R
و ما أوتيتم من العلم الا قليلا
د.برع سلطان
مدرس جراحة الفم والوجه والفكين
BDS , MSc , FICMS
Oral surgery is that branch of dentistry which deals with the diagnosis , prevention and\ or treatment of disease of the oral cavity.
The branch of oral surgery now has moved from simple extractions to complex surgeries . the oral surgeon is now referred to as a maxillofacial surgeon. There are no sharp lines separating the maxillofacial surgeon from an ENT or a plastic surgeon and therefore many of us are referred to as ”craniofacial surgeons”
Oral and maxillofacial surgery involves the diagnosis and management of diseases , injuries, and defects of the human mouth and jaws and associated structures.
In most countries , the speciality of oral and maxillofacial surgery has earned the respect of and acceptance of both the medical and dental professions.
Oral and maxillofacial surgery is an exciting and rapidly growing specialty that has undergone tremendous changes in both the training requirements and scope of practice.
Dental Extraction:
Dental Extraction is defined as :
“The removal of a tooth from oral cavity by means of elevators and forceps”.Also referred as “Exodontia”.
EXODONTIA
Tooth extraction :the ideal tooth extraction is the painless removal of the whole tooth or roots from its socket with minimal trauma to the investing tissues , so that the wound heals normally with no post operative prosthetic problem .
Indications Of Extraction:
Indications advocated for dental extraction:
1-Unrestorable carious tooth.2 -Pulp necrosis and irreversible pulpitis;untreatable by endodontic therapy,due to calcified root canal,or patient refusal.
Indications Of Extraction:
3 -Severe periodontal disease; Bone loss,grade 3 mobility,furaction involvement.
4- -Impacted teeth ,resorption of roots of adjacent teeth.
13
Indications Of Extraction:
5 -Orthodontic treatment ; Crowding,Space creation.Maxillary and Mandibular 1st Pre-molar.
6 -Mal-alligned teeth ; Tissue trauma,mal-positioning,esthetics.Indications Of Extraction:
7 -Esthetics ; Stained teeth, excessively protruded teeth,mal-alligned.
8 -Cracked and fractured tooth ;Tooth in fracture line,pain,Dialceration,, infection.Indications Of Extraction:
9 -Pre-prosthetic extraction ; Unsuitable abutments,interference with appliance
10 -Supre-numerary teeth ; Impacted,resorption, displacement,failure for eruption.Indications Of Extraction:
11-Pre-radiation therapy ; to prevent Osteoradionecrosis.
12 -Economical reason ; Unaffording patient.
13 -Lack of time ; Unavailability of time for other
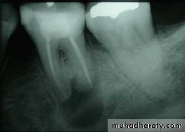
options. 14- peri apical lesion or other pathology.
Periapical lesion associated with endodotically treated canals
Regression of the lesion 6 months after retreatment of the tooth
Contraindications Of Extraction:
Contraindications for Dental Extraction
Systemic Local• 1- Irradiated jaw which may lead to osteoradionerosis due to endarteritis obliterans
• 2-Tooth located within the area of tumor.• Cause: metastasis.
• 3-Acute pericoronitis around a partially erupted lower third molar
• Cause: trismus preoperatively & dry socket post operatively.
• 4-Acute cellulites
• 5- Acute alveolar abcess
• 6- Acute infectious stomatitis
Local contraindications
• Systemic contraindications
• Uncontrolled diabetes mellitus
• Reason: infection & delayed healing
• End stage renal disease &uremia
• Uncontrolled bleeding problems like hemophilia and thrombocytopenia.
• Uncontrolled hyper tensive patient.• Uncontrolled cardiac disease .No surgery is performed within 1st 6 months due to high incidence of cardiac instability & arrhythmias
• Addison’s disease
• Fever of unexplained origin
• Suspected bacterial endocarditis
• Pregnancy: 1st and 3rd trimesters . Relative contra indication.
• 9- uncontrolled thyroid disease.
• Uncontrolled liver disease (bleeding)• Patient taking specific drugs : corticosteroids ,immunosuppressive ,
• chemotherapeutic agents).
• Senility: poor physiological response to injury.
• Psychosis & neurosis , epileptic patients.
• Uncontrolled pulmonary disease e.g. Asthma .
• 15 – uncontrolled epileptic patient
As a rule; any uncontrolled systemic
disease is considered as a contraindication for surgery (tooth extraction)Instruments used
in tooth extractionA basic examination set, including dental mirror, dental probe, tweezers and gauze.
Strong light and adequate suction.Local anesthetic , needle , dental syringe , and local anesthetic carpule.
Dental extraction instrument like dental forceps and dental elevators.
Diagnostic instruments
• Tissue reflection• Indirect vision of inaccessible areas
• Light reflection.
• Checking of local anesthesia.
• Dental probe
• Detection of carious lesion or cavitations especially mesialy or distally• Percussion to detect tenderness ( percussion of teeth mean use the handle of dental mirror or probe to tap teeth to elicit pain, indicative of apical periodontitis, usually in non vital teeth.
• Checking of anesthesia
• Tweezers:
• For carrying cotton and gauze to & from oral cavity
• Periodontal ligament separation and checking of anesthesia before extraction
• During suture removal
• Removal of any tooth fragment from site of the surgery
DEFINITIONS
Dental forceps : A surgical instrument used in the extraction of teeth. Handle (shank) + beaks (blades)Joined by a hinge joint .
Elevator (exolever) : is a single bladed instrument used to luxate or extract teeth or roots.
Periotome
What is periotome?One way to reduce trauma to adjacent bone during tooth extraction is via use of the periotome. Periotomes are extraction instruments that employ the mechanisms of “wedging” and “severing” to facilitate tooth removal. Periotomes are composed of very thin metallic blades that are gently wedged down the periodontal ligament (PDL) space in a repetitive circumferential fashion. In addition to minimally invasive luxation, the periotome blade severs Sharpey’s fibers that secure the tooth within the socket.


























