مواضيع المحاضرة: Acinus Atelectasis (collaps) Respiratory failure Pulmonary oedema Adult Respiratory Distress Syndrome Hyaline Membrane disease Pneumonia Lobar & Bronchopneumonia Chronic Obstructive Pulmonary Disease (COPD)

audioplayaudiobaraudiotime

قراءة
عرض

Respiratory System

Dr. Ekhlas A. ALI
M.B.Ch.B.—M.Sc.---F.I.C.M.S.(Path.)
Dept. of pathology--College of Medicine
University of Mosul

Aim of studying pathology of Respiratory system

1.To know the types of lesions affecting this system
2. To study the gross & microscopical features of these lesions
3. To correlate the signs & symptoms

Anatomy

Respiratory tract consist of:
Nose,nasopharynx,larynx,trachea,right & left bronchi.
The bronchi lead to respiratory lobule or acinus

Acinus

The part of the lung distal to terminal bronchiole is called Respiratory Lobule or acinus it Consist of respiratory bronchioles and alveolar ducts and alveoli .
Alveoli arise from both respiratory bronchioles and alveolar duct .


Respiratory Acinus
Respiratory  System

Upper & lower respiratory tract

The respiratory tract are roughly divided in to
Upper respiratory tract : Above cricoid cartilage
Lower respiratory tract : Below cricoid cartilage

Histology

The nose, nasopharynx, bronchi are lined by pseudo stratified tall columnar ciliated epithelium &contain goblet cells and neuroendocrine cells.
True vocal cord are lined by squamous epithelium. Submucosa contain mucus glands.
The alveoli are lined by:
Type I pneumocytes: Flattened cells
Type II pneumocytes :Rounded. It is the sours
of pulmonary surfactant & repair of type I pneumocytes

Trachea----bronchi-----bronchioles (they lack cartilage &submucosal glands in their wall .

The wall of Alveolus

Respiratory  System


Physiology

The main function of Respiratory tract :
1. Oxygenation of blood
2. Removal of CO2
3. Protective function from infection & foreign material: e.g. the cilia, the lymphoid tissue,
Ig A secretion and phagocytic cells
4.Inactivation of chemical mediators .

Hazards To Respiratory tract

The respiratory tract is exposed to 3 main hazards:
1. Infection: air born or spread from upper respiratory tract
2. Inhalation of pollutants: smoke, dust etc
3. Vascular diseases e.g. thrombo embolisim
4. Cardiac diseases: disturb pulmonary haemodynamic e.g. septal defects lead to pulmonary hypertension

Infections of upper respiratory tract

Include:
Viral: common cold
Bacterial : staph, streptococci etc
Fungal : Aspergillosis



Acute Rhinitis
Acute inflammation of the nasal mucosa
Aetiology:
• Viral e.g. common cold caused by rhinoviruses, influenza, para influenza
• Allergic: e.g. atopic rhinitis due to
• type 1 hypersensitivity reaction
• Manifestation of systemic disease: e.g. measle


Respiratory  System

Pathology

It is catarrhal inflammation characterized by congestion oedema and increased mucus secretion. mononuclear cell infiltration .There may be necrosis of mucosa
Manifestation:
Excessive secretion Runny nose
Edema of submucosa lead to nasal obstraction
Necrosis may lead to bleeding (Epistaxis)


Respiratory  System



Fate of Acute Rhinitis
Resolution
Secondary bacterial infection and suppuration
Involvement of nasal sinuses
Chronic atrophic Rhinitis


Respiratory  System

Chronic Granulomatous Rhinitis

Etiology:
Tuberculosis
Fungal
Leprosy
Syphilis
Wegenar granuloma


Respiratory  System

Tumors of Nose Nasopharynx & Sinuses

Benign:
Hemangioma
squamous cell papilloma
Transitional cell papilloma &
inverted papilloma:They tend to recur , difficult to eradicate & liable for malignant changes.
Angio fibroma
Malignant:
Squamous cell carcinoma
Adeno carcinoma
Nasopharyngeal carcinoma



Respiratory  System

Inverted papilloma

Respiratory  System




Respiratory  System

Angiofibroma

Angiofibroma is a benign vascular tumor of the nasopharynx occur exclusively in young adult male.
It grow rapidly may erodes bone and bleed profusely

Nasopharyngeal carcinoma

Carcinoma arises from nasopharynx.
Environmental and viruses (Epstein Barr virus EBV play a role in its pathogenesis
Microscopically: consist of sheets of malignant cells which may be of :
Undifferentiated
Keratinising squamous cells
With variable number of lymphocytes led to its old name of lymphoepithelioma


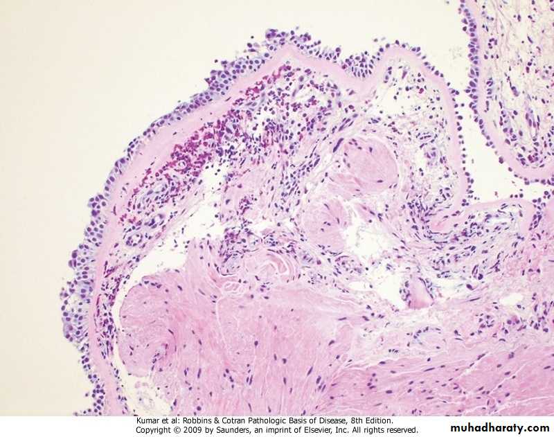
Nasal polyp
Polypoid projection from nasal mucosa , gelatinous in consistency with smooth surface. Usually bilateral (cf with neoplasm)
It consist of edematous nasal mucosa contain, blood vessels, mucus glands & infiltrated by chronic inflammatory cells & eosinophils.
It result from allergic & inflammatory reaction

Gross appearance of Nasal polyp

Respiratory  System

Microscopic picture of nasal polyp

Respiratory  System

Nasal polyp

Respiratory  System

Sinusitis

Acute inflammation of the nasal sinuses. Usually follow extension of infection from the nose or from tooth sockets
Etiology:
Viral
Bacterial
Allergic


Sinusitis (cont)
Pathology:
Acute inflammation: congestion &edema lead to obstruction of sinus opening resulting in accumulation of mucus secretion followed by bacterial infection & suppuration
Complications:
Osteomyelitis
Subcutaneous abscess
Orbital cellulites
Intracranial suppuration (meningitis,brain abscess)


Respiratory  System

Larynx : Laryngitis

Nonspecific laryngitis
Follow upper respiratory tract infection e.g. common cold. Air pollution predispose to laryngitis
Tuberculous laryngitis
Diphtheria ,syphilis, leprosy may involve the larynx


Respiratory  System



Tumors of the larynx
Benign tumors :
squamous cell papilloma.
Single or Multiple
viral in origion (HPV)
Malignant:
Squamous cell carcinoma ,Verrucous ca.
(Glottic , supraglottic , subglottic).

Laryngeal nodule:(singer nodule) it is not a neoplasm

It is a small nodule at the vocal cord , has smooth surface covered by normal epithelium its core consist of fibrous tissue, blood vessels ,amyloid materials.

The larynx

Respiratory  System

Influenza

Acute febrile illness characterized by fever headache, cough , joint pain.
It result from infection by influenza virus
Pathologically: chacterized by acute inflammation of pharynx, larynx & tracheobronchial mucosa
Complication: bronchopneumonia


The Lung
Congenital Anomalies:
1.Agenesis
2.Tracheo-Esophageal fistula (T-E fistula)
3.Vascular abnormalities
4.Pulmonary sequestration (part without connection to air ways system)

Atelectasis (collaps)

1.Neonatal collapse: Failure of lung to expand.
2.Acquired collapse: may involve a segment or the whole lung ( massive collapse).
Three types recognized:
* Compression collapse e.g.Pleural effusion
* Absorption collapse (Obstruction): e.g. Foreign body
* Contraction collapse : e.g. Fibrosis

Acquired collapseAcquired atelectasis

Respiratory  System

Neonatal collapse

Failure of the lung to expand in newborn baby
Causes:
1. Brain damage involving respiratory center
2. Congenital anomalies
3. Bronchial obstruction


Respiratory failure
Hypoxemia , arterial oxygen tension below 60 mmHg as a result of lung diseases in patient breathing air at sea level.(normal 80-100mmHg)
In some patient there is retention of CO2 so the arterial tension of CO2 is over 45mm Hg (normal 35-45mmHg)
Type I respiratory failure when there is hypoxemia with no CO2 retention e.g. pneumonia, asthma
Type II respiratory failure when there is CO2 retention with hypoxemia e,g, Chronic bronchitis, Emphysema

Circulatory disorders of the lungs

Chronic passive venous congestion
Pulmonary edema

Pulmonary oedema

Causes:
Heart failure (left)
Inflammatory
Toxic agents
Raised Intracranial pressure
Pulmonary embolism
Pulmonary infarction

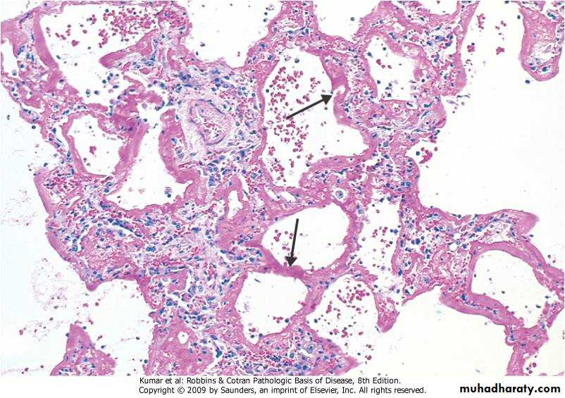
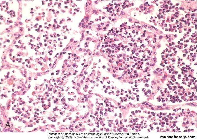
Adult Respiratory Distress Syndrome

A clinical syndrome caused by diffuse alveolar capillary endothelial and epithelial cell damage.
Increased permeability result in exudation of fluid.
Clinically: severe respiratory distress , cyanosis & respiratory failure.
Grossly:
The lung is heavy red congested &edematous
Micro:
Diffuse alveolar wall damage( epithelial & endothelial)
Alveolar wall is lined by hyaline materials Latter on intra alveolar organization takes place


Adult Respiratory Distress Syndrome ARDS (cont)
Causes:
Sepses
Pulmonary infections
Aspiration of gastric juice
Trauma e.g. head injury
Others

Adult Respiratory Distress Syndrome(ARDS)

Respiratory  System

Hyaline Membrane disease(cf with ARDS)

Severe respiratory distress, cyanosis and death from respiratory failure
Affect infants in the first few day of life who are:
Baby delivered by caesarean section
Baby of diabetic mother
Premature baby

Hyaline Membrane Disease (cont)

Aetiology: uncertain and include:
Deficiency of pulmonary surfactant
Increased permeability of pulmonary capillaries
Inhalation of amniotic fluid


Hyaline Membrane Disease (cont)
Pathology:
Collapse of the alveoli
Respiratory and terminal bronchioles are distended and lined by hyaline eosinophilic materials

Pneumonia

Definition: Inflammation of lung parenchyma .Characterized by consolidation ,
Consolidation:
Replacement of the alveolar air by inflammatory exudates.


Respiratory  System

Classification of Pneumonia

1.Pathological classification
2. Microbiological classification
3. Clinical classification


Respiratory  System



Pathological Classification
Depending on how the micro-organism spread in the lung:
1. Lobar Pneumonia: From alveoli to alveoli .Typically bacterial
2. Bronchopneumonia: From bronchi to alveoli
3. Interstitial Pneumonia: In the interstitial tissue of the lung . Typically viral.


Respiratory  System

Microbiological Classification

Depending on the causative micro-organism as determined by bacteriological examination e.g. Pnemococcal pneumonia ,
viral pneumonia etc


Respiratory  System

Clinical Classification of pneumonia

Depends on the circumstances surrounding the infection . It helps in predicting the causative micro organism. So you can start treatment until confirmation from the lab arrive Include:
1.community aquired pneumonia: strept pn. ,H.influenza. Mycoplasma, chlamydia, candida
2. Nosocomial pneumonia: Hospital acquired due to gram (- ve) bacteria , pseudomonas, penicillin resistant staph.
3.Aspiration pneumonia: Aerobic & Anaerobic bacteria
4. Pneumonia in immunocompromised patient: pneumocystis carinii, CMV,


Compare Lobar & Bronchopneumonia
Respiratory  System

Lobar Pneumonia

Respiratory  System

Pneumonia: Classification

Lobular ( Bronchopneumonia)
Respiratory  System

Lobar Pneumonia

Etiology: pneumococcal Pneumonia, streptococcal. Pneumonia
Predisposing factors: Upper respiratory tract infection .The M.O. reach the alveoli through the bronchial tree & spread through pores of Kohn.
Gross: a complete lobe is involved (consolidated)
Microscopically: For descriptive purposes divided in to 4 stages

Lobar Pneumonia (cont)

Stage 1 :Acute congestion .The affected lobe is red, firm and heavy
The alveolar capillaries are congested and the alveolar space contain fluid exudate


Stage 2: Red hepatisation , the affected lobe is firm &red similar to liver tissue
Microscopically: alveolar wall congested, alveolar lumen contain RBCs, M.O, & phagocytic cells

Lobar Pneumonia (cont)

Stage 3: Gray hepatisation,
Gross: the affected lobe is firm & gray
Micro: the congestion in alveolar capillaries subside,The alveolar lumen contain large number of polymorphs, fibrin & macrophages

Lobar Pneumonia: Gray Hepatization

Respiratory  System

Lobar Pneumonia (cont)

Stage 4: Resolution,
Gross: The affected lobe return to its normal appearance
Micro: the inflammatory exudate is liquefied & removed by expectoration ,& by lymphatic
The alveoli return normal with out residual defect

Clinical picture of Pneumonia

Fever , shivering with cough and rusty sputum
Chest pain from involvement of pleura (pleurisy) .
Bronchial breathing &sometime pleural rub.
Chest x-ray show consolidated lob.


Complications of Lobar Pneumonia
• 1. Organization
• 2. Pleurisy & pleural effusion
• 3. Empyema
• 4. Lung abscess
• 5. Septicemia
• 6. Cardiac complications

Bronchopneumonia

Patchy consolidation centered around inflamed bronchi & bronchiole. Multifocal & may be bilateral.
Predisposing factors:
1. Both extreme of age
2, Debilitating disease
3. Pre existing respiratory diseases e.g. chronic bronchitis , emphysema, measles , influenza

Compare Lobar & Bronchopneumonia

Respiratory  System

Pathology of Bronchopneumonia

Gross: Lesions are multiple & may be bilateral, affect basal segments of lower lobes.

Micro: Acute inflammation of bronchi ,extend to involve surrounding alveoli which become consolidated. May involve the pleura
Clinically: Fever cough sputum dyspnea


Complication of Bronchopneumonia
1. Organization & lung fibrosis.
Resolution is unusual in bronchopneumonia
2.Damage of bronchial wall predisposing to bronchiectasis
3. Lung abscess
4, Empyema


Respiratory  System

Obstructive Pulmonary Disease

Diffuse pulmonary disease having increased resistance to air flow due to partial or complete obstruction at any level ,not fully reversible e,g. Chronic bronchitis, emphysema, asthma bronchiectasis.
Cf. Restrictive pulmonary diseases which is failure of the lung to expand .
It is due to:
Chest wall lesions .
Infiltrative lesions of lung tissue

Chronic Obstructive Pulmonary Disease (COPD)

A clinical term include:
1.Emphysema
2. Chronic bronchitis
3. Asthma
4. Bronchiectasis


Emphysema
Permanent increase in the size of air spaces distal to the terminal bronchioles due to dilatation or destruction of the their wall with little or no fibrosis
Where is the obstruction?
A. lack of elastic recoil
B. goblet cell hyperplasia & mucus plug
C. inflammatory edema
D, muscle hypertrophy

Pathogenesis of Emphysema

1. Air born factors e.g smoke, coal dust :
Accumulation of dust in & around the wall of respiratory bronchiole lead to destruction of their wall and dilatation under the pressure of inspired air leading to focal dust emphysema.
Smoke: produce free radicles , inactivate antitrypsin, increase neutrophil elastase
2. Hereditary factors: e.g. deficiency of α- antitrypsin leading to destruction of lung tissue and lead to panacinar emphysema

Pathogenesis of Emphysema (cont)

α-antitrypsin present normally in the serum prevents digestion of lung tissue by proteolytic enzyme released from WBC and alveolar macrophages.
Absence of this enzyme allow digestion of lung tissue leading to panacinar emphysema

Classification of Emphysema

Depending on the microanatomy of the respiratory acinus :
1. Bronchiolar emphysema :Include
a. Focal dust emphysema
b. Centrilobular emphysema (most common 95% of the cases)
2. Alveolar emphysema: Include
a. Alveolar duct emphysema
b. Panacinar emphysema


Respiratory Acinus
Respiratory  System

Pathology of Emphysema

Gross: The lung is voluminous , pits on pressure due to lack of elasticity. A dilated air space may become cystic and project on the surface forming what is called emphysematous bullies
Clinically the patient have barrel shape chest
Chest x-ray show the diaphragm is lowered and the anterior surface of the heart is covered

Emphysema Pathology (cont)

In bronchiolar Emphysema:The proximal part of the respiratory acinus is involved by dilatation (i.e. the respiratory bronchiole)
In Alveolar Emphysema : The alveoli &alveolar duct are involved to begin with , later on the entire acinus is involved ( panacinar).

Gross appearance of emphysema

Respiratory  System

Emphysematous Bullae

Respiratory  System





Respiratory  System




Respiratory  System

Coal dust Emphysema

Respiratory  System

Clinically

About 1/3 of lung tissue is destroyed before symptom appears,
Dyspnea , cough & sometime wheezes weight loss, Barrel chest.
Respiratory failure, core pulmonale due to pulmonary hypertension
On examination
X-ray finding
Respirator function test show low FEV1

Interstitial Emphysema

Presence of air in the interstitial tissue of the lung due to:
1. Laceration of lung tissue by trauma
2. Rupture of alveolar wall by severe cough


Compensatory Emphysema
Over distention of air spaces due to collapse or resection of lung tissue.

Chronic bronchitis

Definition: Chronic inflammation of the bronchial tree with cough and productive sputum for a period of at least 3 months in two successive years
More common in male
Causes respiratory disability

Chronic bronchitis: Aetiology

Chronic irritation of the bronchial epithelium by cigarette smoke & air pollutant
Bacterial infection

Chronic bronchitis: Pathogenesis

Chronic irritation lead to hypertrophy & hyperplasia of the mucus glands & goblet cells in the bronchial wall leading to excessive mucus production.In typical chronic bronchitis inflammation is not important.
Reid Index: The ratio of thickness of mucus gland layer to thickness of bronchial wall (normally 0.4)

Chronic bronchitis: Complications

Bronchopneumonia: excessive secretion predispose for infection
Emphysema
Respiratory failure :due to obstruction of bronchi by mucus ---- low ventilation lead to type II respiratory failure
Right sided heart failure


Bronchial Asthma
Chronic inflammatory condition of the air passages characterized by recurrent attacks of:
dyspnea Wheezing Cough Feeling of tightness in the chest
status asthmaticus
Severe & prolonged attack is called

Bronchial Asthma Etiology :( cont )

Hereditary factors
Allergy : The allergen may be inhaled as pollen, ingested as protein or injected as drugs
Psychological factors

Pathogenesis of Bronchial Asthma

These symptom are due to narrowing of the bronchial lumen ( bronchospasm) due to the muscular spasm and plugging of the lumen by thick mucus
According to β-adrenergic theory asthma is due to inherited or acquired deficiency of adenyl cyclase which is the β-receptor for catecholamine as a result of this deficiency there is activation of α-receptors that induce bronchospasm
Various inflammatory stimuli and variety of cells ( eosinophils , mast cells ,macrophages ) are involved in the pathogenesis of asthma

β

Bronchial Asthma ( cont)

Bronchial Asthma should be distinguished from cardiac asthma which is due to left sided heart failure


Types of asthma
asthma has many predisposing factors and variety of clinical presentation that make classification so difficult .
One of these classification is :
Extrinsic asthma
Intrinsic asthma

Types of Bronchial Asthma

Extrinsic asthma:
Usually start in chilhood , due to atopic hypersensitivity to allergen mediated by IgE
IgE is fixed to mast cells, so inhalation of the allergen lead to Ag Ab reaction & release of broncho constrictor substances from mast cells leading to bronchospasm.
Triggering allergen include pollen , drugs etc
Family history and skin test are usually positive.

Types of Bronchial Asthma

Intrinsic Asthma:
Usually develop in adulthood without history of atopic hypersensitivity (due to non immune causes e.g. viral infection ).
Hyperirritability of the bronchial tree is the underlying cause.
Family history and skin tests are usually negative

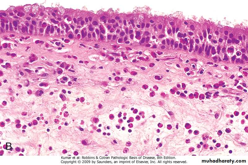
Bronchial Asthma : Pathology

Gross: The lung are overinflated
Microscopical:
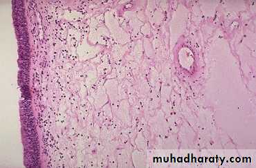
1.The lumen of the bronchi and bronchiole contain thick mucus plug (containing whorls of epithelium called curschmann spirals),charcot leyden crystals and eosinophils
2. The basement membrane shows characteristic hyaline thickening
3. The submucosa shows congestion . edema and infiltration by eosinophils & mast cells
4. The bronchial muscle are hypertrophied


Bronchial mucosa in Asthma

Respiratory  System

Bronchial Asthma Mucus Plug

Respiratory  System




Respiratory  System

Bronchial Asthma Complications

1. Emphysema
2. Respiratory infections

Bronchiectasis

Abnormal and permanent dilatation of the bronchi .
It is common and affects all age group characterized by cough with large amount of foul odor sputum. Hemoptysis


Etiology of Bronchiectasis
• 1. Infections : e.g. T.B, Whooping cough
• 2. Bronchial Obstruction: Foreign body ,tumor
• 3. Fibrocystic disease of the pancreas
• 4. Congenital abnormality of the cilia (Kartageners syndrome)

Sequence of events in Bronchiectasis

Obstruction → Resorption of air →
accumulation of secretions & stasis → infection which damage the wall of the bronchi→ Dilatation by intraluminal pressure or traction by the negative pressure of the pleura

Bronchiectasis :Pathology

Gross:It may affects any part of the lung but the basal segments are commonly involved

The dilatation may be Cylindrical (involve all the circumference ) or Sacular (involve part of the circumferences),
Bronchogram demonstrate the dilatation nicely

Grossly: Bronchiectasis

Respiratory  System




Bronchiectasis :Pathology
Microscopically: The affected bronchi show:
Dilatation of the lumen which contain pus
Ulceration of the mucosa and squamous metaplsia
Destruction of muscle and elastic fibers

Microscopical: Bronchiectasis

Respiratory  System

Bronchiectasis :Complications

1.Pneumonia and lung abscess
2.Pleurisy and empyema
3.Pyaemia with metastatic abscess
4. Destruction of lung tissue leading to right sided heart failure
5. In long standing cases Amyloidosis

Restrictive Lung Diseases

Reduced expansion of lung parenchyma so total lung capacity is reduced (cf obstructive lung diseases FV1 is reduced) Include:
Chest wall disease e.g. polio, obesity, pleural diseases.
Chronic interstitial and infiltrative diseases e.g. pneumoconiosis,
interstitial fibrosis , sarcoidosis ,immunological diseases


Pneumoconiosis
Group of lung diseases caused by inhalation of dust.
The type of disease depends on the type of dust. Some dust are inert causes little or no damage, other cause severe destruction & fibrosis of the lung. Some induce immunological reaction. Some predispose to T.B or malignancy.

Factors that determine the severity of lung disease in pneumoconiosis

1. Physical state of the dust: 1-5 M reach alveoli. Larger one removed by bronchi
2. Chemical composition
3. Concentration of dust
4. Duration of exposure
5. possible presence of other particles

Classification of pneumoconiosis

1.pneumoconiosis due to inhalation of inorganic dust e.g. Anthracosis, coal worker pneumoconiosis, silicosis, Asbestosis, berylliosis

2. Pneumoconiosis due to inhalation of organic dust e.g. Byssinosis ,Extrinsic allergic alveolitis

Anthracosis

Black discoloration of the lung due to inhalation of carbon .
Carbon particles are inert so there will be no significant effect on the lung, Lung function is normal

Coal worker pneumoconiosis

Lung fibrosis due to inhalation of coal dust in coal worker
It cause fibrosis of the lung and focal duct emphysema .Two type recognized:
1.Simple coal worker pneumoconiosis. Characterized by small nodules of fibrosis 2-5mm
2. Progressive massive fibrosis. Characterized by large nodules more than 10 mm.. Associated silica particles may play a role in this type


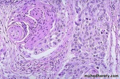
Silicosis
Lung fibrosis due to inhalation of silica containing particles e.g miner of gold and iron
Silica produce collagenous fibrous tissue in concentric laminated layers (silicotic nodule) due to formation of silicic acid or due to immunological mechanism
Silica particle may be carried to the regional lymph node leading to enlargement and fibrosis of the lymph node

Effect of silicosis

1. Fibrosis of the lung → pulmonary hypertension → Right sided heart failure
2. Tuberculosis coexist in 80% of the cases due to depression of cell mediated immunity Silica inhibit alveolar macrophage to destroy phagocytosed T.B. bacilli

Silicotic nodules

Respiratory  System

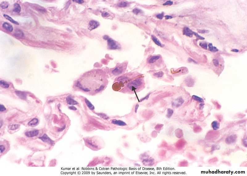
Asbestosis

Lung fibrosis due to inhalation of asbestos fibers
Small fibers are ingested by macrophage which release fiberogenic substances
Long fibers cannot be ingested but surrounded by iron rich protienaceous material producing asbestos bodies (golden brown bodies )

Pathology of asbestosis

Gross:
Localized pleural thickening (plaque)
Diffuse pleural thickening
Pleural effusion
Diffues lung fibrosis (Asbestosis)
Brochogenic carcinoma & Mesothelioma
Micro : Dense fibrosis around asbestose bodies


Asbestos body
Respiratory  System

Asbestos body, iron stain

Respiratory  System

Effects of asbestosis

1. Lung fibrosis and right sided heart failure

2. Increased incidence of bronchial carcinoma and mesothelioma (pleural and pereitoneal)

Pulmonary siderosis

Lung fibrosis due to inhalation of iron
Occur in haematite minors
Predispose to malignancy

Pneumoconiosis due to organic dust

Byssinosis: Inhalation of cotton dust lead to:
chronic bronchitis , asthma , emphysema
Extrinsic allergic alveolitis:
Inhalation of organic materials like fungi, bird dropping and mould which act as antigen and react with circulating antibody ( Arthus reaction) cause lung damage


The Pleura
Acute pleurisy:
Acute inflammation of pleura. It may due to :
Secondary to lung infection,
Sub diaphragmatic lesion
Perforating chest wall injury
Clinically: chest pain, fever,

Pleural effusion: collection of fluid in the pleural cavity.(hydrothorax) It may lead to collapse of the lung and interfere with respiration


Respiratory  System

Pleural effusion (cont)

Pleural effusion may be:
Transudate pleural effusion :is due to :
1.Heart failure: due to increase hydrostatic pressure in pulmonary veins
2. Hypoproteinaemia due to renal or liver diseases leading to decreased oncotic pressure
3. Meg syndrome : ovarian fibroma associated with right sided pleural effusion

Pleural effusion(cont)

Exudative pleural effusion:
1. Infections e.g. T.B. Pneumonia .
2. Systemic diseases e.g. Uraemia
3. Lymphatic obstruction by tumor cells
4. Malignant effusion



Respiratory  System

Empyema

Collection of pus in the pleural cavity
Causes: spread of infection from lung, subdiaphramatic infection, blood born, trauma, from rupture esophagus

Effect:

pressure collapse of lung.
Organization preventing lung from expansion

Haemothorax

Collection of blood in pleural cavity
Causes:
1. Trauma , surgery
2. Ruptured aortic aneurysm

Effect: pressure collapse of lung

Pneumothorax
Presence of air in pleural cavity
Causes:
Spontaneous pneumothorax as a result of ruptured emphysematous bulle
Traumatic:
perforating wound, or during aspiration of pleural fluid ,
Therapeutic.


Effect: Pressure collapse of lung . Usually the air is absorbed if the defect is sealed.

Hdropneumothorax

Pleural effusion and pneumothorax : this is seen when there is bronchopleural fistulla

Tension Pneumothorax

A valve like connection between pleural cavity and the lung lesion which allow air to enter the pleura during inspiration and prevents its escape during expiration this Lead to a rise in the intrapleural pressure leading to collapse of the lung & shift of mediastinum to the other side. It is serious condition cause severe respiratory distress
Treatment by chest tube

Tumors of pleura

1. Primary tumors:
Malignant Mesothelioma arises from mesothelial cells.
Macroscopically: Form whitish mass compressing the lung. Asbestosis is a predisposing factor
Microscopically: it may have carcinomatous or sarcomatous appearace,
2. Secondary tumours:
More common, commonly from breast , bronchus. Usually present as haemorrhagic pleural effusion

Lung tumors

Primary tumours :
Carcinoma 90-95%
Carcinoid 5%
Sarcoma and others 2-5 %
Secondary tumours:
The lung is a common sites for secodaries from many organs e.g. breast,GIT,ovaries ,bone etc.



Respiratory  System

Bronchogenic carcinoma

A common cancer, In 2008 there was 215020 cases of brochogenic carcinoma in USA. The incidence is rising (cf in 1950 there was only 18000cases ).It is more common in male.
Age incidence 50-70 Y
Present with cough sputum haemoptysis .In late stages with secondaries
abscess, bronchpneumonia, not responding to treatment
Chest x-ray show shadow in the lung

Etiology of bronchogenic carcinoma

Genetic abnormality that transform benign epithelium to neoplastic tissue
Risk factors:
1. Smoking: Smoker have 10 time greater risk than nonsmoker. Benzpyrene is the carcinogenic substance
2, Radioactive substances e.g. Radium
3. Atmospheric pollution e.g.industrial fumes
4. occupational hazards e.g. asbestose

Etiology of lung cancer @@

Most lung cancer arises by stepwise accumullation of genetic abnormalities that transform benign bronchial epith to neoplastic one


Cont @@
1.Tobacco smoking: there is statistical and clinical obserevation establishing a positive relationship between lung cancer and smoking
Statistical evidence:87% of lung cancer affect active smokers & this depends on:
Daily smoke
Tendency to inhale
Duration of smoking

Cont @@@

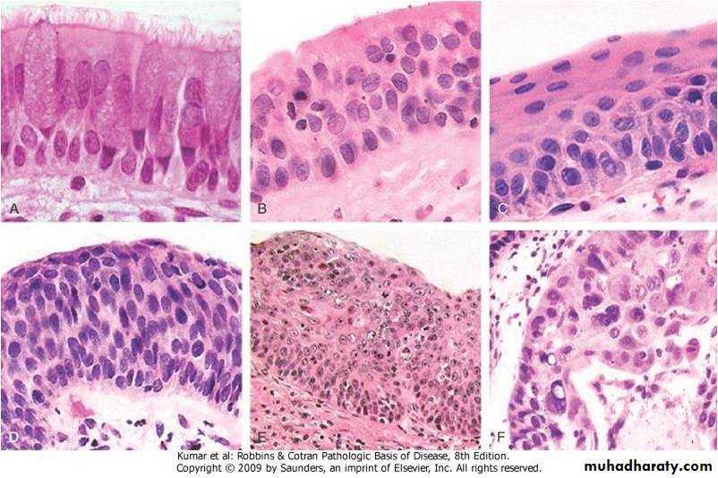
Clinical evidence:obtained from observation of histological changes in bronchial epithelium in smokers . There is sequential changes leading to squamous cell carcinoma

Pathology of bronchogenic carcinoma

Site:
1.Central 55% arises from main bronchus
2. Perpheral 40 % arises from small bronchi and bronchiole
Diffuse 5%

Pathology of bronchogenic carcinoma (cont)

Histopathological classification:
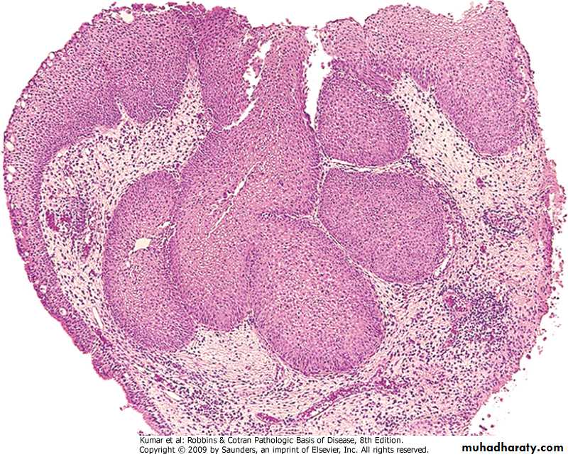
1. Squamous cell carcinoma ; arises from squamous metaplastic epithelium---dysplasia---carcinoma in situ---invasive carcinoma.
It is usually poorly differentiated


Bronchogenic carcinoma
Respiratory  System

Sequence of changes in bronchial epithelium

Respiratory  System

Squamous cell carcinoma of bronchus

Respiratory  System

Pathology of bronchogenic carcinoma (cont)

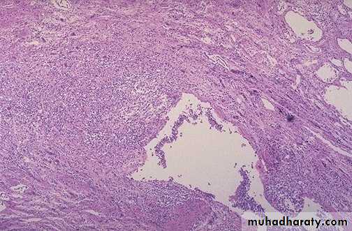
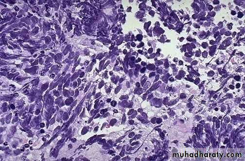
2,Oat cell carcinoma : Arises from neuroendocrine cells in the bronchial mucosa . Consist of small hyperchromatic cells similar to aot seeds. Arranges in sheets
By E/M the cells contain neurosecretory granules

Oat cell carcinoma -Bronchus

Respiratory  System

Oat cell carcinoma -Bronchus

Respiratory  System


Pathology of bronchogenic carcinoma (cont)

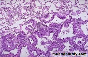
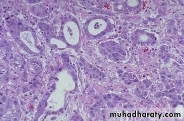
3 ,Adenocarcinoma : Arises from mucus gland in the bronchial mucosa, Consist of malignant glands with mucus secretion
4.Broncho alveolar carcinoma: A form of adenocarcinoma arises from terminal bronchoalveolar region It grows on preexisting structure (alveolar wall) without its destruction

Pathology of bronchogenic carcinoma (cont)

5,Large cell carcinoma: Undifferentiated carcinoma consist of large hyperchromatic cells with some giant malignant cells.It is probably of squamous or adeno carcinoma that is so undifferentiated to know the histogenesis

Adenocarcinoma -Bronchus

Respiratory  System

Adenocarcinoma -Bronchus

Respiratory  System

Bronchoalveolar carcinoma

Respiratory  System

Large Cell Carcinoma of Bronchus

Respiratory  System


Spread of bronchogenic carcinoma

1.Direct spread: to pleura, pericardium,
Esophagus, left recurrent laryngeal nerve. Tumor at the apex may involve brachial plexus causing pain and muscle atrophy
Involving the cervical sympathetic chain leading to Horner syndrome ( contracted pupil , ptoses & ipsilateral facial anhydrosis)

Spread of bronchogenic carcinoma (cont)

2. Lymphatic spread: To the hilar trachiobronchial , mediastinal supraclavicular lymph node leading to enlargment of the lymph node ( lymphadeno pathy)

Spread of bronchogenic carcinoma (cont)

3.Blood spread: to the liver .bone. Adrenal brain etc

Paramalignant syndrome in bronchogenic carcinoma

Effects ocure in patients with bronchogenic carcinoma which is neither due to the primary tumour nor to the secondary.But probably due to substances secreted by the tumor

It may be:

1.Endocrine syndrome
2,Neurological syndrome

Paramalignant syndrome in bronchogenic carcinoma (cont)

1.Endocrine syndrome :
a. Cushing syndrome: oat cell carcinoma secrete ACTH
b. Secretion of ADH by oat cell lead to water retention and brain edema
c. Hypercalcaemia due to secretion of parathyroid like hormone by squamus cell carcinoma


Paramalignant syndrome in bronchogenic carcinoma (cont)
2,Neurological syndrome:
a. peripheral neuropathy,
b. encephalopathy
c. myopathy
3. Dermatomyocytis
4. Pulmonary osteoarthropathy with clubbing of fingers

Diagnosis of bronchogenic carcinoma

History, Clinical examination
Sputum cytology
Bronchoscopic biopsy
Percutaneous fine needle aspiration
Open biopsy
Scalene lymph node aspiration & biopsy

Prognosis of Bronchogenic carcinoma

It is poor. The overall 5 year survival rate is 16%.

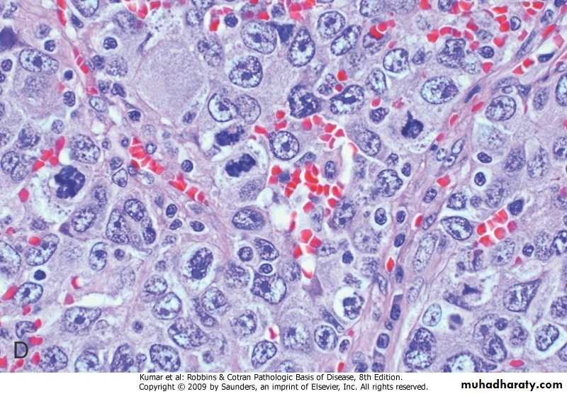
Carcinoid tumor

Low grade malignant tumor
Affect younger age group than carcinoma
Both sexes are affected equally
It form a nodule may be central or peripheral
It can metastasize
May produce vasoactive amines leading to carcinoid syndrome
Histologically consist of uniform cells


Bronchial carcinoid
Respiratory  System

Bronchial carcinoid

Respiratory  System

Lung Hamartoma

Lung hamartoma form mass few cm in diameter , discovered by routine chest x-ray
Consist of mixture of lung tissue (cartillage. Glands.fibrous tissue epithelial tissue) in disorganized pattern


Respiratory  System




Respiratory  System

Secondary tumors in the lung

The lung is a common site of secodary's due to the high blood supply.
Secondaries reach the lung by blood from GIT, Female G.T., bone breast giving rise to cannon ball metastasis etc
By lymphatics from breast



رفعت المحاضرة من قبل: Abdalmalik Abdullateef
المشاهدات: لقد قام 74 عضواً و 530 زائراً بقراءة هذه المحاضرة








تسجيل دخول

أو
عبر الحساب الاعتيادي
الرجاء كتابة البريد الالكتروني بشكل صحيح
الرجاء كتابة كلمة المرور
لست عضواً في موقع محاضراتي؟
اضغط هنا للتسجيل