مواضيع المحاضرة: pancreas
قراءة
عرض

The Pancreas

Assistant Professor Aqeel Shakir Mahmood

FRCS – London

Consultant General and Laparoscopic Surgeon


GIT

Pan-creas!

Greek:
“pan” = all;
“creas” = flesh
Pancreas is like a fish! Head, body, and tail.
Important anatomical relationships

The Pancreas

GIT


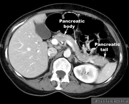
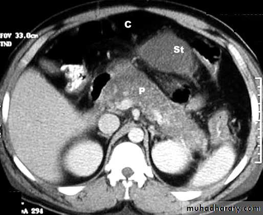
pancreas anatomy

Made up of head, neck body and tail
Retroperitoneal
Head lies in the ‘C’ of the duodenum
also overlies IVC, L2 vertebra, medial aorta and superior mesenteric vessels
Behind the neck splenic veins joins superior mesenteric vein to form portal vein
Pancreatic duct closely related to common bile duct
GIT

Arterial supply and venous drainage of the pancreas and spleen

GIT




GIT

Hepaticopancreatic ampulla(Ampulla of Vater)

GIT





GIT


L2


GIT

PANCREAS DISEASES

Congenital
Inflammatory
Acute
Chronic
Cysts
Neoplasms

Congenital

Agenesis (very rare)
Pancreas Divisum (failure of 2 ducts to fuse) (common)
Annular Pancreas (pancreas encircles duodenum) (rare)
Ectopic Pancreas (very common)


Importance of the pancreas?
The diseased pancreas can cause a LOT of trouble
Diabetes:
In the United States, 25.8 million adults and children (8.3% of population) have diabetes
Systemic disease
Pancreatitis is an emergency situation and common problem

Pancreatic cancer – 4th most common cause of cancer-related death, extremely poor prognosis


GIT

Pancreas: two major roles

Control the sugar levels in the body
GIT

• Produce enzymes that digest food

• 1) Exocrine
• 2) Endocrine


Endocrine Pancreatic cells
Islets of Langerhans has FOUR major cell types:
1) Alpha cell
2) Beta cell
3) Gamma cell (PP cell)
4) Delta cell
GIT

Islets of Langerhans!!!

Endocrine Pancreatic cells
• Alpha cells  glucagon
• Beta cells  insulin
• Gamma cells  pancreatic polypeptide
• Delta cells  somatostatin

GIT

Alpha cells

Alpha cells make up 33-46% of the human islet cells
Make and secrete glucagon to elevate glucose levels in blood


Clinical correlation:
Too much glucagon – glucagonoma
-rare tumor of the alpha cells that cause up to 1000-fold overproduction of glucagon
-blood glucose raises via gluconeogenesis and lipolysis
-causes diabetes mellitus
GIT

Beta cells

Make up 65-80% of the cells in the islets

Pathology:

Type 1 diabetes mellitus
• Insulin-dependent diabetes
• Autoimmune disease
• Body cannot make insulin
Type 2 diabetes mellitus
• Non insulin-dependent diabetes
• Body can still make insulin, but tissues are insensitive to its actions
GIT


Gamma cells

Predominantly reside in the head of the pancreas
Makes and releases pancreatic polypeptide (PP) in response to ingestion of food
Inhibitory functions
Found to be elevated in anorexia nervosa
Clinical correlation:
-too much PP – Pancreatic polypeptidoma
-can cause weight loss, diabetes mellitus

Delta Cells

Produce somatostatin  INHIBITORY
Produced in multiple tissues, antigrowth effects
Suppress the release of insulin and glucagon
Clinical correlation:
Too much somatostatin – somatostatinoma
-extreme reduction in secretion of insulin and cause diabetes.

Pancreas and Glucose Homeostasis


GIT


Clinical correlation: glucose test

Normal fasting blood sugar: 80 to 120 mg/dL
After a meal: less than 180 mg/dL 90 minutes after eating is normal
GIT

Learning Point

Insulin gets glucose into cells
 (so that they can use it or store it)

Glucagon is for when the glucose is gone

•  (and you need to mobilize storage)

Fact

Blood glucose must be tightly regulated

Normally, insulin and glucagon work together

Problems arise when this regulation fails
GIT


Hyperglycemia

Too much glucose in blood
Often suggests malfunction in insulin pathway

Often seen in diabetes mellitus

Chronic hyperglycemia carries several long term effects:
Increased risk of cardiovascular disease and stroke
Frequent hunger, thirst, and need for urination
Tissue damage (e.g., retinopathy, nephropathy, neuropathy)
Ketoacidosis

(Sneak preview for your 11/11 lecture)

Importance of the pancreas?
The diseased pancreas can cause a LOT of trouble
Diabetes:
In the United States, 25.8 million adults and children (8.3% of population) have diabetes
Systemic disease
Pancreatitis is an emergency situation and common problem


Pancreatic cancer – 4th most common cause of cancer-related death, extremely poor prognosis

pancreatitis

GIT

PANCREATITIS

ACUTE (VERY SERIOUS)

CHRONIC (Calcifications, Pseudocyst)

GIT




GIT

CONSEQUENCES of ACUTE and CHRONIC pancreatitis

Acute pancreatitis
Spectrum of:


mild
severe
Mild inflammation of pancreas
Extensive pancreatic necrosis
Multi-organ failure
75% cases seen in ED
25% cases seen in ED
Mortality 20-30%
Mortality <1%

causes

Gallstones (35-40%)
ETOH (2nd most frequent cause) Ethyl Alcohol (Ethanol)
Tumours
pancreas, ampulla, choledochocele
Scorpion sting
Microbiological – infection
Autoimmnune (SLE, crohn’s)
Surgery/trauma (blunt trauma, cardiac surgery, ERCP)
Hyperlipidaemia (<11mmol, 3rd most freq cause), hypocalcemia, hypothermia
Emboli/ischemia
Drugs (carbamazepine, valproate, frusemide, opiates, estrogens, erythromycin, enalapril, rifampicin)


Cause is unknown in 15-20% of cases.

GIT

Clinical presentation acute pancreatitis

History
Any severe acute pain in the abdomen or back should suggest acute pancreatitis.
The diagnosis is usually made when a patient presents with
Severe and constant abdominal pain (classically in epigastrium, radiating through to back)
Nausea
Vomiting
Fever
Tachycardia

GIT

Clinical presentation acute pancreatitis

Examination
Fever (76%), sinus tachycaria (65%)
Dehydration
Upper abdomen tenderness/epigastric tenderness (68%)


GIT

Clinical presentation acute pancreatitis

in severe pancreatitis…
Pulmonary signs (effusions, tachypnea secondary to diaphragmatic irritation)
Cullen’s sign (bluish/red discolouration periumbilical wall
Grey-turner’s sign (bluish/red discolouration of flanks)
peritonitis
GIT

Cullen’s + Grey Turner’s sign

GIT


GIT

laboratory testing

No gold standard for diagnosis (apart from histopathological testing of the pancreas)


Lipase and amylase
↑ amylase
fallopian tubes, ovaries,
• testes, adipose tissue,
• small bowel, lung, thyroid,
• skeletal muscle,
• and certain neoplasms.

↑ lipase

more specific, but still in small intestine

Rule out all valid differentials

GIT

Differential Diagnosis for upper Abdominal Pain and Tenderness

Perforated Viscus, especially peptic ulcer
Erect CXR

Acute Cholecystitis and Biliary Colic

LFTs, liver/biliary ultrasound, ERCP


Acute Intestinal Obstruction
Abdo XR

Mesenteric Vascular Occlusion

CT angiogram of intestinal vessels

Renal Colic

Urinanalysis, hourly urine output, serum creatinine, CT ureters

Myocardial Infarction

ECG, troponin

Dissecting Aortic Aneurysm

CT angiogram

Connective Tissue Disorders with vasculitis

ESR

Pneumonia

CXR


Diabetic Ketoacidosis
serum glucose, ABG

Assessing severity

Ranson’s criteria

At admission

age in years > 55 years
white blood cell count > 16000 cells/mm3
blood glucose > 10 mmol/L (> 200 mg/dL)
serum AST > 250 IU/L
serum LDH > 350 IU/L

At 48 hours

Calcium (serum calcium < 2.0 mmol/L (< 8.0 mg/dL)
Hematocrit fall > 10%
Oxygen (hypoxemia PO2 < 60 mmHg)
BUN increased by 1.8 or more mmol/L (5 or more mg/dL) after IV fluid hydration
Base deficit (negative base excess) > 4 mEq/L
Sequestration of fluids > 6 L


...many severity scores

Score 0 to 2 : 2% mortality

Score 3 to 4 : 15% mortality
Score 5 to 6 : 40% mortality
Score 7 to 8 : 100% mortality

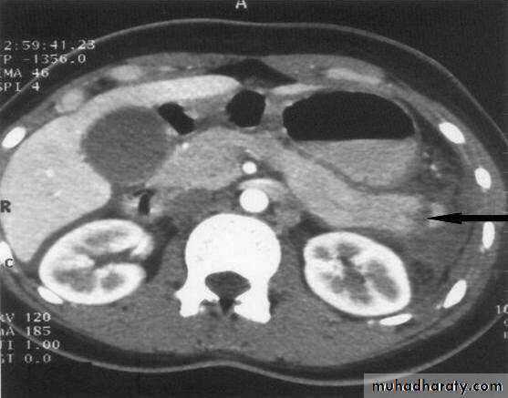
Radiology of acute pancreatitis

GIT


GIT

U/S 

useful for biliary pathology, 70-80% sensitive for pancreatitis

CT more useful for judging severity and regional effects

Try to wait >12 hours as early CT is usually unhelpful

Treating Acute Pancreatitis

Mild to Moderate Pancreatitis:
usually requires treatment with IV fluids and fasting.
clear liquid diet is frequently started on the third to sixth day
regular diet by the fifth to seventh day
The decision to reintroduce oral intake is usually based on the following criteria:
a decrease in or resolution of abdominal pain;
the patient is hungry; and
Organ dysfunction, if present, has resolved


Antibiotics – controversial, but currently recommended

Treating Acute Pancreatitis

Unremitting Fulminant Pancreatitis:
usually requires inordinate amounts of fluid
close attention to complications
cardiovascular collapse, respiratory insufficiency, and pancreatic infection, as well as possible surgical debridement or drainage.

Treating Acute Pancreatitis

Conservative Treatment
Operative Treatment
GIT

Treating Acute Pancreatitis Conservative

((R)) Regimen include
• Relieve the pain
• Rest of pancreas
• Rest of bowel
• Resuscitation
• Resist enzymatic activity


Treating Acute Pancreatitis Conservative
((R)) Regimen include
• 6. Resist infection
• 7. Repeated examinations
• 8. Repeated blood tests
• 9. Respiratory support
• 10. Renal output

Operative Treatment

• 1. Endoscopic papillotomy
• 2. Pancreatic debridment
• 3. Internal drainage of pancreatic pseudocyst
• 4. Subsequent treatment
GIT


GIT

Thank you




رفعت المحاضرة من قبل: Abdalmalik Abdullateef
المشاهدات: لقد قام 46 عضواً و 460 زائراً بقراءة هذه المحاضرة








تسجيل دخول

أو
عبر الحساب الاعتيادي
الرجاء كتابة البريد الالكتروني بشكل صحيح
الرجاء كتابة كلمة المرور
لست عضواً في موقع محاضراتي؟
اضغط هنا للتسجيل