قراءة
عرض

Bacteroides, Tannerella,Porphyromonas andPrevotella

Dr. salwa Hachim
3-2014

The genera described

obligatory anaerobic,
short Gram-negative rods or coccobacilli.
Historically only the Bacteroides genus was known, but the application of new taxonomic techniques has resulted in the definition of three additional genera:
Tannerella, Porphyromonas and Prevotella.
Together they comprise a substantial proportion of the microflora of the dental plaque, intestine and the female genital tract.

Bacteroides spp. are mainly restricted to species found predominantly in the gut and are the most common agents of serious anaerobic infections; B. fragilis is the main pathogen.
Tannerella spp. are black pigmented, anaerobic rods, strongly implicated as a major pathogen of periodontal disease. T. forsythia is frequently isolated with P. gingivalis indicating an ecological relationship between them.

Porphyromonas spp. are asaccharolytic pigmented species and form part of the normal oral flora. They are agents of periodontal disease and considered as periodontopathic organisms.
Prevotella spp. include saccharolytic oral and genitourinary species; some species are periodontopathic.

● Collectively, Tannerella, Porphyromonas and Prevotella species are referred to as black-pigmented anaerobes, as some organisms from these genera form a characteristic brown or black pigment on blood agar.


Bacteroides fragilis
Habitat and transmission
Bacteroides species are the most predominant flora in the intestine (1011 cells per gram of faeces).

Bacteroides fragilis

Characteristics
Strictly anaerobic, Gram-negative, non-motile, non-spore forming bacilli, but may appear pleomorphic.
The polysaccharide capsule is an important virulence factor.

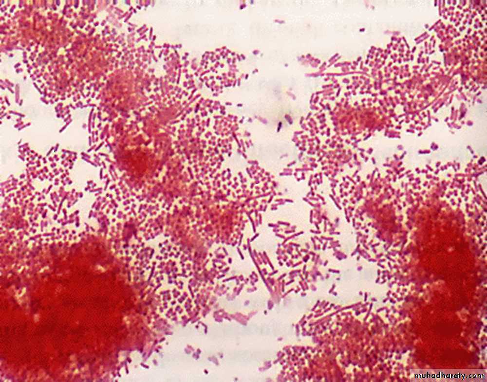
Bacteroides Gram Stain

bacteriode

Bacteroides fragilis

Culture and identification
These organisms have stringent growth requirements; they demonstrate slow growth on blood agar and appear as grey to opaque, translucent colonies. They grow well in Robertson's cooked meat medium supplemented with yeast extract.
Identified by biochemical tests, growth inhibition by bile salts, antibiotic resistance tests and gas-liquid chromatographic analysis of fatty acid, end-products of glucose metabolism.

Bacteroides Virulence Factors

• Polysacchride capsule
• Lipopolysacchride
• Agglutinins
• Histolic enzymes
• Oxygen tolerance
• B- Lactamase


Bacteroides fragilis
Pathogenicity
Mainly the result of its endotoxin and proteases. No exotoxin has been reported. many Bacteroides infections are polymicrobial in nature (such as coliforms, are commonly associated with sepsis).
They cause serious anaerobic infections such as intra-abdominal sepsis, peritonitis, liver and brain abscesses, and wound infection.

B. fragilis

bacteriode


bacteriode

Bacteroides fragilis

Treatment and prevention
Sensitive to metronidazole and clindamycin.
Resistant to penicillins, first-generation cephalosporins and aminoglycosides. Penicillin resistance is due to B-lactamase production.
As Bacteroides spp. are normal gut commensals, infections are endogenous and diseases are virtually impossible to prevent.

TANNERELLA (T.forsythia)

Habitat and transmission
Both supragingival and subgingival sites but more common in the latter; the degree of isolation strongly related to increasing pocket depth and, increasingly,
Considered a consensus periodontal pathogen.


Characteristics
Non-motile, pleomorphic, spindle-shaped Gram-negative rods, Anaerobic Rod

Porphyromonas

Porphyromonas gingivalis
Habitat and transmission
Found almost solely at subgingival sites, particularly in advanced periodontal disease: considered a consensus periodontal pathogen. Sometimes recovered from the tongue and tonsils.
Characteristics
Non-motile, asaccharolytic, short, pleomorphic, Gram-negative coccobacilli.

Culture and identification

Grows anaerobically, with dark pigmentation, on media containing lysed blood identified by biochemical
Characteristics
using commercially available kits
DNA and molecular probes are now used to identify these organisms directly from plaque samples.

Pathogenicity

An aggressive periodontal pathogen in both humans and animals.
virulence factors including:
fimbriae mediate adhesion and the capsule defends against phagocytosis.
Produces a range of collagenase, endotoxin, fibrinolysin, phospholipase A, many proteases that destroy
immunoglobulins, gingipain, a fibroblast-inhibitory factor, complement and haem-sequestering proteins and a haemolysin


PREVOTELLAE

PREVOTELLAE

This genus includes a number of pigmented as well as non-pigmented species that are saccharolytic; all produce acetic and succinic acid from glucose.

Prevotella spp.

Habitat and transmission
The predominant ecological niche of all Prevotella species appears to be the human oral cavity. Strains of P. intermedia are associated more with periodontal disease, while P. nigrescens is isolated more often from healthy gingival sites.

Prevotella

Culture and identification

Non-motile, short, round-ended, Gram-negative rods; brownblack colonies on blood agar (when pigmented). Molecular techniques are required to differentiate some species.

Prevotella

Pathogenicity
Prevotella intermedia is closely associated with periodontal disease and shares a number of virulence properties exhibited by P. gingivalis.
Oral non-pigmented species such as P. buccae, P. oralis and P. dentalis are isolated from healthy subgingival plaque, and increase in numbers and proportions during periodontal disease.


bacteriode



Thank you



رفعت المحاضرة من قبل: عبدالله مهدي صالح الحيالي
المشاهدات: لقد قام 18 عضواً و 337 زائراً بقراءة هذه المحاضرة








تسجيل دخول

أو
عبر الحساب الاعتيادي
الرجاء كتابة البريد الالكتروني بشكل صحيح
الرجاء كتابة كلمة المرور
لست عضواً في موقع محاضراتي؟
اضغط هنا للتسجيل