CLL; Axillary LAP
HSM with purpura & ecchymosiisCLL; Herpes zoster
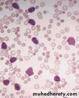
Buccal Cavity: Candida albicansPBF in CLL: Small mature appearing lymphocytes with compact chromatin and scanty cytoplasm
Smudge cells
Spherocytes in AIHA
CLL; BF
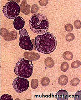
CLL/PLRichter Transformation (BF)
Richter Transformation (LN)Prolymphocytic leukemia PLL; BF
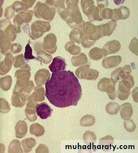
Hairy Cell leukemia HCL; BF













