DISEASES OF THE AORTAThree types of conditions may affect the aorta: 1.Aneurysm2.Dissection 3.Aortitis
AORTIC ANEURYSMAn aortic aneurysm is an abnormal dilatation of the aortic wall.
Aetiology and types of aneurysm1. Non-specific aneurysms 2 .Marfan's syndrome 3. Aortitis
Non-specific aneurysms Share similar risk factors and often coexist with occlusive atheromatous arterial disease. What is now termed 'non-specific' aneurysmal disease tends to run in families, and genetic factors are undoubtedly important.Non-specific aneurysms
The most common site for 'non-specific' aneurysm formation is the infrarenal abdominal aorta.The suprarenal abdominal aorta and a variable length of the descending thoracic aorta may be affected in 10-20% of patients.
The ascending aorta is usually spared.
Marfan's syndrome
This connective tissue disorder is inherited as an autosomal dominant trait and is caused by mutations in the fibrillin gene on chromosome 15.
There is considerable phenotypic variation but the major features involve:
1. The skeleton (arachnodactyly, joint
hypermobility, scoliosis, chest deformity and
high arched palate)
2. The eyes (dislocation of the lens)
3. The cardiovascular system (aortic disease and
mitral regurgitation).
Marfan's syndrome
Weakening of the aortic media leads to progressive dilatation of the ascending aorta that may be complicated by aortic regurgitation and aortic dissection.Pregnancy is particularly hazardous.
Chest radiography, echocardiography, MRI or CT may detect aortic dilatation at an early stage and can be used to monitor the disease.
Marfan's syndrome
Treatment with β-blockers reduces the rate of aortic dilatation and the risk of rupture.Elective replacement of the ascending aorta may be considered in patients with evidence of progressive aortic dilatation but carries a mortality of 5-10%.
Aortitis
Syphilis is a rare cause of aortitis that characteristically produces saccular aneurysms of the ascending aorta containing calcification.Other conditions that can cause aortitis and aneurysm formation include:
Takayasu's disease
Reiter's syndrome
Giant cell arteritis
Ankylosing spondylitis.
Thoracic aneurysms
Thoracic aortic aneurysms may produce chest pain similar to cardiac pain, associated with expansion of the aneurysm.
If they extend proximally they may cause aortic valve regurgitation.
They can also cause symptoms by compressing the trachea, main bronchus or superior vena cava.
Occasionally, they may erode into the adjacent structures, causing haemorrhage, tamponade and death.
Abdominal aortic aneurysms (AAAs)
AAAs are present in 5% of men aged over 60 years and 80% are confined to the infrarenal segment.Men are affected three times more commonly than women.
AAA can present in a number of ways.
The median age at presentation is 65 years for elective and 75 years for emergency cases.
Abdominal aortic aneurysms (AAAs)
COMMON PRESENTATIONSIncidentalOn physical examination, plain X-ray or, most commonly, abdominal ultrasound Even large AAAs can be difficult to feel, so many remain undetected until they rupture
Pain In the central abdomen, back, loin, iliac fossa or groin
Thromboembolic complications Thrombus within the aneurysm sac may be a source of emboli to the lower limbs. Less commonly, the aorta may undergo thrombotic occlusion
Abdominal aortic aneurysms (AAAs)
COMMON PRESENTATIONSCompression Surrounding structures such as the duodenum (obstruction and vomiting) and the inferior vena cava (oedema and deep vein thrombosis) Rupture Into the retroperitoneum, the peritoneal cavity or surrounding structures (most commonly the inferior vena cava, leading to an aortocaval fistula)
Abdominal aortic aneurysms (AAAs)Investigations
About two-thirds of AAAs are sufficiently calcified to show up on a plain abdominal X-ray.
Ultrasound is the best way of establishing the diagnosis; an approximate size may be obtained, and the technique can be used to follow up patients with asymptomatic aneurysms that are not yet large enough to warrant surgical repair
Abdominal aortic aneurysms (AAAs)Investigations
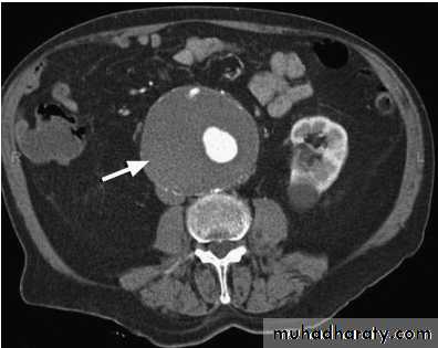
CT will provide much more accurate information about the size and extent of the aneurysm, the surrounding structures and whether there is any other intra-abdominal pathology, and is the standard pre-operative investigation; however, it is not suitable for surveillance.Arteriography is usually only indicated if there are concerns about associated lower limb, renal and/or visceral occlusive disease.
Three-dimensional abdominal CT showing abdominal aortic aneurysm
Contrast CT scan of a large, thrombus-filled abdominal
Marfan’s syndrome
Abdominal aortic aneurysms (AAAs)Management
Most patients with a ruptured AAA do not survive to reach hospital, but if they do and surgery is thought to be appropriate, there must be no delay in getting them to the operating theatre to clamp the aorta.Open AAA repair is the established treatment of choice in both the elective and the emergency setting, and entails replacing the aneurysmal segment with a prosthetic (usually Dacron) graft.
Some AAAs may be treated with a covered stent placed via a femoral arteriotomy under radiological guidance.
Abdominal aortic aneurysms (AAAs)Management
Until an asymptomatic AAA has reached a maximum of 5.5 cm in diameter, the risks of surgery generally outweigh the risks of rupture.All symptomatic AAAs should be considered for repair, not only to rid the patient of symptoms but also because pain often predates rupture.
Distal embolisation is a strong indication for repair, regardless of size, because otherwise limb loss is common.
AORTIC DISSECTION
In this dramatic condition a breach in the integrity of the aortic wall allows arterial blood to burst into the media of the aorta which is then split into two layers, creating a 'false lumen' alongside the existing or 'true lumen'. The aortic valve may be damaged and the branches of the aorta may be compromised. Typically, the false lumen eventually re-enters the true lumen, creating a double-barrelled or biluminal aorta, but it may also rupture into the left pleural space or pericardium with fatal consequences.The primary event is often a spontaneous or iatrogenic tear in the intima of the aorta; multiple tears or entry points are common. On the other hand, many dissections appear to be triggered by a haemorrhage in the media of the aorta which then ruptures through the intima into the true lumen. This form of spontaneous bleeding from the vasa vasorum is sometimes confined to the aortic wall, when it may present as a painful intramural haematoma.
Disease of the aorta and hypertension are the most important aetiological factors but a variety of other conditions may be implicated.
FACTORS THAT MAY PREDISPOSE TO AORTIC DISSECTION -Hypertension (80% of cases) -Aortic atherosclerosis -Non-specific aortic aneurysm -Aortic coarctation -Collagen disorders (e.g. Marfan's syndrome, Ehlers-Danlos syndrome) -Fibromuscular dysplasia -Previous aortic surgery (e.g. CABG, aortic valve replacement) -Pregnancy (usually third trimester) -Trauma -Iatrogenic (e.g. cardiac catheterisation, intra-aortic balloon pumping)
The peak incidence is in the sixth and seventh decades of life but dissection can occur in younger patients, most commonly in association with Marfan's syndrome, pregnancy or trauma.Men are twice as frequently affected as women.
Clinical featuresThe patient usually presents with severe 'tearing' chest pain. The onset of pain is typically very abrupt and collapse is common. If there is aortic regurgitation the aortic valve may need to be repaired or even replaced. Unless there is frank rupture, the patient is invariably hypertensive.
Clinical featuresThere may be asymmetry of the brachial, carotid or femoral pulses, and the signs of aortic reflux may be present in type A dissections. Occlusion of aortic branches may cause a variety of complications including myocardial infarction (coronary), paraplegia (spinal), mesenteric infarction with an acute abdomen (coeliac and superior mesenteric), renal failure (renal) and acute limb (usually leg) ischaemia.
InvestigationsThe chest X-ray characteristically shows broadening of the upper mediastinum and distortion of the aortic 'knuckle', but these findings are variable and are absent in 10% of cases. A left-sided pleural effusion is common. The ECG may show left ventricular hypertrophy in patients with hypertension, or rarely, changes of acute MI (usually inferior).
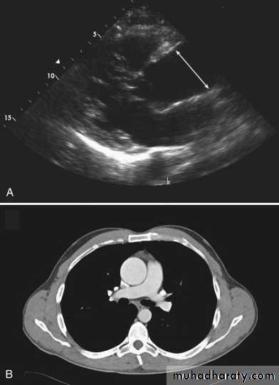
InvestigationsDoppler echocardiography may show aortic regurgitation, a dilated aortic root and, occasionally, the flap of the dissection. Transoesophageal echocardiography is particularly helpful because transthoracic echocardiography can only image the first 3-4 cm of the ascending aorta. CT and MRI are both highly specific, and angiography of the aortic arch is not usually required unless these techniques are not available.
ManagementAssessment and treatment are urgent because the early mortality of acute dissection is approximately 1% per hour. Initial management comprises pain control and antihypertensive treatment with labetalol, a combined α- and β-blocking drug, to maintain the systolic pressure below 120 mmHg.
ManagementType A dissections require emergency surgical repair. Surgery involves replacing the ascending aorta with a Dacron graft. Type B aneurysms can be treated medically unless there is actual or impending external rupture, or vital organ (gut, kidneys) or limb ischaemia.
ManagementPercutaneous or minimal access endoluminal repair is possible in some cases and involves either 'fenestrating' (perforating) the intimal flap so that blood can return from the false to the true lumen (so decompressing the former), or implanting a stent graft placed from the femoral artery.







