mastoid antrum, mastoid air cells system & the aditus without disturbing the middle ear contents, with preservation of an intact posterior bony external auditory canal wall. Usually done by using post-auricular incision.
Radical Mastoidectomy: it is an operation performed to remove disease from the mastoid antrum, mastoid air cells system, the aditus & the middle ear. In this operation the posterior bony meatal wall is removed. The mastoid antrum, mastoid air cells system, the aditus & the middle ear are converted into a common cavity exteriorized to the external auditory meatus, so there is open cavity to the exterior. Also the tympanic membrane remnant, malleus & incus are removed leaving only the stapes. Usually done by using post-auricular incision.
Modified Radical Mastoidectomy: it differs from radical mastoid-ectomy in that the tympanic membrane remnant & malleus handle are preserved. So it is similar to radical mastoidectomy, but in radical mastoidectomy the tympanic membrane, malleus & incus are removed but in modified radical mastoidectomy only the malleus head & the incus are removed, preserving the tympanic membrane remnant, malleus handle & stapes.
Atticotomy: it is an operation performed to remove the outer attic wall & the adjacent deep posterior wall to get access to attic & aditus, to remove disease limited to attic & aditus.
The main disadvantage of modified radical mastoidectomy is that the patient is left with a large cavity opens to the exterior (due to removal of posterior bony meatal wall), which prevent the patient from swimming & the patient has to protect the ear from water entry for life.
This disadvantage can be corrected by using combined approach tympanoplasty.
Combined approach tympanoplasty: it is an operation performed to remove disease from the middle ear & mastoid by way of:
The mastoid,
Posterior tympanotomy (after clearance of the mastoid, we open the posterior wall of middle ear to clear the tympanic cavity),
Trans-canal route (clearance of the middle ear through the external auditory canal).
Then reconstruction of hearing mechanism is done. So in this operation, the posterior bony meatal wall is not destructed & there is no open cavity to the exterior.
The disadvantage of this operation is the high incidence of recurrence of the disease & high incidence of residual disease compared to radical or modified radical mastoidectomy.








