Foot and Ankle orthopedics
جراحة د.مثنى الخامسCongenital deformities
Talipes Equinovarus (Idiopathic clubfoot) talus= L anke bone, pes= L footEquinus= heal tilted backwardvarus= heel deviated medially
Incidence: 1-2/thousand births.
Male/female = 2/1.
Bilateral in 1/3rd of cases.
Etiology
Idiopathic in most of cases, but may be associated with tight uterus as in primegravida uterus.Associated with myelomeningocele, congenital tibial deficiency and arthrogriposis.
Clinical features
Components:
Equinus of heel.
Varus of hind foot.
Adduction and supination of forefoot.
Small heel and calf muscle.
Exam for associated:
DDH.
Spina bifida.
Arthrogriposis (absent creases in legs).
Spina bifida with club foot
Treatment Conservative
Begin in the first few days of life.Ponseti Method: Weakly manipulation and POP casting.
If conservative treatment fails ; then Operative treatment is considered.
Adhesive strapping
Pes Planus (flat-foot)The medial border (arch of the foot) is in contact with the ground.
Common among children.
Types:
Flexible flat-foot: normal variation usually disappears spontaneously.
Rigid flat-foot: cannot be corrected passively.
Compensatory flat-foot e g. short tendo achillis, or external rotation of lower limbs (Charlie Chaplin look)
.
Rigid club foot
High Arched feet (Pes Cavus)
Caused by muscle imbalance usually due to neuromuscular disorder eg. Poliomyelitis.
Associated with claw toes.
Both feet affected.
Often NO treatment required apart from well moulded shoes.
Halux Valgus
Lateral angulation of the big toe due to varus angulation of the first metatarsal.Prominent head of first metatarsal (Bunion).
In people who wear shoes.
Loss of muscle tone in forefoot in elderly.
In rheumatoid arthritis.
Family history is common.
Clinical features
In elderly women 50-70 years or adolescents with positive family history.
Usually bilateral.
Painless deformity.
Pain on inflammed buninion or OA of 1st MPJ.
Difficulty in purchasing comfortable shoes.
Treatment
Asymptomatic, mild and non-progressive deformity; conservative treatment: comfortable footwear with low heels.
Severe, progressive and painful deformity requires surgical treatment.
Claw Toes
Interphalangeal joints are flexed and metatarsophalangeal joint is extended.
Seen in poliomyelitis, Rheumatoid arthritis but usually idiopathic.
Associated with pes cavus.
Hammer Toes
Proximal IPJ flexed, distal IPJ and MPJ extended.Cause is obscure.
Shoe pressure produce painful corns and callosities.
Rupture of Tendo Achillis
Age >40.After running or jumping feels a struck above the heel.
Cannot tip toe.
Gap is felt 5cm above heel.
Simmond’s test: squeezing the calf causes planterflexion of foot normally. Absent planterflexion means rupture of the tendon.
Ruptured tendo achillis
TreatmentOperative repair then POP in equinus for 8 weeks.
Traction apophysitis(Sever’s disease)
Pain and tenderness over Achillis tendon insertion.
In boys around 10years old.
Treat by raising the heel and abandon strenuous exercise.
Severs disease
Plantar FasciitisPainful HeelCommon in Males 30-60yrs.
Pain with first steps after inactivity (rising from bed).
Obesity, prolonged standing, and stiff shoe soles are predisposing factors.
Local tenderness.
X-ray: boney spur.
Treatment: NSAID, pad under heel, local C/S injection.
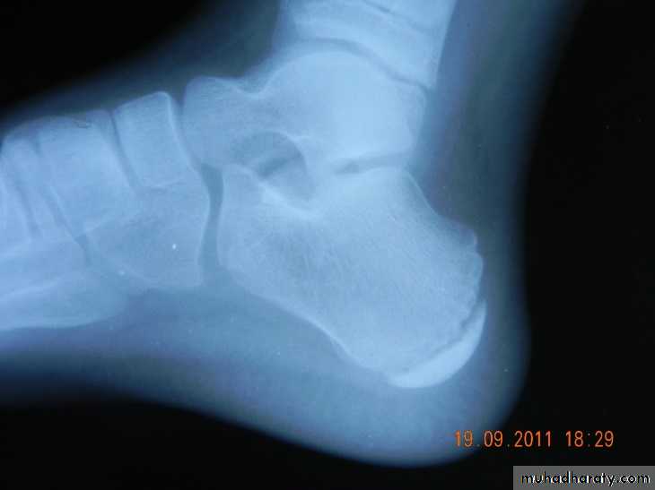
Calcaneal spur
Köhler’s diseaseOsteochondritis of the navicularPainful limp and tenderness in midfoot in children <5yrs.
X-ray: dense, fragmented navicular bone.
Usually resolve spontanuously.
Freiberb’s disease
Crushing type of osteochondritis.Affects head of 2nd metatarsal.
Usually seen in young adult women.












