قراءة
عرض

Pediatric surgeryClinical practice

DR. Bassam Al-Abbasi

Respiratory Distress in the Newborn

Pediatric surgery practical


Pediatric surgery practical

Scaphoid abdomen

Pediatric surgery practical

content

Pediatric surgery practical




Defect=sac
Pediatric surgery practical


Pediatric surgery practical




Pediatric surgery practical

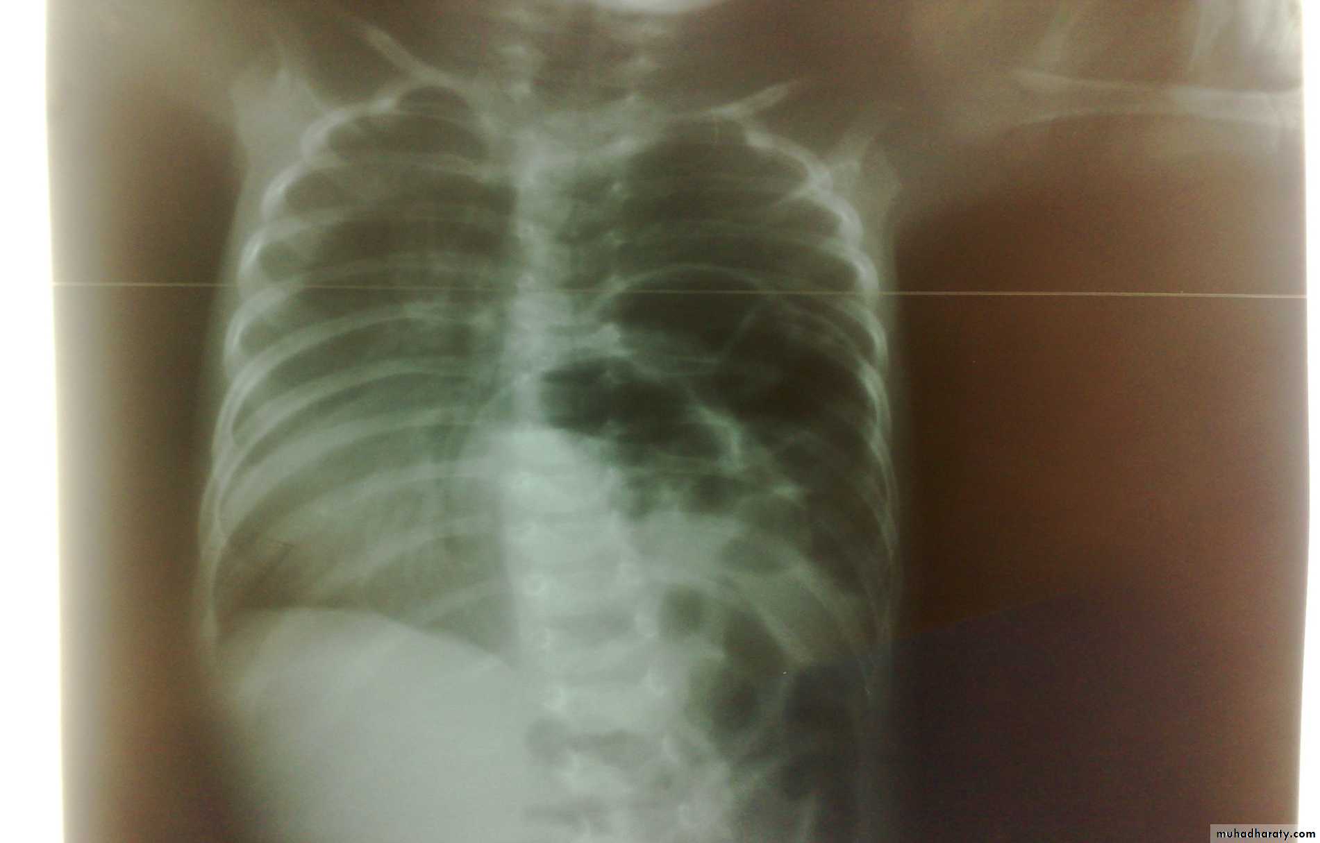
Oesophageal Atresia and Tracheo-Oesophageal Fistula,

Pediatric surgery practical

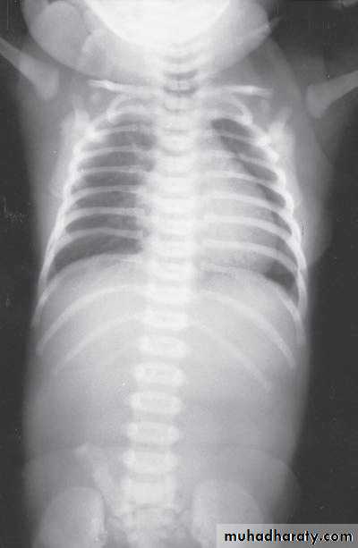
Bowel Obstruction

Pediatric surgery practical


Pediatric surgery practical





Pediatric surgery practical

N.E.C

Pediatric surgery practical




Pediatric surgery practical


Pediatric surgery practical

Hirschprungs disease

Pediatric surgery practical

Abdominal Wall Defects

Pediatric surgery practical


Pediatric surgery practical





Pediatric surgery practical




Pediatric surgery practical


Pediatric surgery practical

Anorectal Anomalies

Pediatric surgery practical


Pediatric surgery practical


Pediatric surgery practical




Pediatric surgery practical





Pediatric surgery practical




Pediatric surgery practical




Pediatric surgery practical




Pediatric surgery practical

Disorders of Sexual Development

Pediatric surgery practical




Head and Neck
Pediatric surgery practical


Pediatric surgery practical


Pediatric surgery practical




Pediatric surgery practical


Pediatric surgery practical




Pediatric surgery practical


Pediatric surgery practical





Pediatric surgery practical




Pediatric surgery practical


Pediatric surgery practical




Pediatric surgery practical

The Umbilicus

Pediatric surgery practical




Pediatric surgery practical




Vomiting in the First Months of Life
Pediatric surgery practical


Pediatric surgery practical


Pediatric surgery practical




Pediatric surgery practical

Intussusception

Pediatric surgery practical


Pediatric surgery practical


Pediatric surgery practical


Pediatric surgery practical



Pediatric surgery practical

The Child with an Abdominal Mass

Pediatric surgery practical


Pediatric surgery practical


Pediatric surgery practical




Pediatric surgery practical


Pediatric surgery practical




Pediatric surgery practical


Pediatric surgery practical





Pediatric surgery practical


Pediatric surgery practical




Pediatric surgery practical


Pediatric surgery practical


Pediatric surgery practical




Pediatric surgery practical


Pediatric surgery practical




ANY QUESTIONS



رفعت المحاضرة من قبل: Abdalmalik Abdullateef
المشاهدات: لقد قام 42 عضواً و 340 زائراً بقراءة هذه المحاضرة








تسجيل دخول

أو
عبر الحساب الاعتيادي
الرجاء كتابة البريد الالكتروني بشكل صحيح
الرجاء كتابة كلمة المرور
لست عضواً في موقع محاضراتي؟
اضغط هنا للتسجيل