قراءة
عرض

Chest X-ray:

Used In:
A -Preoperatively. B- Pre-employment .
C - Patient complains from respiratory symptoms.
D - Patient complains from cardiovascular symptoms.
INVESTIGATIONS:
chest practice




chest practice

Techniques - Projection

P-A (relation of x-ray beam to patient)
chest practice


chest practice


Supine view (AP)

chest practice


chest practice

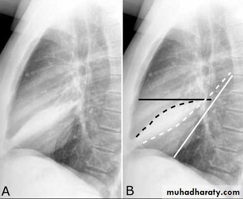
Lateral view .

lateral decubitus .
(in which the pt put on the suspected side & X-ray is taken (such as in pleural effusion).

chest practice


chest practice

LORDOTIC VEIW

chest practice


chest practice



Thoracic inlet view : to see hilar shadows, cardiophrenic angle shadow & right middle lobe collapse.
Routine Examination includes
P-A view , Other supplementary views are done according to the case. So all Patients admitted to hospital should have P-A X-ray In standing erect view in complete inspiration


chest practice




chest practice




chest practice

• LOBAR PNEUMONIA

chest practice





chest practice




chest practice


Right lower lobe consolidation - PA. Dense opacification in the right lower zone with effacement of the outline of the right hemidiaphragm.
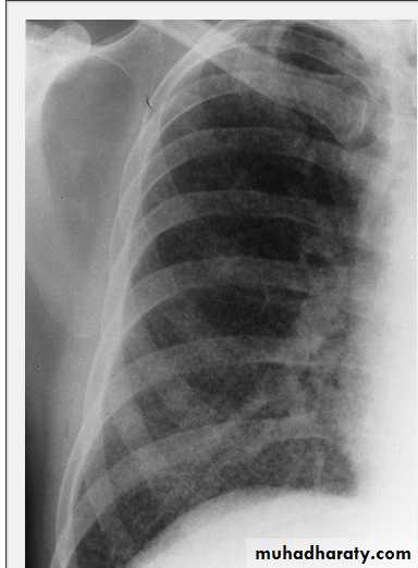
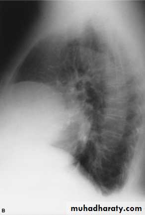
• Right lower lobe consolidation - Lat.
• The density lies posterior to fthe oblique issure- the position of the lower lobe.


chest practice




chest practice




chest practice





chest practice

BRONCHOPNEUMONIA

chest practice

Mycoplasma pneumonia. A 35 year old man presents with nonproductive cough and fever

chest practice

• Alveoiar oedema (‘Bat’s wings’)

• Kerlev B lines (interstitial oedema)
• Prominent upper lobe vessels
• Cardiomegaiy
chest practice

• Pleura

• effusion
chest practice





chest practice

Kerley A lines (Arrows), Kerley B lines (arrowheads)

chest practice




chest practice

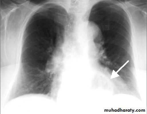
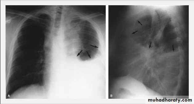
Lingular consolidation-PA. Patchy effacement of the left heart border.

chest practice

Left upper lobe consolidation-Lat.

The opacification is sited anterior to the obliq- fissure-the position of the upper lobe.


chest practice



chest practice


chest practice


chest practice


chest practice




chest practice




chest practice

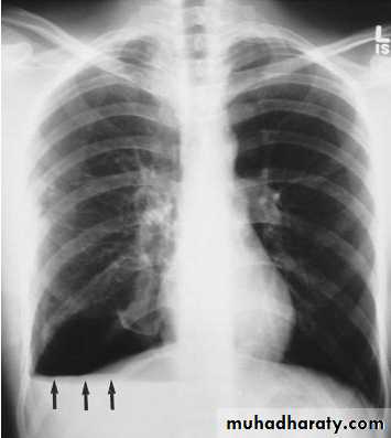
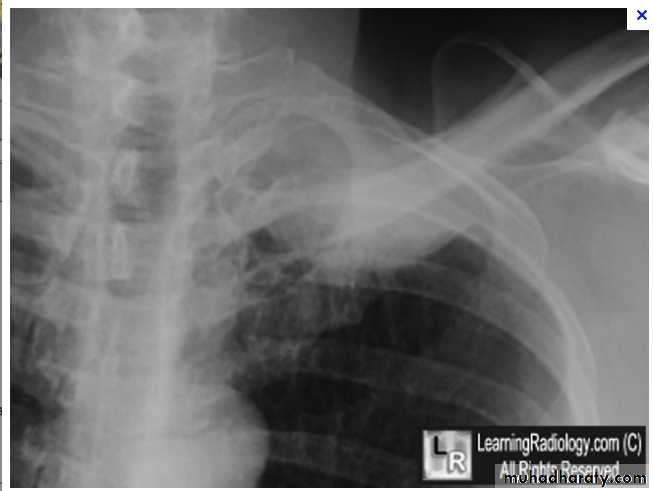
RLL collapse - PA.


chest practice





chest practice




chest practice




chest practice

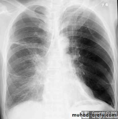
Nodular (coin) lesion in the left upper lung with irregular edge (most probably cancinoma


chest practice


chest practice




chest practice





chest practice




chest practice




chest practice




chest practice




chest practice





chest practice




chest practice


chest practice




chest practice


chest practice




chest practice





chest practice




chest practice




chest practice




chest practice




chest practice

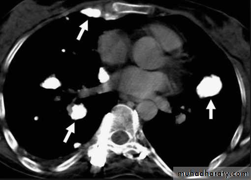
Differential diagnosis of multiple spherical lesions:

1 - Metastasis.
2-Hydatid cyst.
3- Sarcoidosis.
4- Rheumatoid nodules.
5 – pneumoconiosis
6- Histoplasmosis



chest practice


chest practice

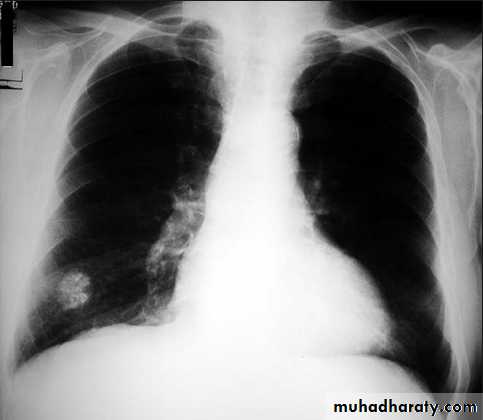
Chest X-ray shows radio-opaque (white) nodular lesion in the right mid-lung field.

Dx:x chicken pox , Histoplasmosis (calcified granuloma).


chest practice




chest practice

CAVITARY LESIONS

Abscess: necrosis of lung parenchyma +\-
bronchial communication
Fungus ball (air crescent sign)
Ruptured hydatid cyst (water lily sign)
Pneumatoceles due to air leak into
pulmonary interstitium (S. aureus)
chest practice


CAVITARY LESIONS ( lung abcess)

A PA chest radiograph demonstrates a thick-walled cavity with fliud level adjacent to heterogeneous opacities in the left upper lobe.
Necrotizing pneumonias and abscess formation .
chest practice




chest practice

Ruptured H.C. With water lily sign .

chest practice


chest practice


chest practice


chest practice



Un complicated Hydatid cyst of th lung , cuased by echenococus granulosis seen as well defined nodule or mass lesion .

Early rupture is sen as a cresnt air sign .ddx aspergillus ball

chest practice




chest practice




chest practice


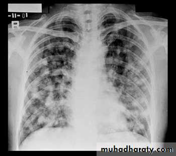
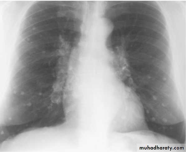
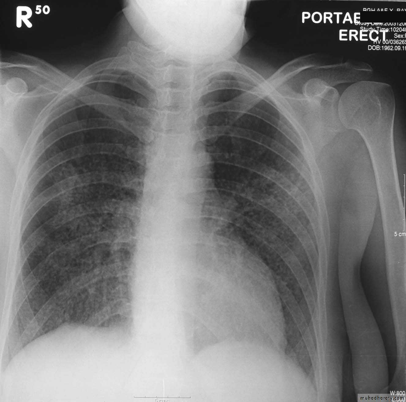
Miliary Tuberculosis. A cone-down view of a frontal radiograph demonstrates innumerable micronodular opacities characteristic of micronodular (miliary)
interstitial disease.
Transbronchial biopsy demonstrated caseating granulomas containing acid-fast bacilli.


chest practice



chest practice




chest practice




chest practice

Miliary TB

a frontal radiograph demonstrates innumerable micronodular opacities characteristic of micronodular (miliary) interstitial disease. Transbronchial biopsy demonstrated caseating granulomas containing acid-fast bacilli.
chest practice

Tuberculoma

Plain film
* Tramline: horizontal, parallel lines corresponding to (cylindrical ) thickened, dilated bronchi
* Bronchial wall thickening (best seen end-on) as honey comb appearance ( cystic ) .
* Indistinctness of central vessels due to peribronchovascular inflammation
Atelectasis


chest practice




chest practice

HRCT is more senstive , modality .of choice now adays

Signet ring sign : focally thickened bronchial wall adjacent to pulmonary artery branch .
chest practice




chest practice




chest practice




chest practice





chest practice


chest practice

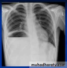
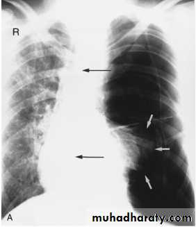
Tension pneumothorax.

On a posteroanterior chest x-ray (A), the left hemithorax is very dark or lucent because the left lung has collapsed completely (white arrows).
The tension pneumothorax can be identified because the mediastinal contents, including the heart, are shifted toward the right, and the left hemidiaphragm is flattened and depressed. A computed tomography scan done on a different patient with a tension pneumothorax (B) shows a completely collapsed right lung (arrows) and shift of the mediastinal contents to the left.


chest practice


Tension Pneumothorax. Portable chest film in a 43-year-old woman with ARDS shows a large right pneumothorax with mediastinal shift and ipsilateral diaphragmatic depression, suggesting tension.
Air was evacuated under pressure during emergent placement of a right chest tube.


chest practice

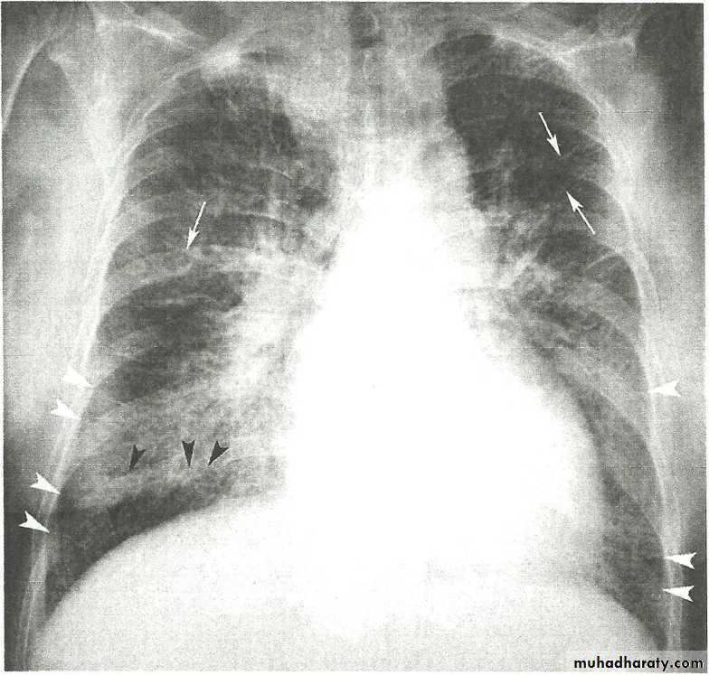
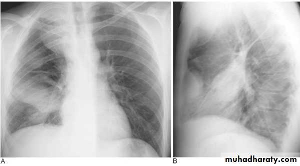
Pleural Effusion on Chest Radiographs.

Posteroanterior (A) and lateral (B) chest radiographs demonstrate the typical meniscoid appearance (arrows) in a patient with a left pleural effusion



chest practice

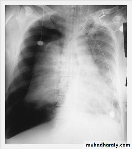
Hydropneumothorax.

When fluid and air are present in the pleural space on an upright chest x-ray, a perfectly straight horizontal line will extend all the way from the spine to the edge of the pleural cavity. In this patient, a loculated right basilar hydropneumothorax is present.
The air/fluid interface is easily seen (arrows). If this were a lung abscess, the air/fluid level would be very unlikely to extend all the way from the medial to the lateral aspect of the hemithorax.
chest practice




chest practice

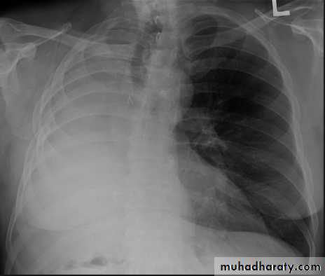
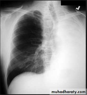
Massive pleural effusion with mediastinal shift to the left.

(A) Chest radiograph
(B) CT coronal reconstruction. A massive effusion displaces the mediastinum to the left. CT shows the important pleural effusion together with the enhanced atelectatic left lung.
Note also the depression of the right hemidiaphragm (arrows).


chest practice



chest practice




chest practice


chest practice

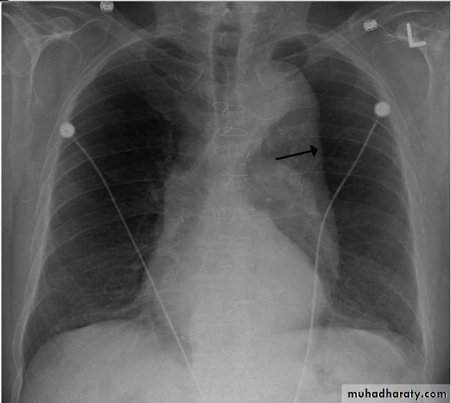
Pneumomediastinum.

Vertical dark (lucent) lines representing air within the mediastinum are usually seen at or above the level of the aortic arch.
On the posteroanterior view (A), these can be seen extending up into the lower cervical soft tissues (arrows).
On the lateral view (B), dark linear air collections can be seen in front of and behind the trachea.


chest practice

Encapsulated fluid

(A) PA and (B) lateral chest radiographs. Pleural fluid is encapsulated in the major fissure and against the anterior chest wall. These encysted fluid collections can mimic a lung tumour.


chest practice



Empyema.
A computed tomography scan shows a posterior left pleural fluid collection (arrow) containing air (dark) and surrounded by thickened pleura.
The thickened pleura appears to be split by the lenticular fluid collection.


chest practice

Empyema on Chest Radiograph and CT.

A. Posteroanterior chest film in a patient with a recent right lower pneumonia demonstrates an oval opacity in the right lateral costophrenic sulcus containing gas (arrow).
B. An enhanced CT scan shows a circumferential pleural fluid collection with enhancing visceral (straight arrow) and parietal (curved arrow) pleural layers representing an empyema.
Note the contained gas pockets, indicating loculations within the collection itself.


chest practice




chest practice





chest practice


Subpulmonary pleural effusion. On the (A) erect PA and (B) lateral radiograph the effusion simulates a high hemidiaphragm. (C) Ultrasound and (D) CT clearly show that the effusion is located above the diaphragm. Arrows = diaphragmatic area.


chest practice


chest practice




chest practice


chest practice




chest practice





chest practice

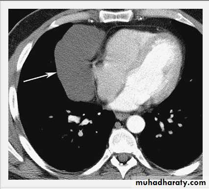
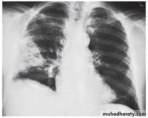
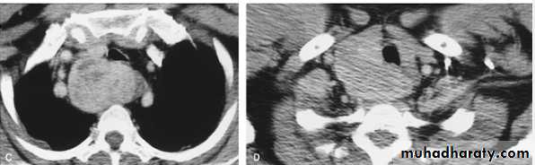
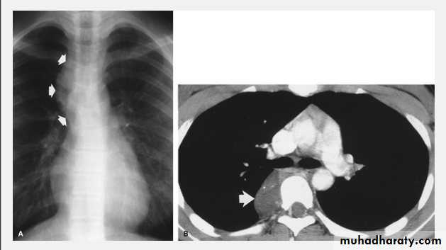
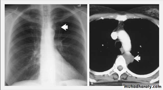
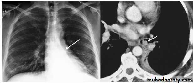
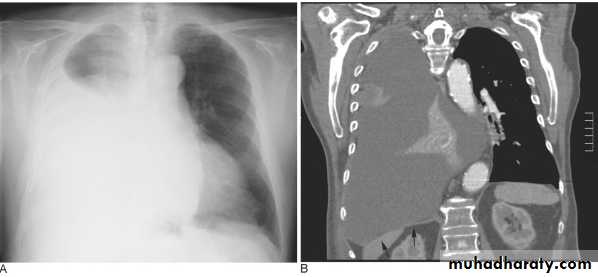
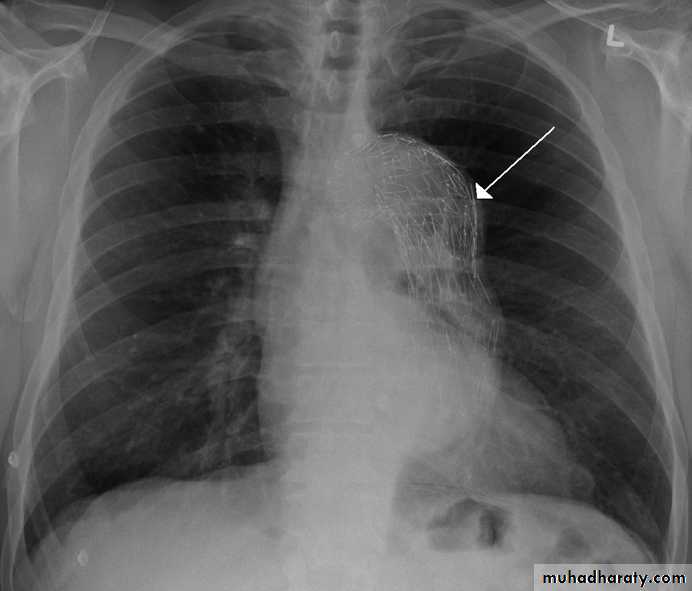
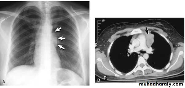
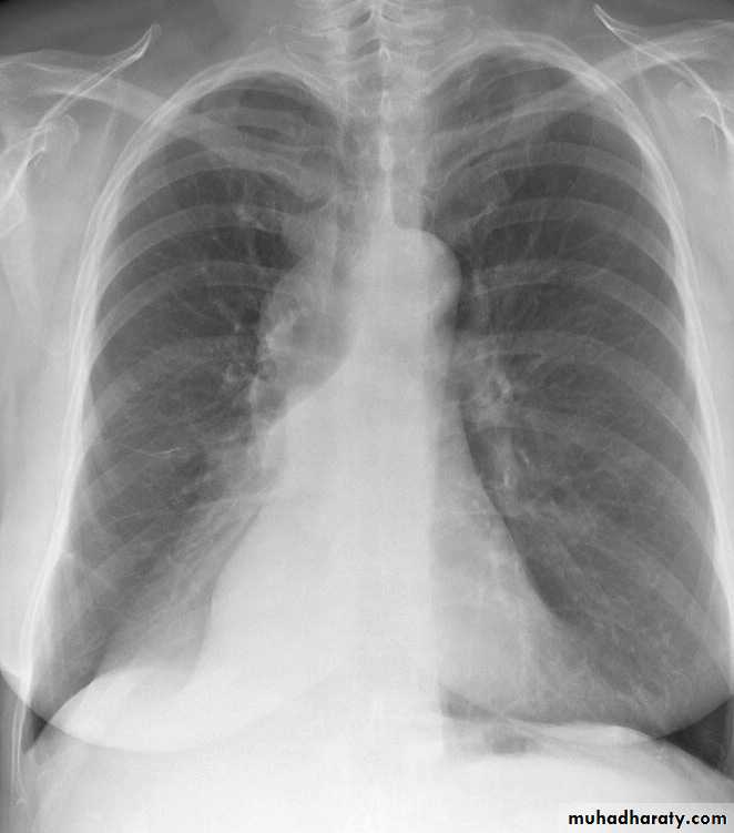
Thymoma.

A chest x-ray (A) reveals an unusual contour over the left hilum (arrows). That the hilum is not obscured (no silhouette sign) indicates that the mass must either be in front of or behind the hilum. A computed tomography scan (B) reveals a soft tissue mass (arrow) just to the left of the aorta. This is the most common location of a thymoma.


chest practice


Mediastinal teratoma. A chest x-ray (A) shows a large upper right mediastinal mass (arrows), but no specific internal structure is apparent. A computed tomography scan (B) reveals that the mass contains multiple types of tissue elements including fat (dark), soft tissue (gray), and calcium (white). This is essentially diagnostic of a teratoma.


chest practice


chest practice


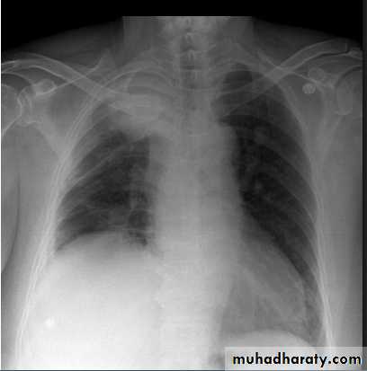
Thyroid Goiter. Posteroanterior (A) and lateral (B) radiographs show a right superior mediastinal mass (arrows) compressing the trachea from the posterior. C. Contrast-enhanced CT at the level of the sternoclavicular joints shows inhomogeneous increased attenuation and enlargement of the thyroid gland that extends retrotracheally. D. More superiorly, the mass is contiguous with the right lobe of an enlarged gland.


chest practice


chest practice





chest practice


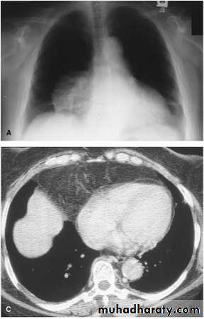
Pericardial fat pad. A, A soft tissue mass (arrows) is seen in the right cardiophrenic angle on the frontal chest x-ray. B, It also is seen in the anterior mediastinum on the lateral view. On this view, the anterior (A), middle (M), and posterior (P) portions of the mediastinum have been identified.


chest practice




chest practice


chest practice


Foramen of Morgagni Hernia. Frontal (A) and lateral (B) chest radiographs in a 60-year-old woman reveal a large mass in the right cardiophrenic angle. C. CT scan at the level of the diaphragm shows a fatty pericardiac mass containing omental vessels


chest practice

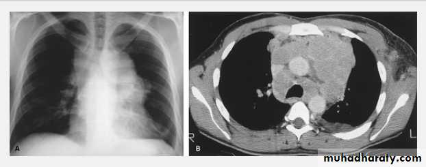
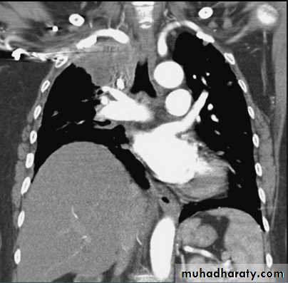
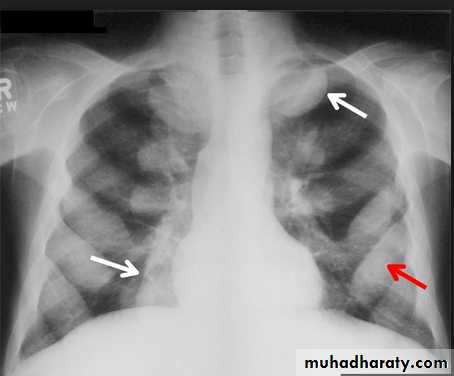
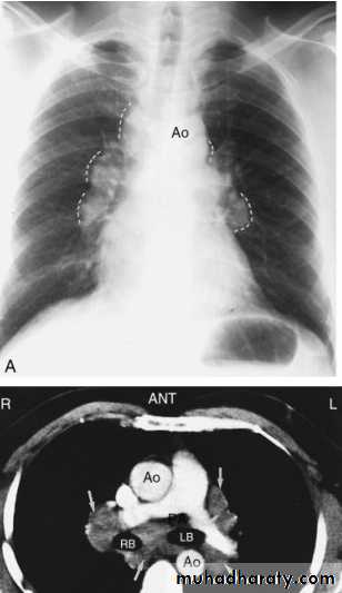
Sarcoid.

Marked lymphadenopathy (dotted lines) is seen in the region of both hila in the right paratracheal region (A).
The transverse contrast-enhanced computed tomography scan of the upper chest (B) clearly shows the ascending and descending aorta (Ao) as well as the pulmonary artery (PA) and superior vena cava. The right and left main-stem bronchus area also is seen. Arrows, the extensive lymphadenopathy.



chest practice


Hodgkin Lymphoma. A. Posteroanterior chest radiograph in a 35-year-old man shows a large, lobulated mediastinal mass. B. Contrast-enhanced CT at the level of the aortic arch shows bulky anterior and middle mediastinal lymphadenopathy


chest practice


Bronchogenic Cyst. Unenhanced (A) and enhanced (B) CT scans in a 38-year-old man demonstrate a smooth, low-attenuation paratracheal mass (arrows) that fails to enhance, consistent with a bronchogenic cyst.


chest practice

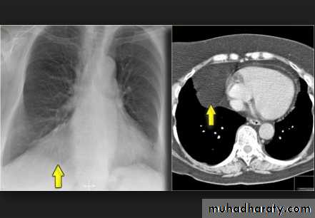
Pericardial Cyst.

Enhanced CT scan through heart shows a smooth, sharply marginated, low-attenuation mass (arrow) in the right cardiophrenic angle, consistent with a pericardial cyst.


chest practice


chest practice





chest practice

Neurofibroma.

A. Frontal chest radiograph shows a left upper mediastinal mass (arrow).
B.Contrast-enhanced CT confirms the presence of a left paravertebral soft tissue mass (arrow). Surgical resection confirmed a neurofibroma.

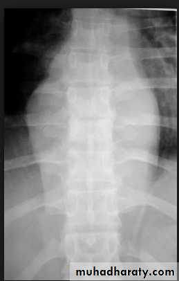
The plain film shows features which are typical for spinal tuberculous disease.

There is an extensive paraspinal soft-tissue mass.
Detail in the underlying spine is poor but there is early crowding of ribs posteriorly, indicating early vertebral collapse.
(B) Coronal MR image of the thoracic spine demonstrates destruction of the intervertebral disc at the point where the paraspinal widening is maximal and this change is associated with alteration of signal from the vertebrae.
chest practice


chest practice




chest practice


chest practice





chest practice

Ganglioneuroma.

Posteroanterior radiograph in a 15-year-old woman reveals an oval, vertically oriented, right-sided mediastinal mass (arrows).
B. Contrast-enhanced CT shows a low-attenuation posterior mediastinal mass (arrow) with calcification. This was surgically proven to be ganglioneuroma


chest practice


chest practice




chest practice




chest practice



PA chest X-ray: A smooth-contoured cavity of 5 cm diameter, containing gas fluid level, is visible behind the heart shadow (arrow). This lesion is the gas-containing fornix protruding into the chest cavity through the esophageal hiatus.
chest practice


A barium swallow study demonstrates a large hiatal hernia with the majority of the stomach in the chest, not in the abdomen where it belongs.


chest practice





رفعت المحاضرة من قبل: ابراهيم محمد فوزي الشهواني
المشاهدات: لقد قام 7 أعضاء و 172 زائراً بقراءة هذه المحاضرة








تسجيل دخول

أو
عبر الحساب الاعتيادي
الرجاء كتابة البريد الالكتروني بشكل صحيح
الرجاء كتابة كلمة المرور
لست عضواً في موقع محاضراتي؟
اضغط هنا للتسجيل