قراءة
عرض

Thoracic Surgery

Introduction to

Embryology:

thoracic surgery

Anatomy:

thoracic surgery

Mechanism of breathing

thoracic surgery


thoracic surgery

• Spirometry

• ppo FEV1
• DLCO
• VO2 max
• V/P scan


Bronchoscopy:
• Hemoptysis
• Chronic cough
• Localized wheeze
• Pulmonary mass on chest X-ray
• Recurrent or unresolved pneumonia
• Preoperative resectability assessment
• Suspicion of malignancy;
• Indications:

Indications (cont.):

Therapeutic:
• Foreign body inhalation
• Difficult intubation
• Atelectasis
• Stricture dilatation
• Lung abscess drainage
• Laser therapy
• Cryotherapy
• Brachytherapy


Flexible Bronchoscopes:
• Better patient tolerance
• Topical anesthesia
• Wider field of view
• Flexibility
• Ambulatory setting
• Useful in patients with cervical spine disorders.
• Allows assessing movement of vocal cords.
• Advantages:
thoracic surgery

Disadvantages:

• Small instrument channel size
• Difficulties in sterilization and maintenance
• Impinges on the airway
• Needs patient cooperation

thoracic surgery




Rigid Bronchocopes:
• Durability
• Large instrument channels
• Control of airway
• Advantages:
thoracic surgery


thoracic surgery

Disadvantages:

• Needs general anesthesia
• Limited distal visualization
• Higher cost
• Higher risk of trauma
• Contraindications:
• Thoracic aortic aneurysm
• Cervical spine disorders

Complication of bronchoscopy

• Laryngospasm and / or bronchospasm
• Hypoxemia
• Tracheal or bronchial obstruction
• Tracheal or bronchial perforation
• Bleeding
• Arrhythmias and cardiac arrest
• Pneumonia
• Air embolism
• Pneumothorax


Pulmonary Hydatid Disease:
Cyst full of water
Echinococcus granulosus
thoracic surgery

Pathology:

thoracic surgery

• Adventicia

• (host tissue)
• Ectocyst
• (Laminated membrane)
• Endocyst
• (germinal layer)
• Broad capsule

Clinical presentation:

• Asymptomatic
• Rupture →cough, hemoptysis, watery sputum
• Coughing up "grape skin"
• 2ry infection →fever, rigor, purulent sputum
• Hydropneumothorax or pyopneumothorax
• Anaphylaxis


Investigations:
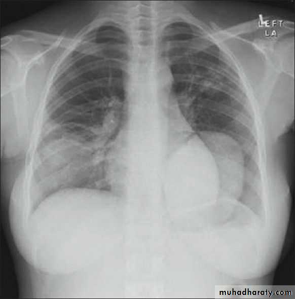
1. CXR 2. CT scan
1) well defined circular or oval homogenous opacity

thoracic surgery


thoracic surgery

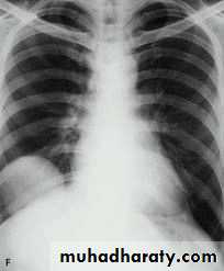
2) perivesicular pneumocyst or signet ring sign

thoracic surgery

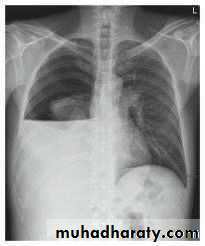
3) An empty cavity

thoracic surgery

4) Bilateral and multiple cysts

thoracic surgery


thoracic surgery


5) Hydro- or pyo-pneumothorax

thoracic surgery


thoracic surgery

Treatment:

Surgical treatment:
• Removal of the cyst
• Aspiration / evacuation technique
• Enucleation technique
• Excision
• Anatomical resection:
• Segmentectomy
• Lobectomy
• Pneumonectomy
Medical treatment:
• not effective
thoracic surgery


Bronchiectasis:

Causes:

• Congenital

• Acquired

thoracic surgery

Clinical presentaion:

• A persistent productive cough of purulent sputum, with fetor oris.
• Hemoptysis
• Recurrent pneumonitis
• On examination:
• Cyanosis,
• Clubbing
• Coarse crepitations.

Investigations:

• CXR
• CT scan
• Bronchography
thoracic surgery



thoracic surgery

Treatment:

Medical treatment:
• Prevent infection
• Physiotherapy and postural drainage

Surgical treatment indicated in:

• Localized bronchiectasis
• Massive hemoptysis
• Recurrent suppurition
• Anatomical resection

Lung Abscess:

• Primary necrotizing pneumonia
• Aspiration pneumonia
• Bronchial obstruction
• Systemic sepsis
• Pulmonary trauma
• Direct extension
• Causes:


Diagnosis:
Fever, poor appetite, malaise, dyspnea, copious purulent sputum, hemoptysis
CXR
CT scan
Sputum culture
Bronchoscope
thoracic surgery

Treatment:

Medical treatment:
Prolonged antimicrobial therapy
Drainage

Surgical treatment:

No response
Suspicion of malignancy
Significant hemoptysis
Complications of lung abscess

Thank You




رفعت المحاضرة من قبل: younis mohammed
المشاهدات: لقد قام 32 عضواً و 418 زائراً بقراءة هذه المحاضرة








تسجيل دخول

أو
عبر الحساب الاعتيادي
الرجاء كتابة البريد الالكتروني بشكل صحيح
الرجاء كتابة كلمة المرور
لست عضواً في موقع محاضراتي؟
اضغط هنا للتسجيل