العملي pptx - د.عبير
دخول
الرئيسية
المحاضرات
البحث
اختبرني
مكتبة علوم
تطبيقات
المترجم الطبي
الأحياء
العملي
رقم المحاضرة:
1
بتاريخ
2016-04-25
الأحياء
-
د.عبير
جامعة الموصل
>
كلية طب الموصل
>
المرحلة الاولى
مواضيع المحاضرة:
قراءة
عرض
Laboratory practical muscle tissue slides
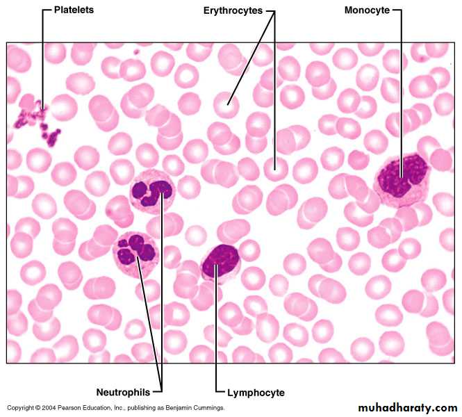
Blood smear
• Blood smear
Megakaryocyte
رفعت المحاضرة من قبل:
M7md AD
المشاهدات: لقد قام 53 عضواً و 339 زائراً بقراءة هذه المحاضرة
تسجيل دخول
أو
عبر الحساب الاعتيادي
الرجاء كتابة البريد الالكتروني بشكل صحيح
البريد الالكتروني
الرجاء كتابة كلمة المرور
كلمة المرور
دخول
لست عضواً في موقع محاضراتي؟
اضغط هنا للتسجيل