Introduction to pediatric surgery
AbdulRahman A. Sulaiman Al ShahwanyProf. In Pediatric Surgery
.Definitions.Vomiting in neonate
.Causes of vomiting non surgical causes
surgical causes
.Neonatal intestinal obstruction
.Causes of N.I.O 1. Atresia
2.Malrotation & volvulus
3.Meconium ileus
4.Meconium plug syndrome
Pediatric surgery:
Deal with surgical problems in children under the age of 14 years.Neonatal surgery:
Deal with surgical problems in neonate below 28 days of age & it deals mainly with congenital malformations.
Fetal surgery:
Deal with some abnormalities in intrauterine life, like;
1.Hydrocephalus, which if left without drainage it will lead to increase in the size of head and causing brain atrophy, putting a ventriculostomy catheter will prevent atrophy of brain cortex and reduce head size making vaginal delivery possible.
2.Bladder outlet obstruction (Posterior urethral valve) which will cause hydronephrosis & hydroureter & impaired renal function, & putting a vesicostomy catheter in the intrauterine life may prevent deterioration of renal function.
3.Sacrococcygeal teratoma
Which may cause poor fetal development or what is called ( stealing phenomenon of fetal blood)What are the main symptoms that bring the parents to pediatric surgeons
1.Gross congenital anomalies2.Dyspnoea
3.Vomiting
4.Urinary retention
5.Jaundice
6.Failure to pass meconium
7.Abdominal distention.
Congenital anomalies
The onset of presentation;At birth (meningeocele, sacrococcygeal teratoma).
Within 24 hrs (TEF, Diaphragmatic hernia).
After 24 hrs (intestinal atresia).
After weeks (billiary atresia, pyloric stenosis)
After months/years (congenital hydronephrosis, polycystic kidney disease).
Vomiting in neonate
A common symptom in neonate.
Non significant over feeding
Significant bilious, projectile, persistent, bloody stained.
Note: bilious vomiting is considered a surgical problem ( I.O.) until proven otherwise.
Causes of vomiting• Non surgical causes;
• 1.neonatal infection ( septicemia,meningitis), here vomiting associated with pallor hypothermia, cyanosis,…etc
• 2.adrenogenital syndrome, presented with abnormal genetalia and salt loosing metabolic disturbances.
• 3. gastroenteritis
• 4. milk allergy
• 5. feeding mismanagement
• 6. Urinary tract infection
Surgical causes;
1.neonatal intestinal obstruction2.Necrotising enterocollitis
3.congenital hypertrophic pyloric stenosis
4.gastroesophageal reflux .
Neonatal intestinal obstruction
The pathological types according to cause;
1.Within the lumen
2.In the wall of bowel
3.Outside bowel wall
4.Neurogenic
The effect of intestinal obstruction
1.Secondary pathological effects;hypertrophy of bowel coat
dilatation of proximal bowel
collapse of distal part (microcolon).
2.Additional effects;
fluid & electrolyte loss;external (vomiting)
internal (into the bowel & peritoneal cavity)
Acid base disturbance (acidosis – alkalosis)
Respiratory distress (due to abdominal distention)
Local change at site of obstruction
ischemiaperforation
if occur in utero it can lead to meconium peritonitis.
Clinical features
There are a triad of clinical presentation;
1.Vomiting
2.Abdominal distention
3.Abnormal or retained meconium
3-Large bowel (colonic)obstruction:
Intramural: meconium plug syndromeMural : stenosis or atresia,Hirschsprung`s disease
Exramural: pelvic mass obstructing the rectum (teratoma).
4-Neurogenic & functional:
Hirschsprung`s disease, ileus, sepsis.
1-Atresia:
(Duodenal, Small intestinal, Colonic, Rectal, Anal atresia) .Types:
Type I: Membranous (thich membrane)Type II: Missing segment of the bowel .
Type III: Missing segment of the bowel & mesentery.
Type IV: Multiple segment atresia.
• Treatment
• Excision of reasonable length of the proximal bowel including the ballooned segment to:• Have proper anastomasis (less dispropotion).
• To remove the tip which has poor blood supply .
• To have area with good peristalsis.
• .In cases of membranous duodenal obstruction Duodenotomy with excision of part of the membrane is done .
• .In cases of Anular pancreas
• Duodeno-duodenostomy is done.
2-Malrotation and Volvulus Neonatorum:
The return of fetal alimentary canal from the extra embryonic coelom into the abdomen occurs during the 10th week of intrauterine life ,then the bowel undergoes rotation and fixation at certain points by attachments of it's mesentery to the posterior abdominal wall.When there is arrest or incomplete rotation or less commonly deviation from normal rotation ,It's called malrotation or malfixation.
The Commonest abnormality when the small intestine (midgut) from the duodenojejunal junction to the caecum has a very narrow mesenteric attachment to the posterior abdominal wall based arround the superior mesenteric vessel .The caecum and appendix is situated at the right hypochondrium and abnormally fixed by avascular band or sheet of peritoneum running laterally across the second part of duodenum.
These abnormalities lead to 2 different types of presentations:
1.volvulus of midgut strangulation .2.Duodenal obstruction by bands of Ladd .
Treatment
Preoperative preparation ( which should be as rapid as possible).operation ( ladd procedure).
3-Meconium Ileus :
Meconium Ileus is the intestinal obstructive variant of cystic fibrosis (CF) or mucoviscoidosis .About 10-20 % of infants with CF presented with intestinal obstruction related to meconium ileus . Cystic fibrosis affects all the exocrine and mucus secreting glands in the baby (not only the pancreas). It's a complex disorder of the respiratory and digestive systems.
Pathology: dilated segment of ileum containing impacted black-green meconium .Proximal to this segment there are several loops of hypertrophied bowel distended with fluid .Distal to the obstruction there is a few separated gray white globular pellets in the distal ileum .
Clinically: abdominal distension ,vomiting , & failure of passing meconium .
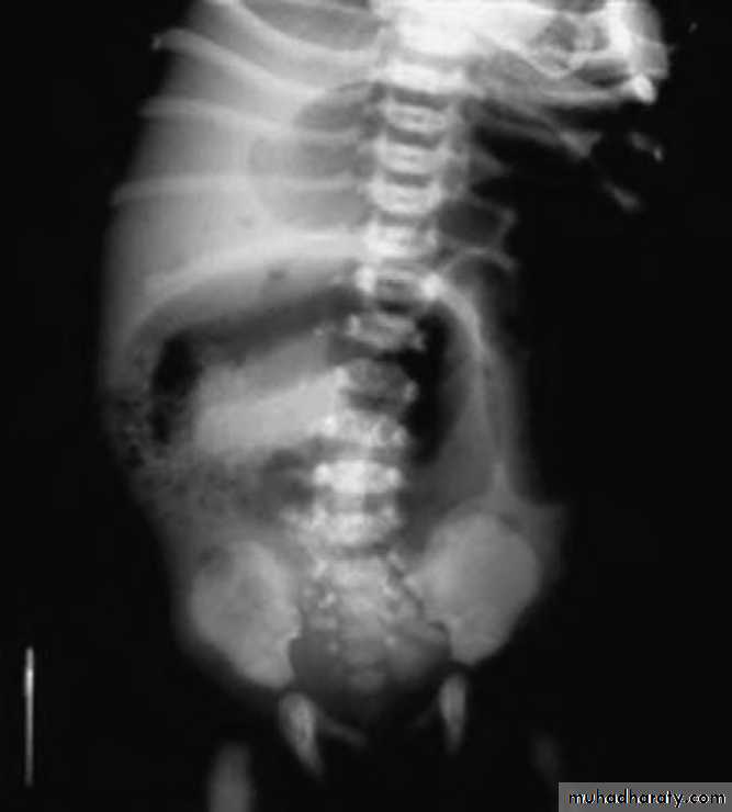
• Investigation:
• 1.Plain X-ray :
• multiple air fluid level .
• soap bubble appearance
• speckled peritoneal calcification
• 2.contrast (barium) enema: small unused microcolon
Treatment
1.nonoperative management:Rehydration, Broad spectrum antibiotics coverage .
Gastrographin enema under fluoroscopy .
3.Operative management:
Enterostomy & removal of meconium.Resection with end to end anastomosis .
Bishob Koop or santulli anastomosis.
4-Meconium Plug Syndrome
Present with the same triad of intestinal obstruction :
1.Abdominal distension .
2.Vomiting
3.Delayed passage of meconium.
This is due to inspissated plug of meconium at the distal end the meconium column in the rectum .
• P-R is normal unlike Hirschsprung's disease in which the anal canal is tight. P-R is therapeutic and can relieve the obstruction and the plug is passed with large amount of meconium and gases .
• investigation:
• 1.Plain X-ray is normal in the early stage ,fluid levels occur at the late stage .
• 2. Contrast study is normal and can relieve the obstruction.
• 3. Rectal biopsy: is needed when we are in doubt to distinguish between Hirschsprung's disease& meconium Plug Syndrome.












