قراءة
عرض

Peritoneal and retroperitoneum

Dr. khaleel ibraheem

Peritoneal cavity

Peritoneal cavity and retroperitoneal

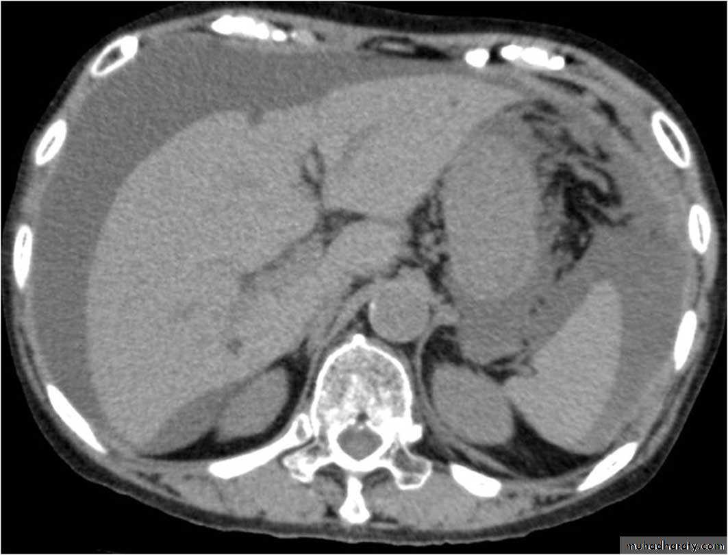
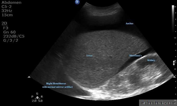
Ascites

Peritoneal cavity and retroperitoneal


Peritoneal cavity and retroperitoneal

Ascites

Peritoneal cavity and retroperitoneal

Peritoneal tumours

Peritoneal cavity and retroperitoneal


Abscesses

Peritoneal cavity and retroperitoneal



Peritoneal cavity and retroperitoneal

Retroperitonium

Peritoneal cavity and retroperitoneal

K: kidney

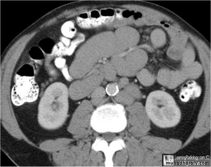
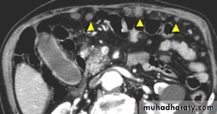
Lymphadenopathy
Peritoneal cavity and retroperitoneal


Peritoneal cavity and retroperitoneal

Adrenal calcification

Peritoneal cavity and retroperitoneal


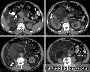
Adrenal masses

Peritoneal cavity and retroperitoneal

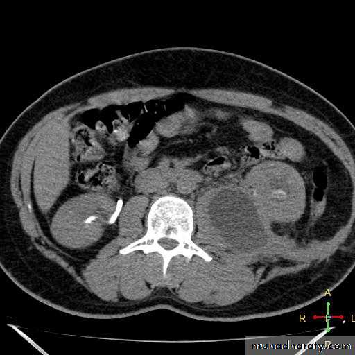
Retroperitoneal tumor

Peritoneal cavity and retroperitoneal

Retroperit abscess

Peritoneal cavity and retroperitoneal





رفعت المحاضرة من قبل: AyA Abdulkareem
المشاهدات: لقد قام 46 عضواً و 249 زائراً بقراءة هذه المحاضرة








تسجيل دخول

أو
عبر الحساب الاعتيادي
الرجاء كتابة البريد الالكتروني بشكل صحيح
الرجاء كتابة كلمة المرور
لست عضواً في موقع محاضراتي؟
اضغط هنا للتسجيل