(Doxycycline and Minocycline)
TetracyclinesMechanism of Action
The site of action of TET is the bacterial ribosome and all TET function in the same manner. They are bacteriostatic compounds.TET enter to susptible MO by Passive diffusion through hydrophilic pores in the outer cell membranes.or by Energy-dependent active transport system that pumps all TET through the inner cytoplasmic membrane.
TET inhibit protein synthesis by binding specifically to the 30S ribosome. This appears to prevent access of AA-tRNA to the acceptor site on the mRNA-ribosome complex; preventing the addition of AA to the growing peptide chain.
Resistance
Resistance to the TET for gram-ve and gram+ve bacteria is mediated by inducible plasmid [the bacteria become resistant only after exposure to the drug].Antibacterial spectrum(broad bacteriostatic )
-These compounds also impair protein synthesis in:
mammalian cells at high concentration.For gram (-) bacteria,
less understood for gram (+) bacteria.
Uses:
Treated Cholera , Chlamydia infection , Mycoplasma pneumonia
Pharmacokinetics Absorption:
All TET are adequately but incompletely absorbed from the G.I. tract. Most absorption takes place from the stomach and upper small intestine (greater in a fasting state).
Absorption of TET is impaired by
food in the stomach,
milk products,
aluminum OH gels, Na+ bicarbonate, Ca++ & Mg++, and Fe++ preparations.
.
They bind to tissue undergoing calcification ( teeth and bone) .
It enter CSF but level insufficient for therapeutic and it appear in tears and saliva
It cross placental barrier and concentrated in fetal bones and dentine
Doxycycline and minocycline are almost totally absorbed on oral administration.
doxycycline is the preferred tetracycline for parenteral administrationMinocycline enters the brain in the absence of inflammation and also appears in tears and saliva.
useful in eradicating the meningococcal carrier state
minocycline is not effective for central nervous system
Therapeutic uses in dentistry
The use of tetracyclines in the management of acute orofacial infections is widely considered inappropriate because of their bacteriostatic activity and extensive microbial resistance..
Systemic tetracyclines in the management of chronic periodontitis must be carefully evaluated for risk/benefit ratio considering their limited efficacy
.
Tetracyclines are effective in the management of localized aggressive periodontitis and its associated organism, A. actinomycetemcomitans.
Tetracyclines may also be used subgingivally
localized aggressive periodontitis
Excretion
TET metabolized in liverexcreted in bile and reabsorbed by entero hepatic circulation
all the TET are excreted in the urine and the feces. EXCEPT doxycycline , The drug is excreted by bile and feces, largely as an inactive conjugate.
Thus one of the safest of the TET for the treatment of extrarenal infections.
TET also excreted in breast milk .
Adverse Effects
TET can produce a variety of adverse effects ranging from minor inconvenience to life-threatening.Wide safety margin, but many side effects
Gastrointestinal
TET produce GI irritation to a varying degree in some but not all individuals. Nausea, vomiting, burning, diarrhea (common)
Diarrhea must be promptly distinguished from that which results from pseudomembranous colitis - caused by overgrowth of clostridium difficile ( can be life-threatening) .
TET like other antimicrobial agents administered orally may lead to development super infections, usually due to strains of bacteria or yeast resistant to these agents.
Hepatic Toxicity
In Pregnant women are particularly sensitive to TET -induced hepatic damage When received high dose of TET .Renal Toxicity
TET may aggregate uremia in patients with renal disease by Inhibition protein synthesis –Effects on TEETH
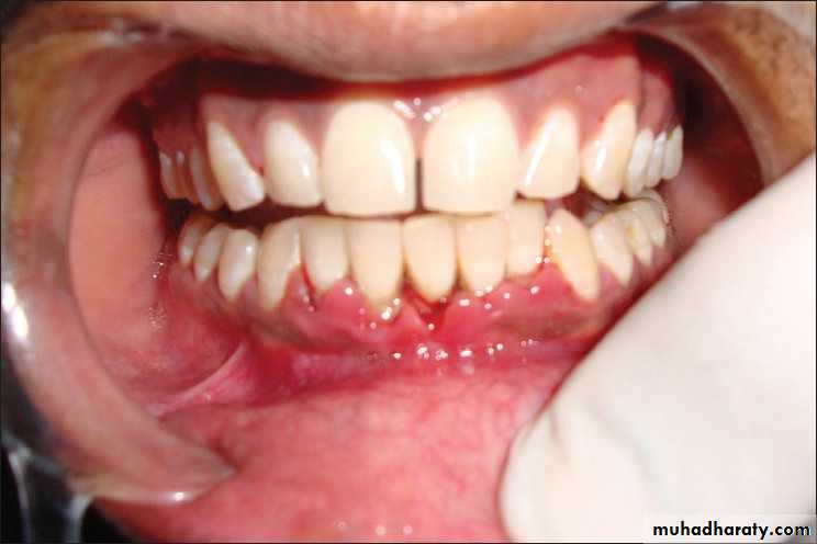
Children receiving long-or short term therapy with TET may develop brown discoloration of the teeth. The drug deposits in the teeth and bones probably due to its chelating property and the formation of a TET -calcium orthophosphate complex. This discoloration is permanent. Avoid giving to pregnant women and children under the age of 8 years .Other effects
Hypersensitivity : -Rash, hives with itching, itching anaphylactic ( decrease in BP, increase in HR, release of histamine, etc.)Photoxicity : darkening of skin & sunburn when patient exposed to sunlight
Contra indication
.1. TET should not be used in pregnant women and children under 8 years .
2. Tetracycline during 1st trimester of pregnancy can cause birth defects
3. Should not be given to patient with severe liver and renal disease.
Glycylcyclines
Tigecycline is a derivative of minocycline,similar to the tetracyclines and has a broad-spectrum activity against multidrug-resistant gram-positive pathogens,
some gram-negative organisms,
anaerobic organisms.
Tigecycline is indicated for treatment of complicated skin and soft tissue infections as well as complicated intra-abdominal infections.
Giving as intravenous infusion every 12 hours
Drug interactions
tigecycline inhibit the clearance of warfarin..
tigecycline decrease the effects of oral contraceptives.
Aminoglycosides & Spectinomycin
AminoglycosidesStreptomycin
Amikacin ,gentamicin,Tobramycin
Tobramycin,Neomycin, Netilmicin
Use to in restricted to treat serious infection due to aerobic gram negative bacilli because of serious toxicities so replace by more safe drug .
1. Gram (-) Aerobic Bacilli 2. Beta-lactamase Staph. aureus N. gonorrhea 3. Mycobacteria
4. Pseudomonas aeruginosa
All aminoglycosides are bactericidal
I. AMINOGLYCOSIDES Older Aminoglycosides: Streptomycin Kanamycin Newer Aminoglycosides: Gentamicin Tobramycin Neomycin Amikacin Netilmicin Sisomicin
MECHANISMS OF ACTION OF ANTIBACTERIAL DRUGS
AminoglycosidesIrreversibly binds to 30S ribosomal subunit
Causes distortion and malfunction of ribosome
Blocks translation
Causes misreading of mRNA
Not effective against anaerobes, enterococci and streptococci
Aminoglycosides
irreversible inhibitors of protein synthesis, but the precise mechanism for bactericidal activity is not known.The initial event is passive diffusion via porin channels across the outer membrane
Drug is then actively transported across the cell membrane into the cytoplasm by an oxygen-dependent process.
Low extra cellular pH and anaerobic conditions inhibit transport by reducing the gradient.
.
Mechanism of action
aminoglycosides bind to specific 30S-subunit ribosomal proteins Protein synthesis is inhibited by aminoglycosides through(1) interference with the initiation complex of peptide formation
(2) misreading of mRNA, which causes incorporation of incorrect amino acids into the peptide and results in a nonfunctional or toxic protein and
Therapeutic uses
1- infection due to enterococci which is resistant to most antibiotic classes and require two synergistic antibiotic for effective therapy eg : Gentamycin or streptomycin + Vancomycin or B- lactam (P group )2- infected due to Pseudomonas aeruginosa which rarely attack healthy individual like immunocompromised treated include
Tobramycin + anti Pseudomonal pencillin (ticarcillin )
Resistance to aminoglycosides
due to:
1-failure of drug to penetrate intracellular
2-low affinity of drug for bacterial ribosome
3-drug inactivation
PHARMACOKINETICS
Aminoglycosides are absorbed very poorly from the intact gastrointestinal tract; almost the entire oral dose is excreted in feces after oral administration. intramuscular injection, are well absorbed, giving peak concentrations in blood within 30–90 minutes.
Aminoglycosides are usually administered intravenously as a 30- to 60-minute infusion.
.
once-daily aminoglycoside dosing may be preferred in certain clinical situations. Aminoglycosides have concentration-dependent killing; that is, increasing concentrations kill an increasing proportion of bacteria and at a more rapid rate. They also have a significant postantibiotic effect, such that the antibacterial activity persists beyond the time during which measurable drug is present.
Side effect of Aminoglycosides
1- Ototoxicity(Vestibular and Cochlear )related to high peak plasma level and duration of treatment : deafness may be irreversible .
2- Nephrotoxicity :mild , reversible
3- neuromuscular paralysis : after direct intraperitoneal or intrapleural application of high doses, aminoglycosides can produce a curare-like effect with neuromuscular blockade that results in respiratory paralysis. This paralysis is usually reversible by calcium gluconate (given promptly) or neostigmine.
4- Allergic reaction : contact dermatitis when neomycin applied topically .
streptomycin
Used for Rx of certain unusual infections in combination with othersGiven by deep i.m or i.v
Indicated for Rx of;
1- bacterial endocarditis
2-Brucellosis
3-second choise in TB.
Gentamicin(garamycin)
For gm –ve bacillary infectionGiven parentally , topical(solutions,ointment)
indications:
*Urinary tract infection(uTI)
*pneumonia
*meningitis
*bacterial endocarditis
*sepsis
*Meningitis caused by gram-negative bacteria has been treated by the intrathecal injection of gentamicin
*Ocular infection
NEOMYCIN & KANAMYCIN.
Neomycin and kanamycin are closely related. are active against gram-negative bacteria and some mycobacteria.
Pseudomonas and streptococci are generally resistant.
Given oral, topical
Uses:
topical for skin and mucous membrane infections e.g.burns,wound,ulcer
Poorly absorbed from GIT
Excreted by kidney
neomycin
Side effects-hypersensitivity
-renal damage
-deafness
-orally can cause intestinal
malabsorption and superinfection
Tobramycin
has almost the same antibacterial spectrum as gentamicin with a few exceptions. tobramycin is slightly more active against pseudomonas; Enterococcus faecalisLike other aminoglycosides, tobramycin is ototoxic and nephrotoxic. Nephrotoxicity of tobramycin may be slightly less than that of gentamicin
Tobramycin is also formulated in solution (300 mg in 5 mL) for inhalation for treatment of Pseudomonas aeruginosa lower respiratory tract infections
.
Amikacin
a semisynthetic derivative of kanamycin; it is less toxic than the parent moleculeAct on Many gram-negative enteric bacteria, including many strains of proteus, pseudomonas, enterobacter, strains, are usually susceptible to amikacin
. Like all aminoglycosides, amikacin is nephrotoxic and ototoxic (particularly for the auditory portion of the eighth nerve).
SPECTINOMYCIN
Spectinomycin is an aminocyclitol antibiotic that is structurally related to aminoglycosides. It lacks amino sugars and glycosidic bonds.General notes on aminoglycosides
Combined with Penicillin or cephalosporin for serious gm-ve infectionsShould not be used more than few days.
Never mix with P in same solution (inactivation)
Contra indicated in pregnancy.










