قراءة
عرض



ليث الحرباوي

Hirschsprung's disease

• Hirschsprung's disease
• Caused by an absence of ganglia in the myenteric plexus usually of the distal hind gut.
• May affect a short or long segment.
• Usually presents in neonatal life with large bowel obstruction.
• Milder forms may be missed at birth and present in later childhood with severe constipation.
• Diagnosis depends on a full thickness rectal biopsy.
• Treatment usually requires on emergency defunctioning stoma shortly after birth and a major reconstructive procedure later.

• Clinical features

Hirschsprung's disease occurs in approximately one in 4500 lived births, It shows a familial tendency and is more common in males than in females.
In over 10% of patients, it is associated with Down syndrome.
The clinical picture varies from acute intestinal obstruction in neonates to chronic constipation in later life.


• Diagnosis
ليث الحرباوي

• Rectal biopsy

Anorectal Manometry

Radiology

ليث الحرباوي

• Treatment

Duhamel operation

Swenson's procedure

Coloanal anastomosis

Restorative Proctocolectomy

Colon Diverticula


Diverticula of the colon are acquired herniations of colonic mucosa, protruding through the circular muscle at the points where the blood vessels penetrate the colonic wall. They tend to occur in rows between the strips of longitudinal muscle, some­times partly covered by appendices epiploicae. The condition is most commonly found in the sigmoid colon, hut the caecum can also be involved,

8

and on occasion the entire large bowel can be affected. The rectum with its complete muscle layers is not affected. In 90% of cases, the sigmoid colon, is involved and is almost always the site of inflammation, i.e. diverticulitis. Some 5% of patients have associated gallstones and hiatus hernia (Saint's triad).

9

Barium enema showing sigmoid diverticular disease ‘saw-teeth’ and diverticula

10
ليث الحرباوي



Diverticular disease is rare in Africans and Asians, who eat a diet that contains natural fibre. In Western countries, where the roughage has been removed from flour and refined sugar forms a large part of the diet, divcrticula are found in 25% of patients over the age of 40 receiving barium enemas, and the incidence increases with age.

11

Diverticulosis

It is important to distinguish between diverticulosis and the pres­ence of diverticula, which may be asymptomatic, and clinical diverticular disease in which the diverticula are causing symp­toms. Diverticula probably arise as a result of muscular incoordination and spasm, resulting in increased segmentation and intraluminal pressures.

12


Excessive segmentation in response to food, prostigmine and morphine is found in colonic motility studies, and this exaggerated response is more apparent in symp­tomatic than in asymptomatic individuals. On histological inves­tigation, the diverticulum consists of a protrusion of mucous membranes covered with peritoneum. There is thickening of the circular muscle fibres of the intestine, which develops a con-certina or saw-tooth appearance on barium enema .

13

Diverticulitis

Diverticulitis is the result of inflammation of one or more diver­ticula, usually with some pericolitis. Episodes of diverticulitis may be followed by years free of symptoms, but the condition is essentially progressive - the longer the duration the worse the symptoms and the greater the risk of complications. Diverticulitis is not a precancerous condition, but cancer may coexist

14

Complications of diverticular disease

Diverticulitis
Pericolic abscess
Peritonitis
Intestinal obstruction
Haemorrhage
Fistula formation

15


Clinical features

Diverticulosis may be asymptomatic, but the disordered colonic function may cause symptoms of distension, flatulence and a sensation of heaviness in the lower abdomen, all of which may be indistinguishable from the symptoms of irritable bowel syndrome.
Excessive colonic segmentation can cause severe pain in the left iliac fossa, but this must be distinguished from episodes of often subclinical inflammation in the sigmoid colon as a result of diverticulitis.

16

Persistent lower abdominal pain, usually in the left iliac fossa, with or without peritonitis, in patients of either sex over the age of 40, could be caused by diverticulitis.
Fever, malaise and Leucocytosis can differentiate diverticulitis from painful diverticulosis. The patient may pass loose stools or may be constipated; the lower abdomen is tender, especially on the left, but occasionally also in the right iliac fossa if the sigmoid loop lies across the mid-line.

17

The sigmoid colon is often palpable, tender and thickened. Rectal examination may, but does not usually, reveal a tender mass. The condition has been likened to left-sided appendicitis. Any urinary symptoms may-herald the formation of a vesicocolic fistula, which leads to pneumaturia (flatus in the urine) and even faeces in the urine.

18

Diagnosis

Radiology

Diverticulosis, like 'irritable bowel' syndrome, is a diagnosis of exclusion, and symptoms should not be attributed to diverticulosis unless other diseases have been excluded by barium enema, sigmoidoscopy or colonoscopy. Although the diagnosis of acute diverticulitis is made on clinical grounds, it can be confirmed during the acute phase by (CT).


19

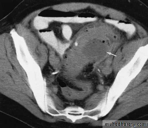
Computerized tomography scan showing a segment of thickened sigmoid colon with a paracolic abscess (arrow) in a patient with diverticulitis.
20
ليث الحرباوي



This will demon­strate not only the diverticula but also any associated pericolic abscess .Barium enemas & sigmoidoscopy are usually reserved for patients who have recovered from an attack of acute diverticulitis, for fear of causing perforation or peritonitis.

21

Water-soluble contrast enemas may, however, be helpful in sorting out patients with large bowel obstruction. Barium radiology is carried out to exclude a carcinoma and to assess the extent of the disease. Where the sigmoid colon is thickened and narrowed, a 'saw-tooth’ appearance may be seen.
Some strictures can be very difficult to distinguish by radiology alone, and in those-circumstances colonos­copy will be necessary to rule out a carcinoma.

22

Vesicocolic fistulae should be evaluated with cystoscopy and biopsy in addition to colonoscopy. Plain abdominal radiography may show gas within the bladder, and contrast examinations may show the fistula itself. The differential diagnosis for vesicocolic fistulae (and other fistulae) includes cancer, radiation damage, Crohn's disease, tuberculosis and actinomycosis. The surgical approach, to each of these may differ substantially, reinforcing the need for tissue diagnosis where possible.

23

Operative procedures for diverticular disease

24
ليث الحرباوي






رفعت المحاضرة من قبل: Abdalmalik Abdullateef
المشاهدات: لقد قام 48 عضواً و 505 زائراً بقراءة هذه المحاضرة








تسجيل دخول

أو
عبر الحساب الاعتيادي
الرجاء كتابة البريد الالكتروني بشكل صحيح
الرجاء كتابة كلمة المرور
لست عضواً في موقع محاضراتي؟
اضغط هنا للتسجيل