د.ايمان pptx - عملي
دخول
الرئيسية
المحاضرات
البحث
اختبرني
مكتبة علوم
تطبيقات
المترجم الطبي
الأنسجة
د.ايمان
رقم المحاضرة:
3
بتاريخ
2016-04-17
الأنسجة
-
عملي
جامعة الموصل
>
كلية طب الموصل
>
المرحلة الثانية
مواضيع المحاضرة:
قراءة
عرض
Lymphatic system
Lymphatic vessels:
lymphatic vessels
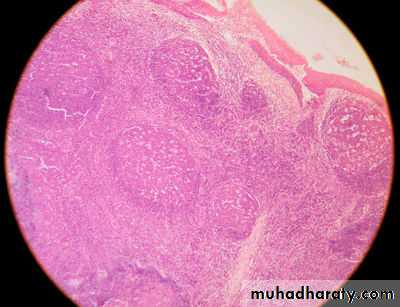
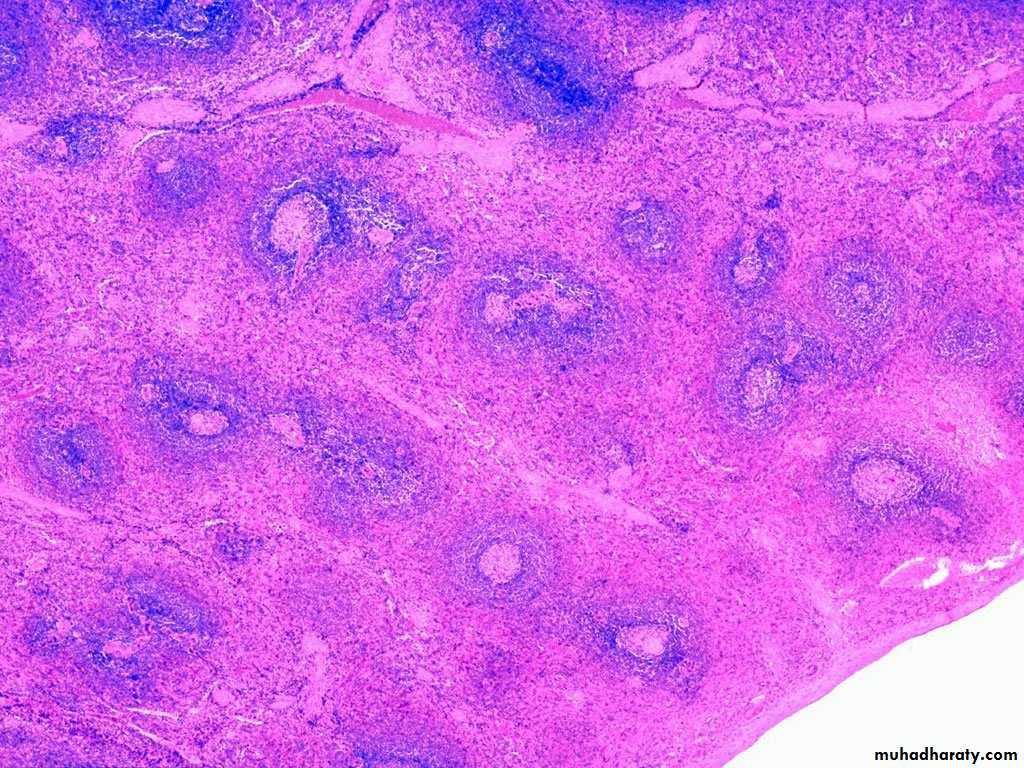
Histological structure of lymph node :
Cortical zone:
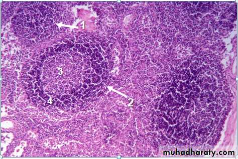
Primary nodules & secondary nodules
Primary nodule
Secondary nodule
L.N
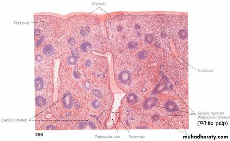
SPLEEN:
SPLEEN
THYMUS:
THYMUS
Hassal's corpuscles ( thymic corpuscles ):
Palatine Tonsils:
PALATINE TONSIL
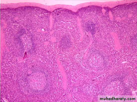
Pharyngeal Tonsil:
Pharyngeal Tonsil:
رفعت المحاضرة من قبل:
Omar Almoula
المشاهدات: لقد قام 34 عضواً و 274 زائراً بقراءة هذه المحاضرة
تسجيل دخول
أو
عبر الحساب الاعتيادي
الرجاء كتابة البريد الالكتروني بشكل صحيح
البريد الالكتروني
الرجاء كتابة كلمة المرور
كلمة المرور
دخول
لست عضواً في موقع محاضراتي؟
اضغط هنا للتسجيل