Histology
Lab.1Epithelium
Simple Squamous Epithelium
Location : Air sacsSimple Squamous Epithelial cell
nucleus
Simple Cuboidal Epithelium
Location: Lines kidney tubulesSimple Cuboidal Epithelial cell
nucleus
Simple Columnar EpitheliumLocation: Stomach
Cilia
Pseudostratified EpitheliumLocation: Trachea
Pseudostratified epithelium
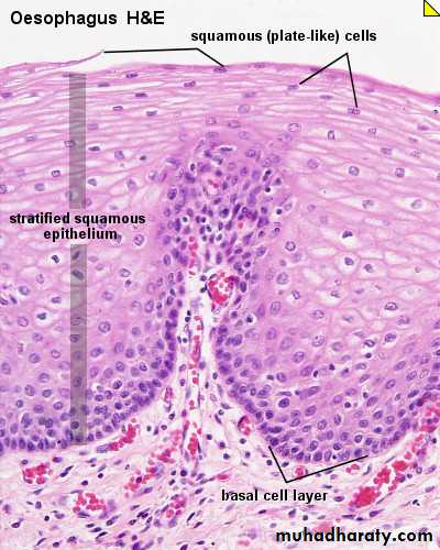
Stratified Squamous (Non keratinized) Epithelium Location: esophagus
Squamouscells
Stratified Squamous (keratinized)Epithelium
Location: epidermis of skinDome tops
Transitional epitheliumLocation: bladder
Lab. 2
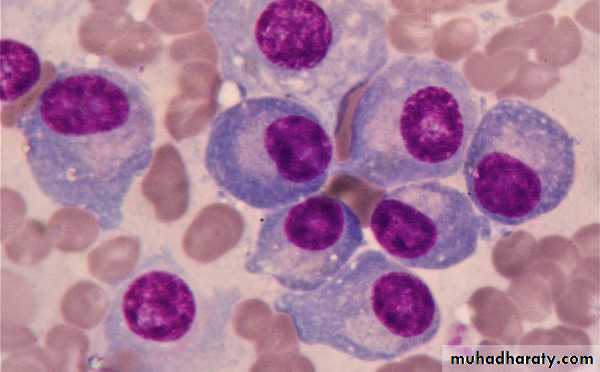
Connective TissuePlasma cells
The function of plasma cell is the formation of antibodiesnucleus
Mast cells
The function is the production of heparin and histamineAreolar (Loose) Connective Tissue
Location : skinCollagen fibers
Connective tissue
cells
Elastic fibers
cytoplasm
Lipid droplet
Location:
reticular cells
reticular fibersReticular tissue
Location : lymph nodes
Nucleus of
fibroblast
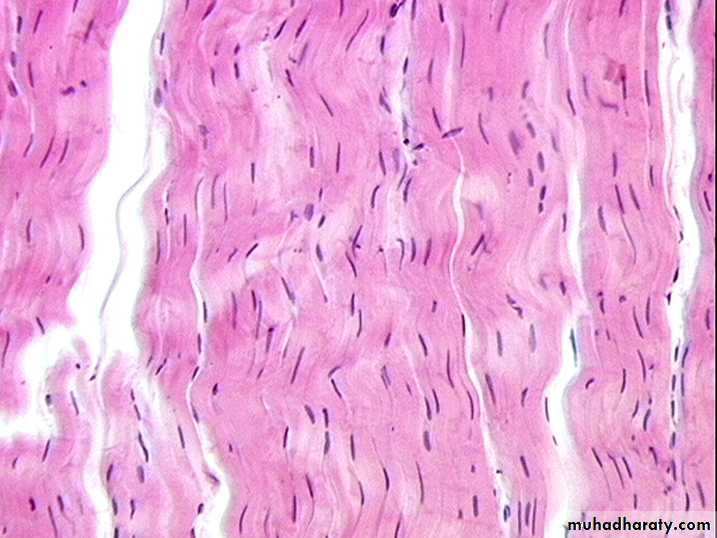
Dense Regular Connective Tissue
Location : tendons
elastic fibers
Nucleus offibroblast
Elastic Connective Tissue
Location : ligaments
Lab.3
Bonecanaliculi
Haversian canalosteocyte
osteon
Compact bone
Lab.4
Cartilagematrix
chondrocyteperichondrium
Hyaline Cartilage
Location: trachea
chondrocyte
elastic fibers
in matrix
lacunae
Elastic cartilage
Location : external earcollagen fibers
in matrixChondrocytes
Fibro cartilage
Location : intervertebral disks






















