Anomalies of the urinary tract
Dr. Mohammed BassilVesicoureteric reflux (VUR)
VUR results from abnormal retrograde flow of urine from the bladder into the upper urinary tract.Epidemiology
Overall incidence in children is >10%, with younger children affected more than older children, girls more than boys (female–male ratio 5:1).
VUR occurs more often in Caucasian than in Afro-Caribbean children.
Siblings of an affected child have a 40% risk of reflux, and routine screening of siblings is recommended.
Vesicoureteric reflux (VUR)
PathogenesisThe ureter passes obliquely through the bladder wall (1–2 cm), where it is supported by muscular attachments that prevent urine reflux during bladder filling and voiding. The normal ratio of intramural ureteric length to ureteric diameter is 5:1.
Reflux occurs when the intramural length of ureter is too short (ratio <5:1).
The appearance of the ureteric orifice changes with increasing severity of reflux, classically described as stadium, horseshoe, golf-hole, or patulous.
Vesicoureteric reflux (VUR)
ClassificationPrimary reflux (1%) results from a congenital abnormality of the ureterovesical junction.
Secondary reflux results from urinary tract dysfunction associated with elevated intravesical pressures. Causes include posterior urethral valves (reflux seen in 50%), urethral stenosis, neuropathic bladder, and detrusor sphincter dyssynergia (DSD).
VUR is also seen with duplex ureters. The Weigert–Meyer rule.
Vesicoureteric reflux (VUR)
ComplicationsVUR associated with UTI can result in reflux nephropathy with hypertension and progressive renal failure.
Presentation
Patients have symptoms of UTI, fever, dysuria, suprapubic or abdominal pain, failure to thrive, vomiting, and diarrhea.
Vesicoureteric reflux (VUR)
InvestigationUrinalysis and culture to diagnose UTI
Urinary tract ultrasound scan and VCUG to diagnose and grade reflux and establish reversible causes.
Urodynamic assessment if suspicious of voiding dysfunction.
DMSA scan to detect and monitor associated renal cortical scarring.
Vesicoureteric reflux (VUR)
Grades
Grade I Contrast into non-dilated ureter
Grade II Contrast into renal pelvis and calyces; no dilatation
Grade III Mild dilatation of ureter; pelvis, and calyces
Grade IV Dilated ureter becomes slightly tortuous; moderate dilatation of pelvis and blunting of calyces
Grade V Severe ureteric dilatation and tortuosity; gross dilatation of pelvis and calyces
Vesicoureteric reflux (VUR)
ManagementCorrect problems contributing to secondary reflux. Most primary VUR
grade I–II cases will resolve spontaneously (~85%), with 50% resolution in
grade III. Observation and medical treatment are initially recommended.
Medical treatment
Low-dose antibiotic prophylaxis should be given to keep the urine sterile and lower the risk of renal damage until refl ux resolves. Anticholinergic drugs are given to treat bladder overactivity.
Vesicoureteric reflux (VUR)
Surgery is indicated for severe refl ux, breakthrough UTIs, evidence of
progressive renal scarring, and VUR that persists after puberty. Techniques
of ureteral re-implantation include the following:
• Intravesical methods involve mobilizing the ureter and advancing it
across the trigone (Cohen repair) or reinsertion into a higher, medial
position in the bladder (Politano–Leadbetter repair).
• Extravesical techniques involve attaching the ureter into the bladder
base and suturing muscle around it (Lich–Gregoir procedure).
• Alternatively, endoscopic subtrigonal injection of Defl ux into the
ureteral orifi ce has 70% success, and 95% with repeated treatments.
Anomalies of renal ascent and fusion:horseshoe kidney, pelvic kidney,malrotation
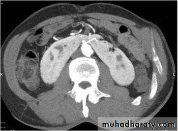
Abnormalities of renal ascent and fusion occur in weeks 6–9 of gestation, when the embryonic kidney is ascending to its definitive lumbar position (ascending as a result of rapid caudal growth of the embryo).Horseshoe kidney
This is the most common example of renal fusion. Prevalence is 1 in 400, with a male-to-female ratio 2:1. The kidneys lie vertically (instead of obliquely) and are joined at their lower poles (in 95%) by midline parenchymal tissue (the isthmus). The inferior mesenteric artery obstructs ascent of the isthmus. Consequently, the horseshoe kidney lies lower in the abdomen (at L3 or L4 vertebral level).
Normal rotation of the kidney is also prevented, thus the renal pelvis lies anteriorly, with the ureters also passing anteriorly over the kidneys and isthmus (but entering the bladder normally). Blood supply is variable, usually from one or more renal arteries or their branches, or from branches off the aorta or inferior mesenteric artery.
Most patients with horseshoe kidneys remain asymptomatic; however, infection and calculi may develop and cause symptoms.
Pelvic kidney
This represents a form of renal ectopia. Prevalence is 1 in 2000–3000, withboth sexes affected equally.
The left kidney is affected more often than the right, and bilateral cases
are seen in <10%. The affected kidney is smaller, with the renal pelvis
positioned anteriorly (instead of medially), and the ureter is short but
enters the bladder normally.
Pelvic kidneys lie opposite the sacrum and below the aortic bifurcation
and are supplied by adjacent (aberrant) vessels (see Fig. 7.3). There is an
increased risk of congenital anomalies, including contralateral renal agenesis
and genital malformations.
Most cases are asymptomatic. Diagnosis is made on renal ultrasound
scan, IVP, or renography. Complications include obstruction, hydronephrosis,
and infection.
Malrotation
The kidney is located in a normal position, but the renal pelvis fails to rotate from an anterior to a medial orientation. Prevalence is ~1 in 1000, with a male-to-female ratio of 2:1. The renal shape may be altered (flattened, oval, triangular, or elongated) and the kidney retains its fetal lobulated outline.It is associated with increased deposition of fibrous tissue around the renal hilum, which can produce symptoms due to ureteric or UPJ obstruction (causing hydronephrosis, infection, or stone formation). Most patients, however, remain asymptomatic.
The diagnosis is made on renal ultrasound scan, IVP, or retrograde pyelography.
Renal duplications
A duplex kidney has an upper pole and a lower pole, each with its own separate pelvicalyceal system and ureter. The two ureters may join to form a single ureter at the pelviureteric junction (bifid system) or more distally (bifid ureter) before entering the bladder through one ureteric orifice. Alternatively, the two ureters may pass down individually to the bladder (complete duplication). In this case, the Weigert–Meyer rule states that the upper-pole ureter always opens onto the bladder medially and inferiorly to the ureter of the lower pole, thereby predisposing to ectopic placement of the ureteric orifice and obstruction (due to the longer intramural course of the ureter through the bladder wall).The lower-pole ureter opens onto the bladder laterally and superiorly, reducing the intramural ureteric length, which predisposes to vesicoureteric reflux (in up to 85%).
Ectopic ureter
The ureteric orifice is situated below the normal anatomical insertion on the trigone of the bladder.Sites of ectopic ureters
Females: bladder neck, urethra, vagina.
Males: posterior urethra, seminal vesicles, ejaculatory duct, vas deferens, epididymis, bladder neck.
Ectopic ureter
Presentation
Acute or recurrent UTI is common in both sexes. Obstruction of the ectopic ureter can lead to hydronephrosis and hydroureter, which may present as an abdominal mass.
Females: When the ureteric opening is below the urethral sphincter, girls present with persistent vaginal discharge or incontinence, despite successful toilet training.
Males: The ureter is always sited above the external urethral sphincter, so boys do not develop incontinence. UTIs may trigger epididymitis.
Ectopic ureter
Investigation of urinary tractUS demonstrates ureteric duplication, dilatation, and hydronephrosis.
VCUG is used to assess reflux in lower pole ureters .
Cystourethroscopy can directly identify a ureteric opening in the urethra.
Isotope renogram (99mTc-DMSA) is used to assess renal function to help plan surgery.
Ectopic ureter
TreatmentAn ectopic ureter is often associated with a poorly functioning renal upper pole or single-system kidney. In such cases, open or laparoscopic heminephrectomy or total nephrectomy with excision of the associated ureter is indicated.
When some function is retained in a single-system kidney, the distal ureter can be resected and reimplanted into the bladder.
Ureterocele
DefinitionThis is a cystic dilatation of the distal ureter as it drains into the bladder.
Incidence
Females are affected more than males (female–male ratio is 4:1). They predominantly affect Caucasians. 80% of cases are associated with the upper pole of a duplex system, although they can be found in single systems (more commonly in adults); 10% are bilateral.
Ureterocele
Classification• Intravesical: confined within the bladder
• Ectopic: if any part extends to the bladder neck or urethra
• Stenotic: intravesical ureterocele with a narrow opening
• Sphincteric: ectopic ureterocele with an orifice distal to the bladder neck
• Sphincterostenotic: orifice is both stenostic and distal to the bladder neck
• Cecoureterocele: ectopic ureterocele that extends into the urethra, but the orifice is in the bladder
Ureterocele
PresentationInfants commonly present with symptoms of UTI. Association with duplicated ureters increases the risk of reflux and reflux nephropathy.
Ureteroceles can also cause obstruction and hydronephrosis, which may be identified on antenatal ultrasound (US) scan or present in children
with an abdominal mass or pain.
A prolapsing ureterocele can present as a vaginal mass in girls.
Ureterocele
TreatmentSingle-system ureterocele: Initial management is usually endoscopic incision of the ureterocele, which can be followed by surgical ureteric reimplantation to preserve renal function and prevent reflux.
Duplex-system ureterocele: Treatment options vary with the individual and include endoscopic incision, upper pole nephrectomy for a poorly functioning unit with ureterectomy (heminephroureterectomy), or, when there is useful renal function, ureteropyelostomy can be performed.
Cystic renal disease
simple cysts
Simple cysts are single or multiple renal masses ranging from a few to many centimeters in diameter that do not communicate with any part of the nephron or the renal pelvis. They are mainly confined to the renal cortex, are filled with clear fluid, and contain a membrane composed of a single layer of flattened cuboidal epithelium. They can be unilateral or bilateral and often affect the lower pole of the kidney.
In comparison, parapelvic cysts are simple parenchymal cysts located adjacent to the renal pelvis or hilum.
Cystic renal disease
Calyceal diverticulumA calyceal diverticulum is an outpocketing from the pelvicalyceal system, with which it communicates by way of a narrow neck. It is lined by a smooth layer of transitional epithelium and is covered by a thin layer of
renal cortex.
Cystic renal disease
medullary sponge kidney (MSK)MSK is a cystic condition of the kidneys characterized by dilatation of the distal collecting ducts associated with the formation of multiple cysts and diverticula within the medulla of the kidney.
The renal medulla resembles a sponge in cross-section because of dilated collecting ducts in the renal papillae and the development of numerous small cysts. This is associated with urinary stasis and the formation of small calculi within the cysts.
It has a reported familial inheritance and is associated with other malformations (hemihypertrophy).
Acquired renal cystic disease (ARCD)
ARCD is cystic degenerative disease of the kidney with greater than 5 cysts visualized on CT scan. By definition, this is an acquired condition, in contrast to adult polycystic kidney disease (ADPKD), which is inherited (in an autosomal dominant fashion). It is predominantly associated with chronic and end-stage renal failure (originally, it was thought to specifically affect patients on hemodialysis).It is clinically important because it may cause pain or hematuria and is associated with the development of benign and malignant renal tumors.
Approximately one-third of patients develop ARCD after 3 years of dialysis. The male-to-female ratio is 2:1.
Autosomal dominant (adult) polycystic kidney disease (ADPKD)
ADPKD is an autosomal dominant inherited disorder leading to the development of multiple expanding renal parenchymal cysts.The kidneys reach an enormous size due to multiple fluid-filled cysts and can easily be palpated on abdominal examination. Expansion of the cysts results in ischemic atrophy of the surrounding renal parenchyma and obstruction of normal renal tubules.
End-stage renal failure is inevitable and occurs around the age of 50 years.










































