Dr.Farah sameer yahya
M.B.CH.B.C.A.B.PLecturer in department of pediatrics / Mosul college of medicine
CHILD WITH
HEMATURIA
2/20/2014
1
DEFINITION OF HEMATURIA
Presence of red blood cells (RBC) in urine >10 RBC per mm3 of freshly voided, unspun urine or >5 RBC per high power field (HPF) of 10 ml of fresh urine, centrifuged at 2,000 rpm.2/20/2014
2• Macroscopic (gross) hematuria refers to urine that is visibly bloody (bright red to brown or tea (cola) colored). The color depends on the amount of blood, the
source of bleeding, and urine acidity.
• Microscopic hematuria (microhematuria) refers to the presence of RBC without urine discoloration, detected by microscopy or chemical (dipstick) analysis.
2/20/2014
32/20/2014
42/20/2014
5Common causes of “dark urine” mimicking hematuria
• Drugs: rifampin, nitrofurantoin, metronidazole; methyldopa, levodopa• Pigments: hemoglobin, myoglobin, bilirubin; urate
• Nutrients: beets, blackberries
2/20/2014
6
Glumerulonephritis
Glomerulonephritis (GN) is the term used for a group of primary or secondary immune-mediated renal diseases characterized by inflammation of the glomeruli or small blood vessels in the kidneys.GN has many different causes ranging from post-infectious glomerulonephritis to systemic diseases such as Henoch- Schönlein purpura and systemic lupus erythematosus.
2/20/2014
7Glomerulonephritis may present as :
asymptomatic haematuriaor proteinuria,
acute nephritis,
rapidly progressive glomerulonephritis (RPGN),
a mixed nephritic/nephrotic syndrome,
or nephrotic syndrome
2/20/2014
8Aetiology
The cause may be post-infectious or non-infectious.
A) Post-infectious glomerulonephritis
Streptococcal
Post-streptococcal GN usually develops 1–6 weeks after infection with nephritogenic strains of Group A B-haemolytic streptococcus (GAS).
The incidence is 5–10% in patients with pharyngitis and 25% after skin infection.
Deposits of IgG and C3 are found in glomeruli and serum C3 is low.
2/20/2014
9
Non-streptococcal
Bacterial: infective endocarditis, typhoid, pneumonococcal pneumonia, meningococcaemiaViral: hepatitis B, Epstein–Barr virus, varicella, coxsackie virus
Parasitic: malaria, toxoplasmosis.
2/20/2014
10B) Non-infectious
Primary glomerular diseasesMembranoproliferative GN (MPGN)
IgA nephropathy (Berger disease)
Mesangial proliferative GN
Focal and segmental glomerulosclerosis (FSGS).
Secondary to multisystem systemic disease( Systemic lupus erythematosus,Henoch–Schönlein purpura ,Goodpasture syndrome)
Drugs: penicillamine
2/20/2014
11
Acute post streptococcal GN
Group A β-hemolytic streptococcal (GAS) infections are common in children and can lead to acute glomerulonephritis (GN).Acute poststreptococcal glomerulonephritis (APSGN) is a classic example of the acute nephritic syndrome characterized by the sudden onset of gross hematuria, edema, hypertension, and renal insufficiency.
It is one of the most common glomerular causes of gross hematuria in children.
2/20/201412
Etiology and Epidemiology
APSGN follows infection of the throat or skin by certain “nephritogenic” strains of GAS.97% of cases occur in less-developed countries.
Poststreptococcal GN commonly follows streptococcal pharyngitis during cold-weather months and streptococcal skin infections or impitigo during warm-weather months.
Although epidemics of nephritis have been described in association with throat (serotype 12) and skin (serotype 49) infections, this disease is most commonly sporadic.
2/20/2014
13Pathogenesis
a depression in the serum complement (C3) level provide strong evidence that ASPGN is mediated by immune complexes.
Precise mechanisms by which nephritogenic streptococci induce immunologic injury continue to be elucidated.
Mechanism include circulating immune complex formation with streptococcal antigens and subsequent glomerular deposition, molecular mimicry whereby circulating antibodies elicited by streptococcal antigens react with normal glomerular antigens, in situ immune complex formation of antistreptococcal antibodies with glomerular deposited antigen, and complement activation.
2/20/2014
142/20/2014
15Clinical Manifestations
Poststreptococcal GN is most common in children aged 5-12 yr and uncommon before the age of 3 yr.The typical patient develops an acute nephritic syndrome 1-2 wk after an antecedent streptococcal pharyngitis or 3-6 wk after a streptococcal pyoderma.
The history of a specific infection may be absent or mild.
2/20/201416
APSGN Spectrum ranges from microhematuria to nephrotic syndrome, severe renal failure, and encephalopathy or seizures due to hypertension
Acute glomerulonephritis is characterized by the abrupt onset of hematuria, proteinuria, hypertension, and edema.
2/20/2014
17The hematuria is often grossly visible as tea-colored or cola-colored urine. In some children, however, the hematuria may be microscopic only.
.
2/20/2014
182/20/2014
192/20/2014
20Patients will usually have oliguria and, in rare cases, anuria.
Fluid retention leads to edema that is usually periorbital and, rarely, severe.Intravascular overload caused by salt and water retention can lead to signs of congestive heart failure.
2/20/2014
21
Summery of clinical presentation of APSGN
2/20/201422
INVESTIGATIONS
• General Urine examinationa- Grossly cola (tea) colored urine
b - Dipstick analysis
Hematuria, proteinuria
C- Urine microscopy
Red blood cell (RBC) casts
Dysmorphic RBCs
Leukocytes (sterile pyuria)
D- urine for protein
Proteinuria <2 g/l in 85 % of cases (U protein/creatinine <2 g/g)
Nephrotic presentation may herald poor renal outcome
2/20/2014
23
COLA COLORED URINE
2/20/201424
RBC CASTS
2/20/201425
2/20/2014
262/20/2014
272) Complement
Reduced plasma C3 in >90 % of casesNormalize within 6–12 weeks after presentation
Plasma C4 generally normal
3) Bacterial/viral identification
Pharyngeal swab for Index patient and siblings (opportunity of preventing spread of nephritogenic strain)
Culture of beta-hemolytic steptococci
Rapid streptococcal antigen test
Skin swab (Suspected pyoderma)
2/20/2014
28
4 ) Serology
a) Antistreptolysin O titer (ASOT)Elevated in 70–80 % of APIGN cases 1–5 weeks after infection,
Unreliable for streptococcal pyoderma
b) Streptozyme test
Simple, sensitive hemagglutination assay detecting antibodies against several streptococcal antigens (streptolysin O, DNaseB, hyaluronidase,streptokinase, anti-nicotinamide adenine dinucleotidase (NADase))
c) Anti-Dnase B (ADB)
Elevated in 80–90 % of cases of pyoderma-associated APSGN
2/20/2014
29
5) Blood tests:
renal function: creatinine, urea and electrolytes (With severe oliguria, azotemia and acidosis may be present )FBC (MILD Normocytic normochromic ANEMIA , CRP, ESR (usually elevated)
The plasma volume is usually expanded, causing a decline in serum protein, hemoglobin, and hematocrit levels by dilution
6 ) Cardiovascular status:
ECG, echocardiogram
7 ) Imaging:
CXR, (with significant HTN & fluid retention may show cardiomegaly ,pulmonary edema ,plueural effusion)
renal ultrasound(is nonspecific, usually revealing bilaterally enlarged echogenic kidneys)
2/20/2014
308) Kidney biopsy
Indications (rare):Alternative diagnosis (e.g., MPGN, IgA Nephropathy)
Normal serum C3
Persistently low serum C3 (>12 weeks after onset)
Persistent GN /deteriorating renal function
2/20/2014
31
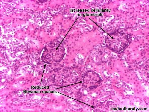
Histopathological finding in APSGN
• Bright- field microscopy
Endocapillary proliferative glomerulonephritis with diffusely increased cellularity, occasionally with abundant polymorphonuclear neutrophils
Enlarged, bloodless glomeruli secondary to capillary occlusion
B. Immuno fluorescence
Discrete deposits of C3, IgG, and IgM in the mesangium
and in the glomerular basement membrane
C. Electron microscopy
Subepithelial electron-dense deposits (“humps,” a lesion of APSGN) containing mainly C3 and IgG/IgM and streptococcal antigens
2/20/2014
32
2/20/2014
33TREATMENT OF APSGN
Hospitalization for patients who have this disease needs to be determined individuallyWhen to Admit ???
1) Severe hypertension
2) Renal failure with significant electrolyte disturbances
3) Congestive heart failure from volume overload
4) Oliguria or anuria
5) Rapidly progressive renal failure
2/20/2014
34General measures:
a) Monitor: twice daily weight, fluid balance, BPb) Fluid restrict to urine output plus insensible losses
c) Diet: Na restriction for fluid retention
A 10-day course of penicillin is usually given to eradicate any remaining GABHS and thus prevent the spread of the organism to others. No evidence has been found that such treatment affects the course of nephritis in the patient. Close contacts should be screened for streptococcal infection and treated if present.
2/20/2014
35Management is directed at treating the acute effects of renal insufficiency and hypertension
Loop diuretics: furosemide for edema and volume-related hypertension
Antihypertensive agents: e.g. nifedipine or captopril
Control of severe hypertension will often require the use of intravenous sodium nitroprusside or labetalol
The signs of congestive heart failure usually resolve with control of the hypertension.
2/20/201436
Occasionally a patient develops acute renal failure severe enough to require dialysis
Every child should be monitored regularly until the hypertension, electrolyte and creatinine abnormalities, and serum complement values return to normal.2/20/2014
37Complications of APSGN
Acute complications result from hypertension and acute renal dysfunction.Hypertension is seen in 60% of patients and is associated with hypertensive encephalopathy in 10% of cases.
Other potential complications include heart failure, hyperkalemia, hyperphosphatemia, hypocalcemia, acidosis, seizures, and uremia.
Acute renal failure can require treatment with dialysis
2/20/2014
38Course of APSGN
The acute phase generally resolves within 6-8 wk.Although urinary protein excretion and hypertension usually normalize by 4-6 wk after onset, persistent microscopic hematuria can persist for 1-2 yr after the initial presentation
Proteinuria should resolve by 3 months, and complement levels should normalize by 6 to 8 weeks
2/20/2014
39
Prognosis
Complete recovery occurs in >95% of children with APSGN.Recurrences are extremely rare.
Mortality in the acute stage can be avoided by appropriate management of acute renal failure, cardiac failure, and hypertension.Infrequently chronic renal disease in <2% of affected children.
2/20/2014
40Henoch-Schonlein purpura (HSP)
is the most common form of vasculitis in children.This small-vessel vasculitis is mediated by immunoglobulin A (IgA)-containing immune complexes and is characterized by:-
1) nonthrombocytopenic purpura,
2) abdominal pain,
3) arthralgias,
4) and renal disease.
2/20/2014
41
2/20/2014
422/20/2014
43
EPIDEMIOLOGY
HSP mainly affects young children, with a peak incidence at 4 to 6 years of agea 1.5:1 male-to-female ratio.
HSP appears to be more prevalent during the winter and springin at least 30% of cases, an upper respiratory infection precedes the onset of symptoms
2/20/201444
Clinical features of HSP
Cutaneous manifestations are the most common clinical features of patients with HSP.Commonly a macular-petechial rash is present. This rash is symmetric, sometimes purpuric(palpable purpura) , localized predominantly in the extensor surface of the lower extremities, forearms, and buttocks and tends to spare the trunk.
Nonpitting edema of the scalp, hands, and feet may be present in 30% to 70% of young children
2/20/2014
45
Joint manifestations occur in 60% to 80% patients, with knees, ankles, wrist, and fingers most commonly affected.
The joints involved are usually tender and swollen, but these symptoms resolve without any residual deformity.
2/20/2014
46Gastrointestinal manifestations develop in 50% to 70% of patients with HSP
Intermittent colicky abdominal pain, vomiting, or gastrointestinal bleeding are most commonup to 5% of the patients develop complications such as intestinal infarction, perforation, or intussusception
2/20/2014
47
Renal involvement occurs in 20% to 50% of cases and is responsible for the long-term morbidity in affected patients.
The spectrum of renal involvement in HSP is broad and may include microscopic hematuria (transient or persistent), macroscopic hematuria , proteinuria, nephritic syndrome, and nephriticnephrotic syndrome.
HSP nephritis when mild tends to resolve without any particular intervention.
However, 2% to 5% of patients with renal involvement progress to end-stage renal disease.
2/20/2014
48Testicular swelling and tenderness may be present in up to 35% of male patients with HSP.
Other serious complications such as pulmonary hemorrhage and central nervous system involvement have also been described
2/20/2014
49
2/20/2014
502/20/2014
51Evaluation of HSP
The diagnosis of HSP is based on clinical findings.In general, complete blood count, platelet count, coagulation studies, and complement levels are normal.
The serum albumin and renal function are normal in the majority of patients but vary according to the degree of renal involvement.
IgA levels may be transiently elevated in 50% of the patients with HSP.
2/20/201452
Urinalyses obtained at various times in the disease process may reveal hematuria and various degrees of proteinuria.
A renal biopsy is not indicated in all patients with a diagnosis of HSP; however, it should be considered in patients with significant proteinuria for more than 1 month, renal insufficiency, hypertension, or nephrotic syndrome
2/20/2014
53
Ultrasound is often used in the setting of gastrointestinal complaints to look for bowel wall edema or the rare occurrence of an associated intussusception.
Although often unnecessary in typical HSP, biopsies of skin and kidney can provide important diagnostic information, particularly in atypical or severe cases, and characteristically show IgA deposition in affected tissues.
2/20/2014
54Treatment of HSP
Treatment of HSP is supportive, with an emphasis on assuring adequate hydration, nutrition, and analgesia.
Controversy continues concerning the appropriate use of glucocorticoids in the management of HSP, but steroids are most often used to treat significant gastrointestinal involvement or other life-threatening manifestations.
2/20/2014
55Empiric use of prednisone (1 mg/kg/day for 1 to 2 wk, followed by taper) reduces abdominal and joint pain but does not alter overall prognosis nor prevent renal disease.
In some cases, chronic HSP renal disease is managed with a variety of immunosuppressants ( e.g azathioprine)
End-stage renal disease develops in up to 8% of children with HSP nephritis.
2/20/201456
Prognosis of HSP
Overall, the prognosis for childhood HSP is excellent, and most children experience an acute, self-limited course.About 30% of children with HSP experience one or more recurrences, typically within 4-6 mo of diagnosis.
2/20/2014
57The prognosis of HSP nephritis for most patients is excellent. Spontaneous and complete resolution of the nephritis typically occurs in those with mild initial manifestations (isolated hematuria with insignificant proteinuria)
Chronic renal disease develops in 2-5% of children with HSP, and approximately 8% of those with HSP nephritis go on to have end-stage renal disease.



















