Various Chest disease & their XR findings & appearance
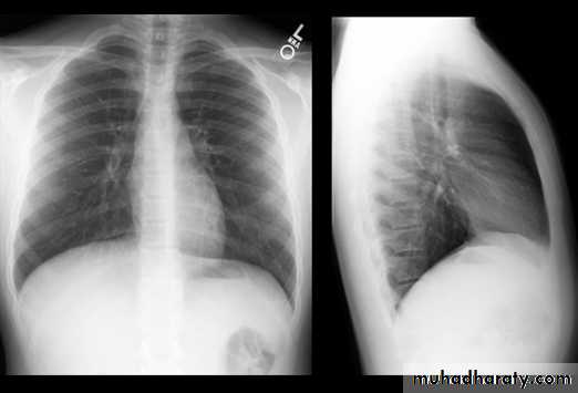
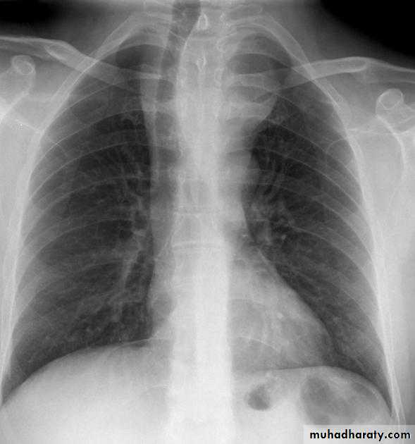
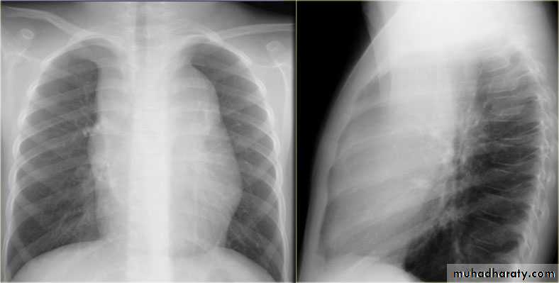
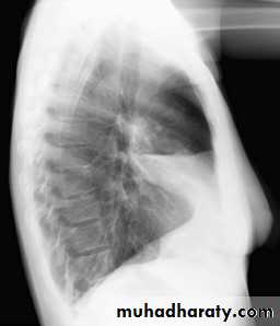
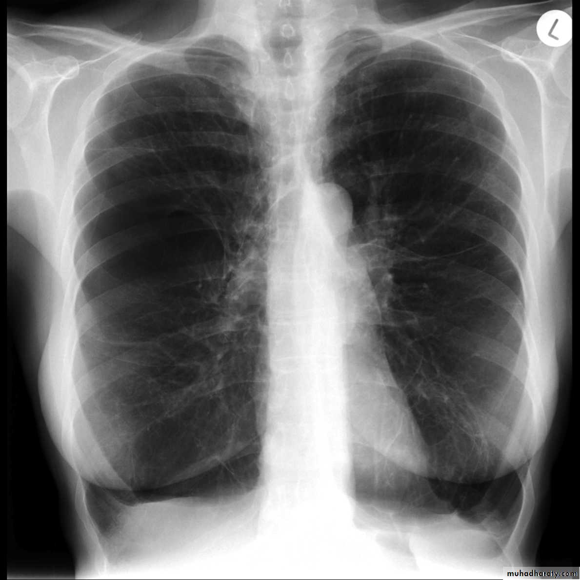
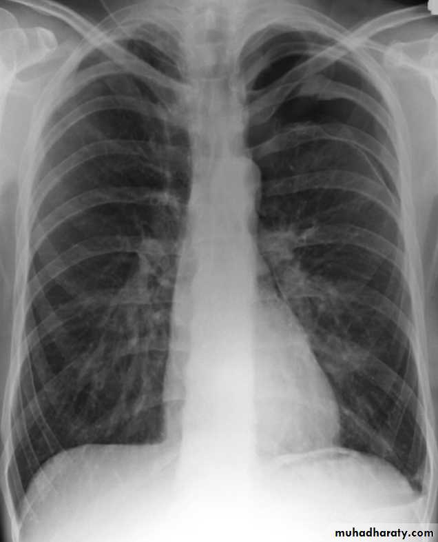
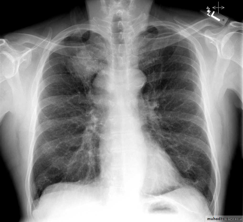
Normal chest XR PA & lateral view
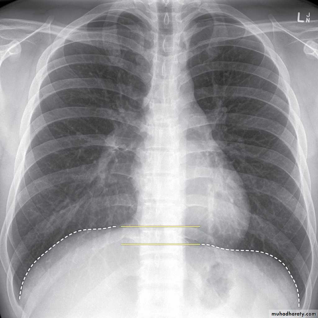
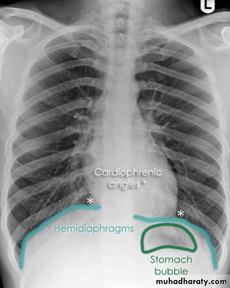
Look carefully on both diaphragmatic cruse costo & cardio phrenic angles
Don't forget to use rib in asses lung Zones
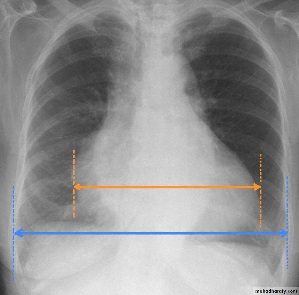
Who to asses cardiac size
Cardiac borders in AP view
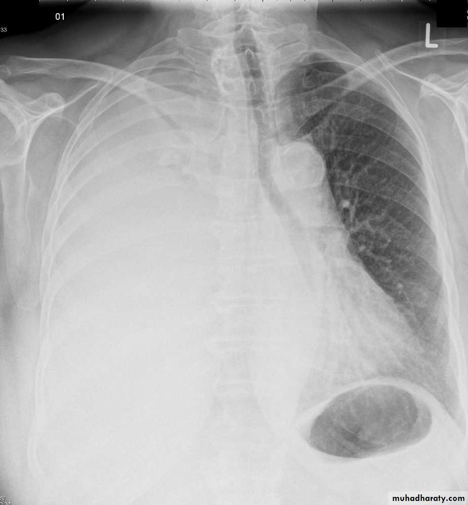
Mitral valve disease
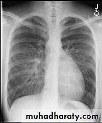
Mitral valve disease (double density RT cardiac border)
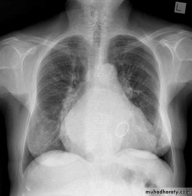
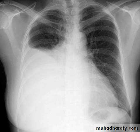
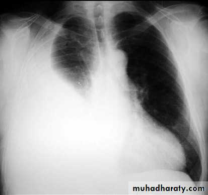
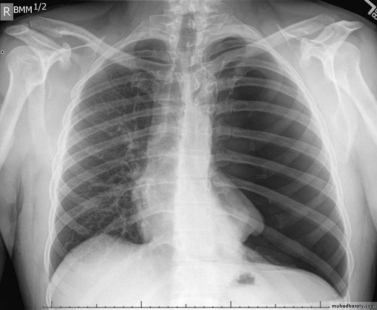
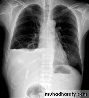
Pericardial effusion Globe shape
TGO
Ebstain anomaly box shape
Dextro cardia
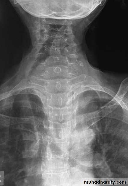
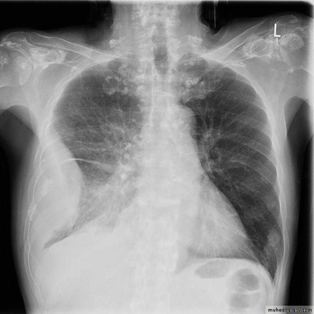
Retrosternal Goiter
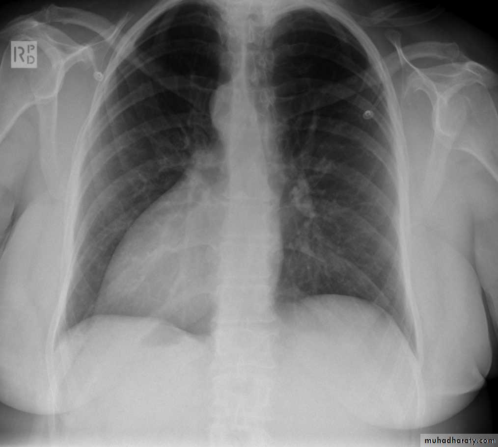
Lymphoma of middle mediastinum
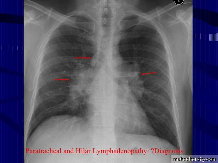
Lymph adenopathy
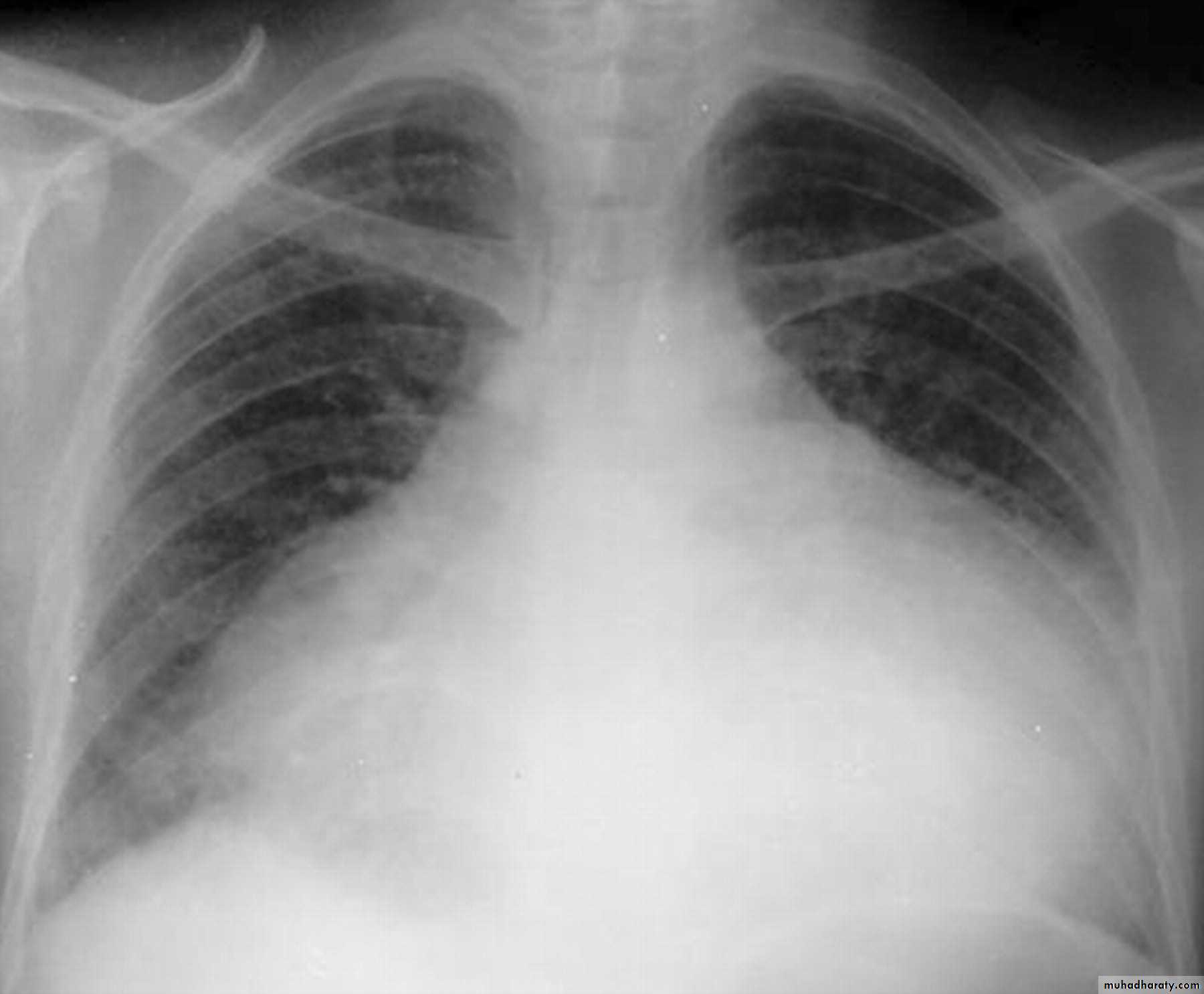
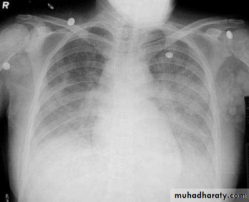
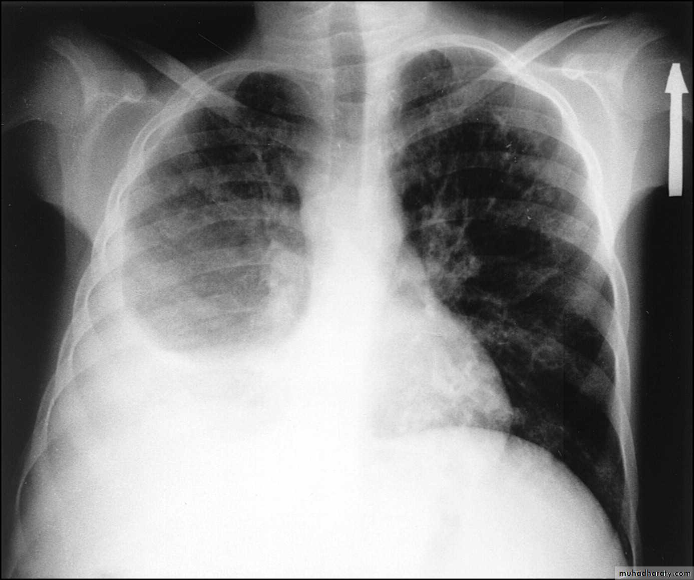
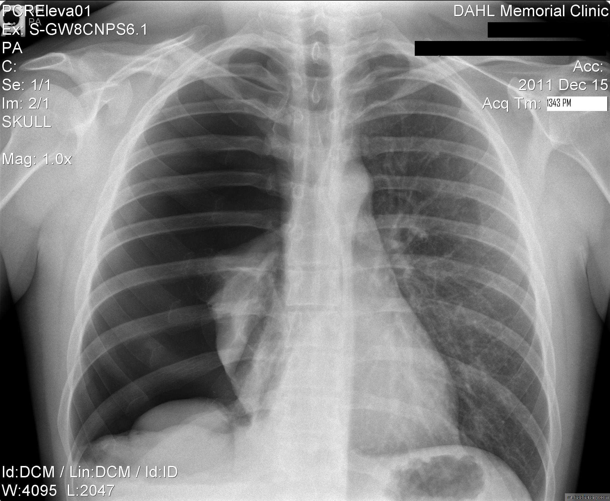
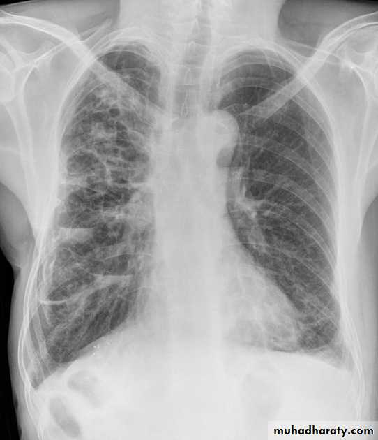
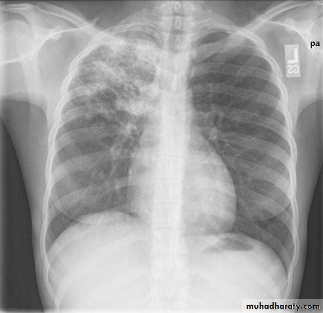
Bilateral hilar LAP
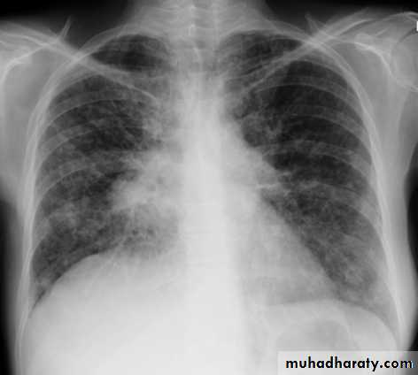
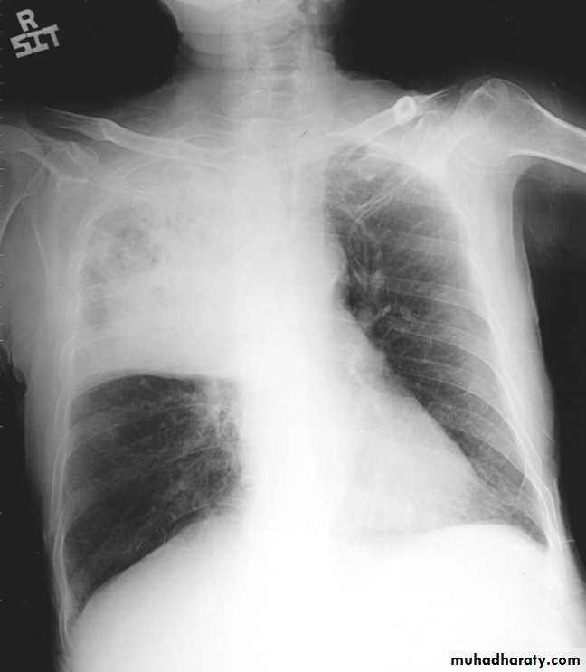
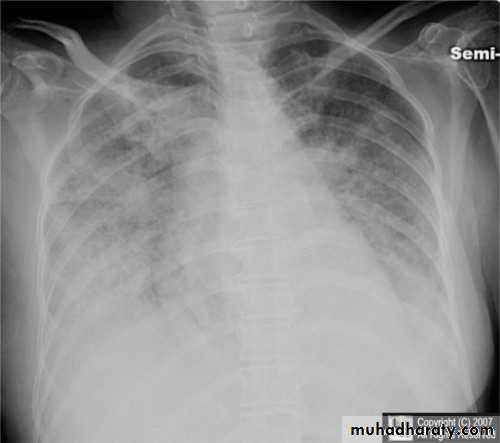
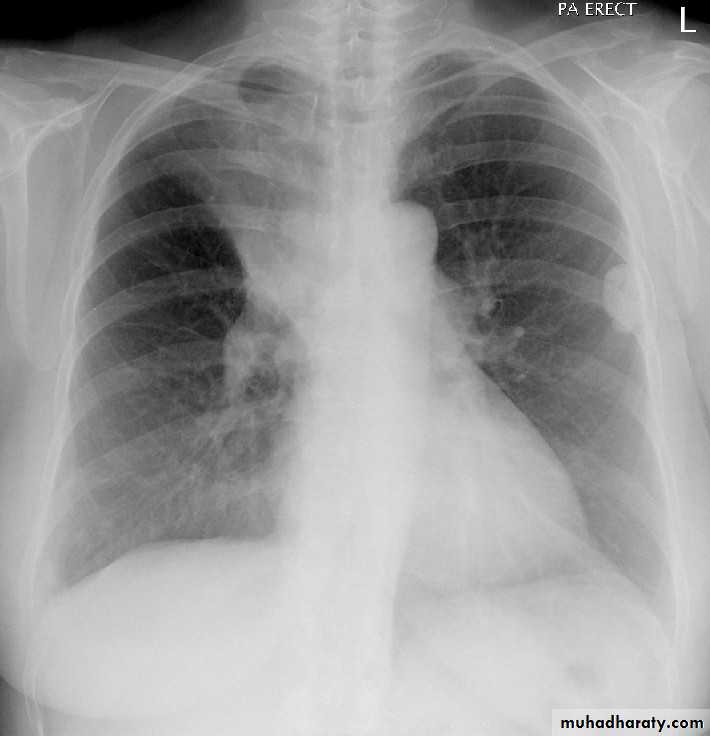
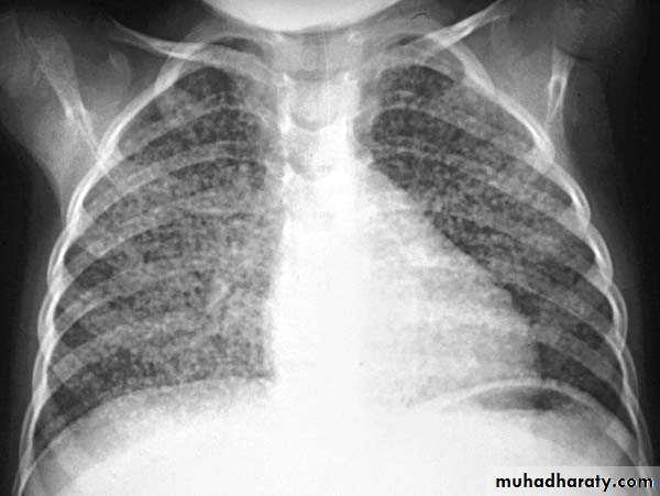
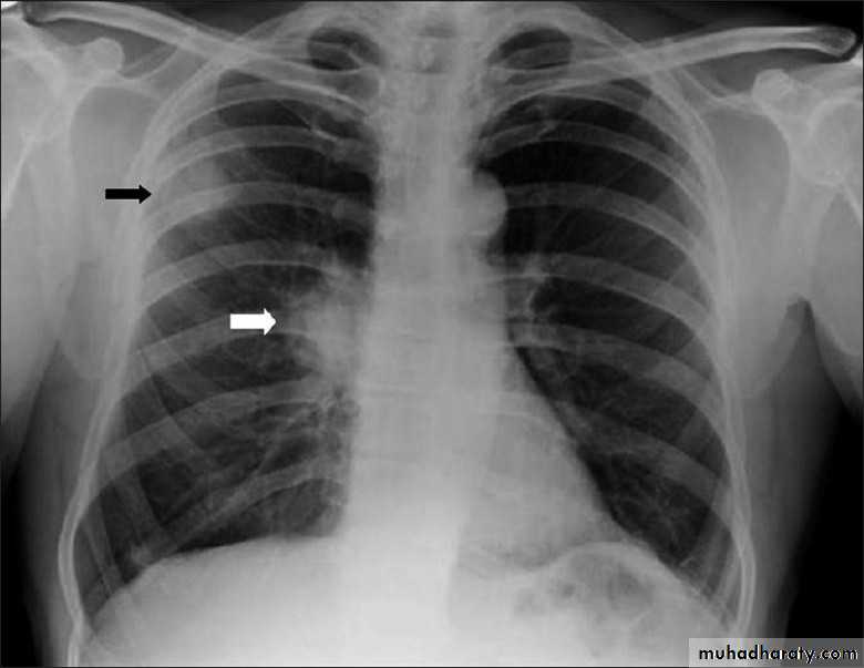
RT upper lobe consolidation
Bulging fissure sign
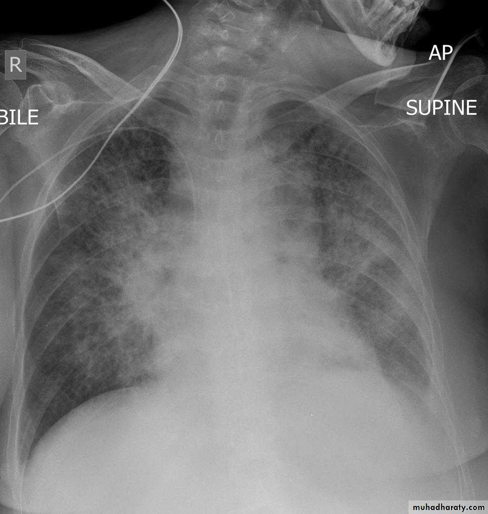
Lobular consolidation ( broncho pneumonia )
Very important to consider that pulmonary edema in normal sized heart have close similar appearance to broncho pneumonia
The important Golden Key differentiation is the cardiac size being enlarged in pulmonary edema .
Interstitial pulmonary edema
Pulmonary edema ( alveolar pulmonary edema)
Bat wing sign ( alveolar pulmonary edema)
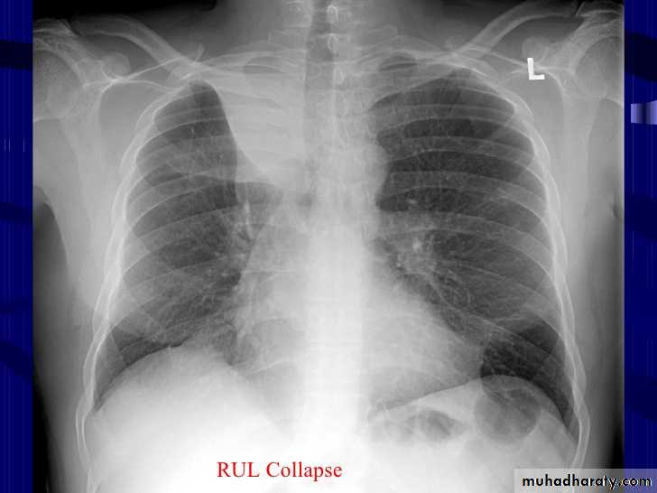
Golden S sign collapse with RT ULC
What is the main difference between 2 films ??? What is the shape of each one ??? A. B.
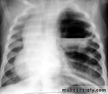
Emphysema
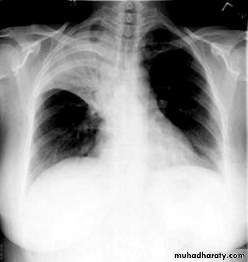
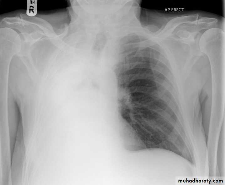
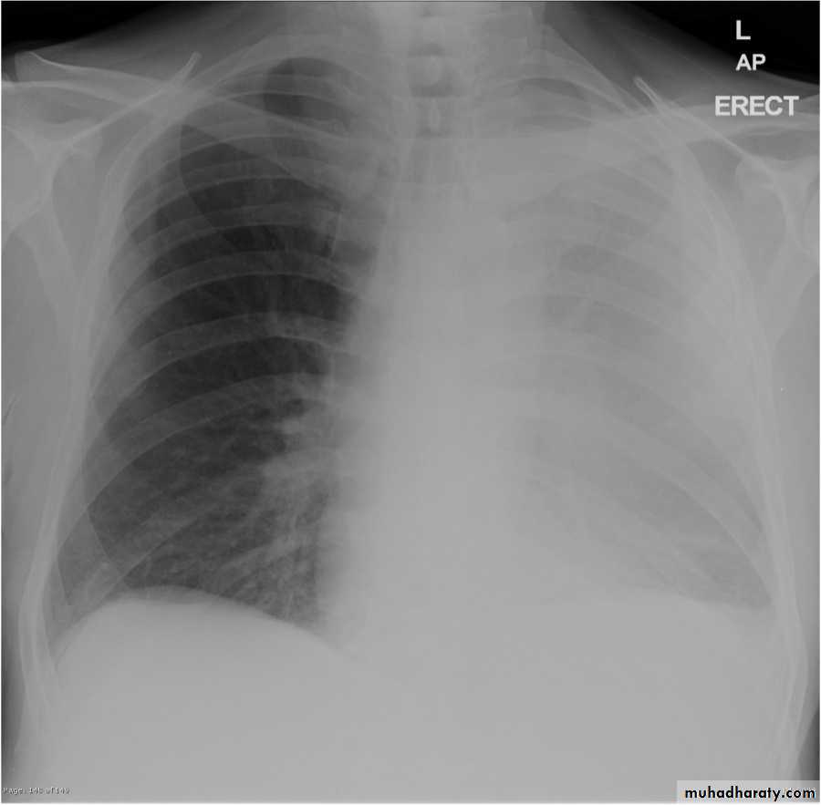
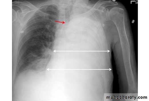
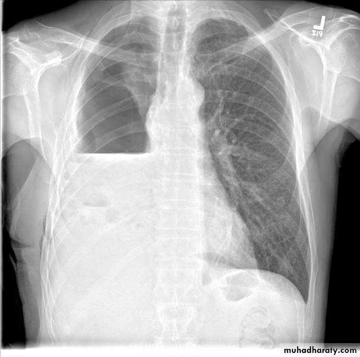
Total collapse total consolidation
Total collapse
Pleural effusion
Pleural effusion
Encysted PEPneumothorax
pneumothorax
Tension pneumothorax
Hydro pneumothorax
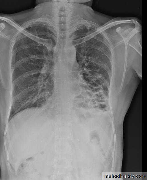
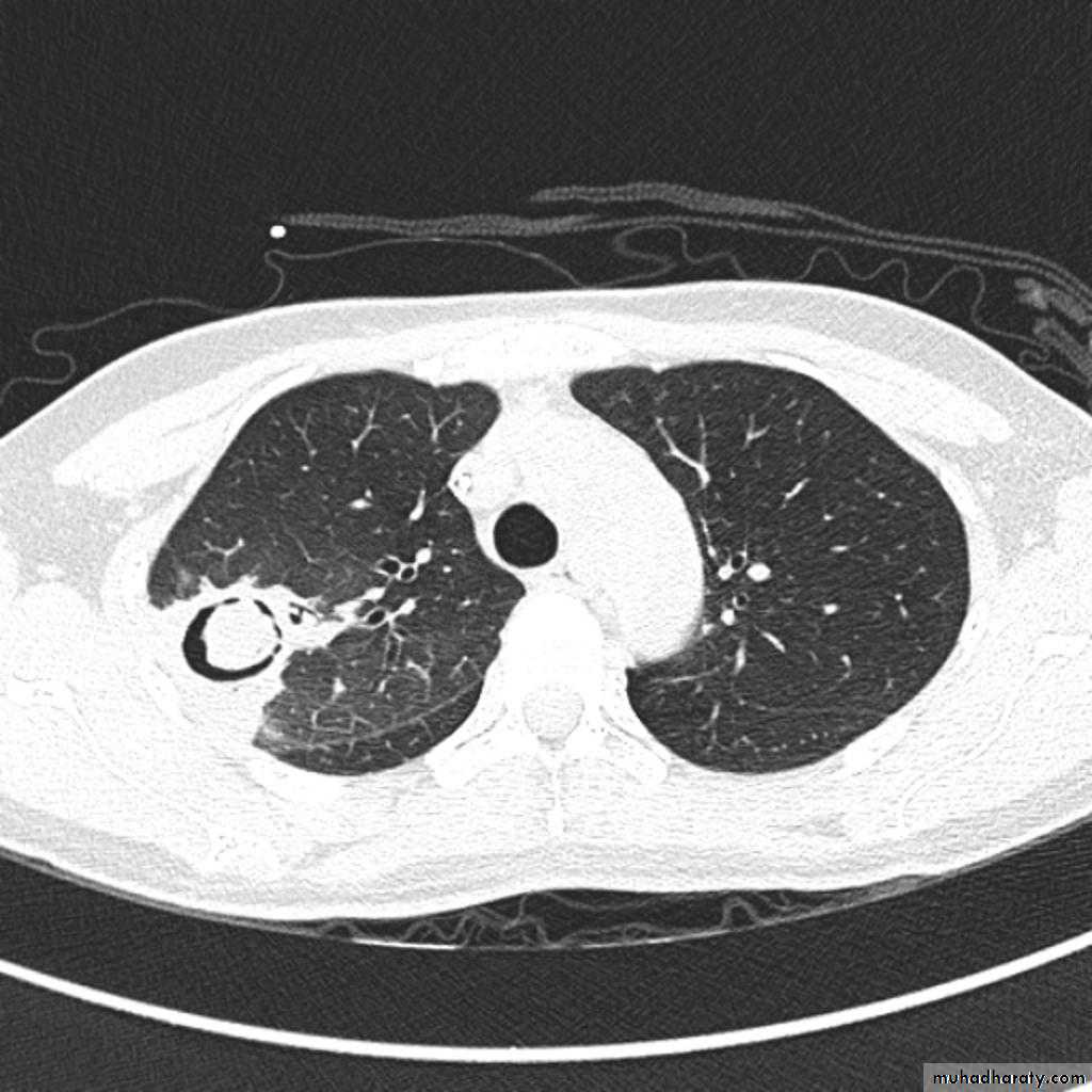
Bronchiectasis
Post primary TB broncho pneumoniacotton wool sign
Post primary TB Bronch pneumonia
Q ???? Be careful in description & DxBoth of them have similar appearance of broncho pneumonic shadow
??????What is being the pit fall in such films ???
Who can you differentiate ???
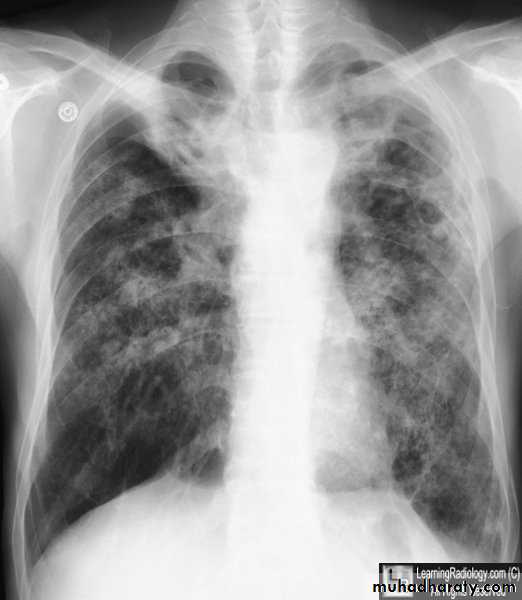
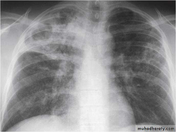
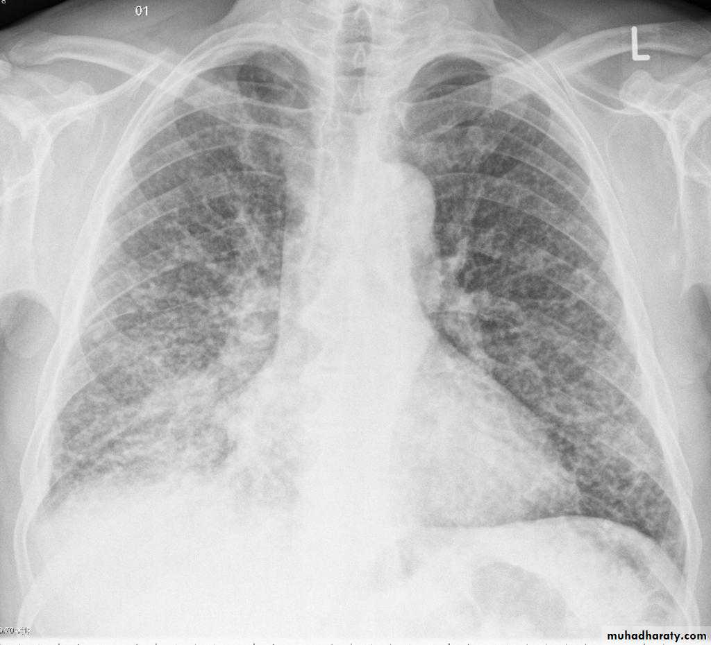
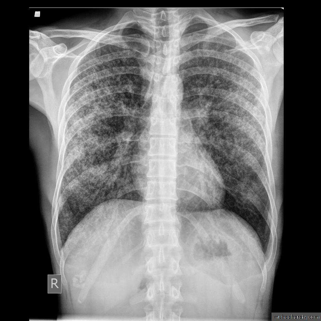
Miliary TB
miliary TB
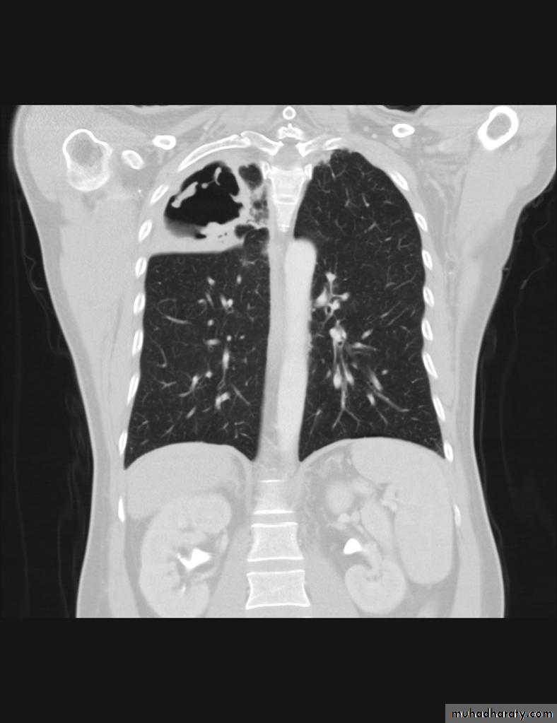
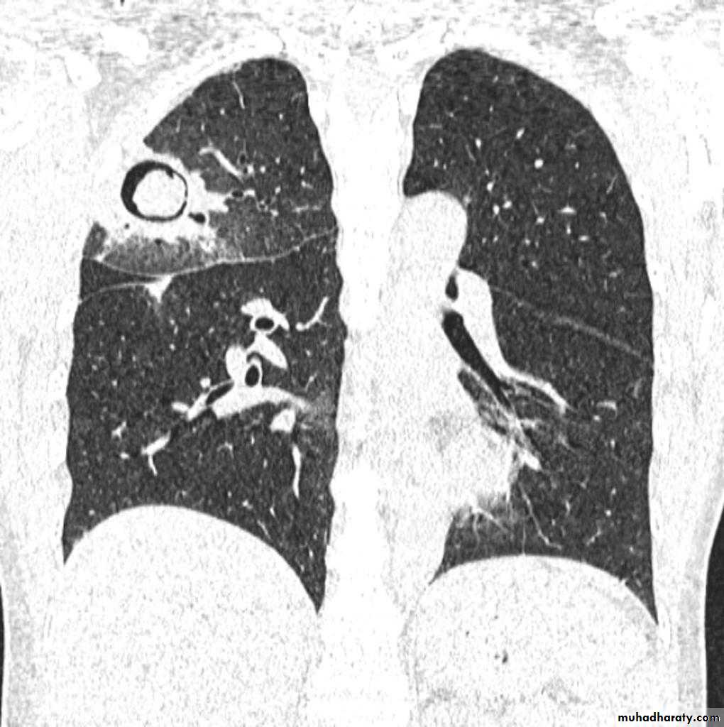
TB lung abscess
Aspergilloma
Hydatid cyst simple rupture ( water Lilly )
BGCA
BGCA
BGCA
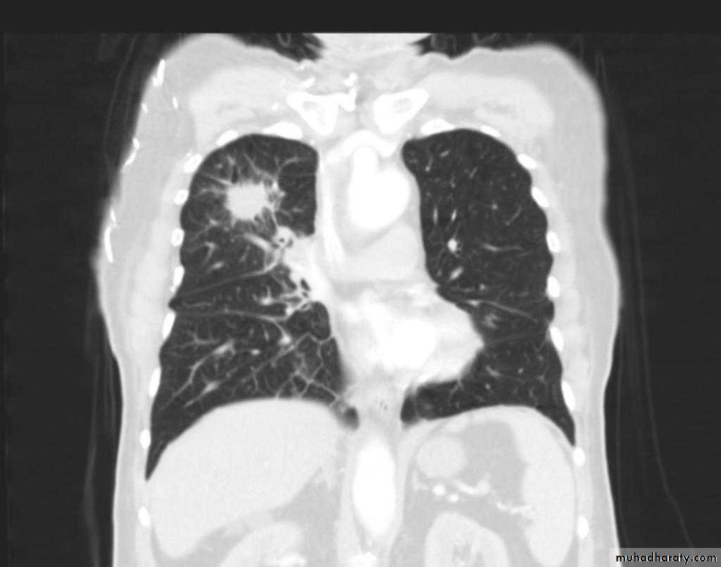
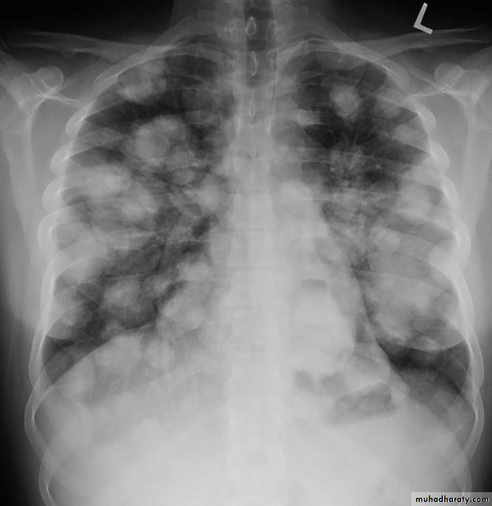
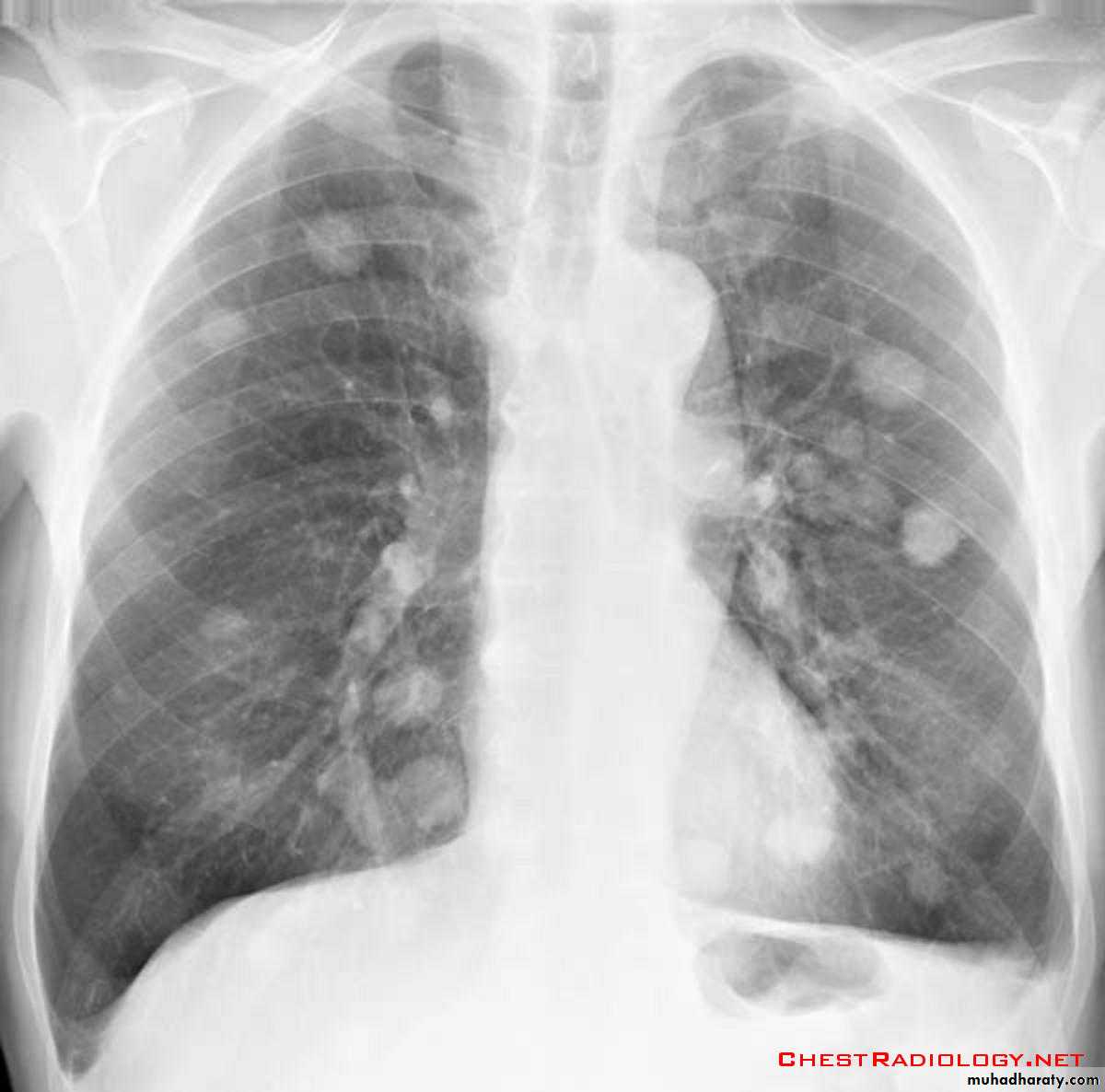
Secondary metastasis
DDX of coin shadow
????????Answer
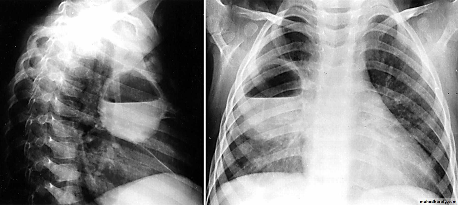
Lung abscess
abscess
DDX of soap bubble appearance of the hemi thorax
Key of chest seminr
1,2,3 .presentation4.normal chest film ( PA ) view
5.PA vs AP view
6.lateral film position
7.decubitus film
8.normal chest XR PA & lat. view
9.normal radiologic anatomy of the chest
10.normal chest anatomy
11.Radiological lung zone
12.sequence for XR reading
13.who to asses cardiac size
14.cardiac border in AP view
15.mitral valve disease & their sign
16.MVD
17. Globe shape heart (pericardial effusion )
18.boot shape heart (TOF)
19.Egg on side heart y(Transposition f great vessels )
20.box shape heart (Ebestain anomaly)
21.Dextrocardia .
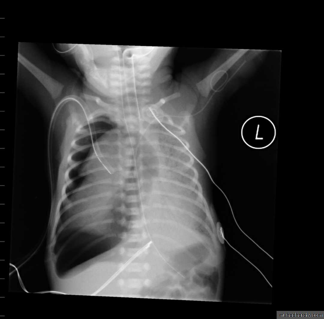
22.Retrophyrengeal abscess
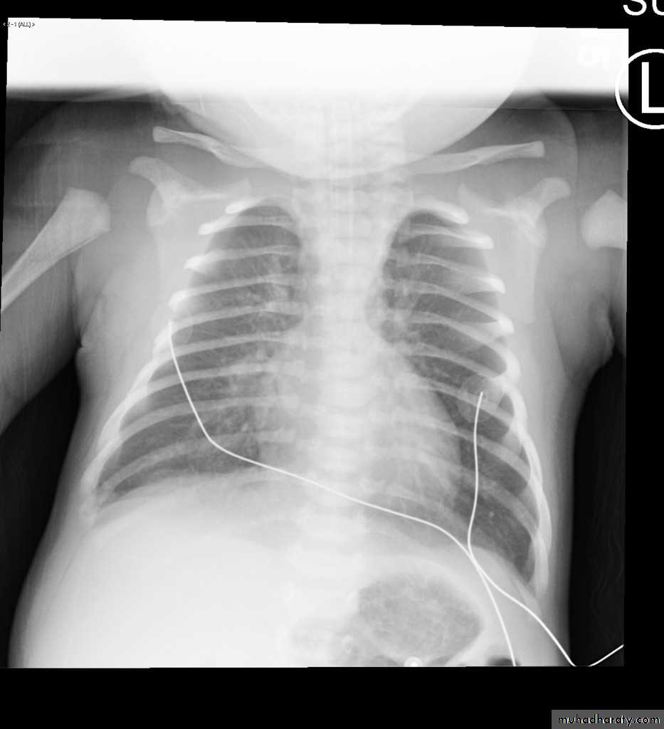
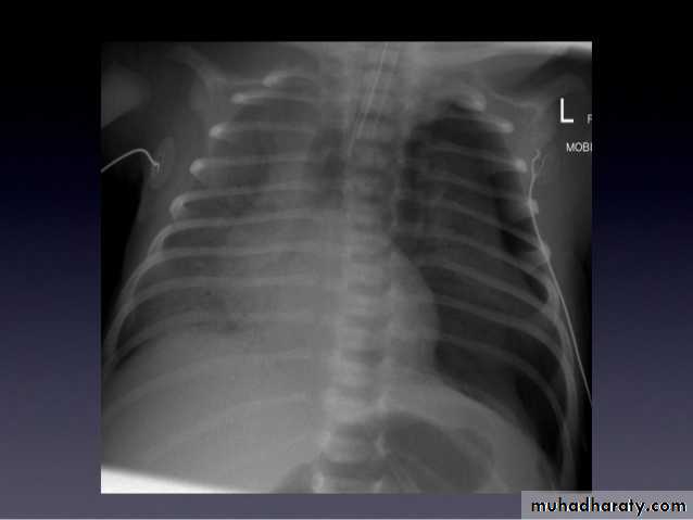
23.normal neonatal chest XR ( normal thymus gland )
24. normal chest XR of the infant( normal thymus gland)
25.retrosternal Goiter
26.retrosternal Goiter
27.lymphoma of the middle mediastinum
28.chest XR ( bilateral hilar lymph adenopathy )
29.chest XR ( bilateral hilar lymph adenopathy )
30.RT UL consolidation
31. RT UL consolidation(bulging fissure sign ) klebsiella pneumonia .
32.RT ML consolidation ( PA & lat. view )
33.RT ML consolidation (Lat. view )
34.LUL consolidation (PA & Lat. View )
35.LT.lower lobe consolidation ( PA & Lat. view )
36.lobuler consolidation (lobular pneumonia )37.discussion
38.interstial pulmonary edema
39.pulmonary edema ( alveolar pulmonary edema )
40.batwing sign ( alveolar pulmonary edema )
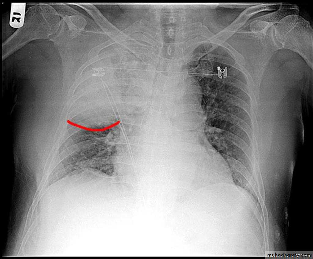
41.RT UL collapse
42.RT UL collapse
43.golden S sign
44.A.RT middle lobe consolidation
B.RT middle lobe collapse
45.LT lower lobe collapse
46.LT lower lobe collapse
47.Emphyzema
48.opasified hemi thorax
49.total collapse
50.pleural effusion
51.pleural effusion .
52.Encysted pleural effusion
53.pnuemothorax
54. pneumothorax
55. pneumothorax Right sided aspect
56.tension pneumothorax left sided aspect
57. tension pneumothorax right sided aspect
58.hydropneumothorax
59.Bronchiactasis
60.post primary TB ( cotton wool appearance )
61.post primary TB notice upper apical Broncho pneumonic shadow
62.Q??? Film
63.Q assessment
64.answer this film of Broncho pneumonic (lobular pneumonia ) VS upper zone apical Broncho pneumonic shadow due to post primary TB
65.Miliary TB
66. miliary TB
67. upper apical TB cavity68. Aspergilloma
69. Hydatid cyst simple & rupture water lily sign
70. Bronchogenic CA.
71. BGCA
72. BGCA
73. pancosts tumor
74. secondary metastasis to the lung ( canon ball appearance )
75. DDX of coin shadow
76. Coin lesion .
77. Lung abscess ( air fluid level )
78. Lung abscess
79. Diaphragmatic hernia Vs congenital cystic adenomatous malformation








































































































