Infection of bones & joints
Ass. Prof. Zaid W.Al-Shahwanii Consultant Orth. Surgeon2014
Infection of bones and joints is associated with considerable morbidity, and can be a challenging to treat. The principles & goals of treatment are;-
1) Prompt diagnosis.
2) Aggressive eradication of infection. Using appropriate antibiotic &surgical debridement.
3) Restoration of function
Routes of infection:-
Micro-organisms may reach the musculoskeletal tissues by• direct introduction through the skin (a pinprick, an injection, a stab wound, a laceration, an open fracture or an operation),
• direct spread from a contiguous focus of infection,
• indirect spread via the blood stream from a distant site such as the nose or mouth, the respiratory tract, the bowel or the genitourinary tract.
The clinical picture of infection results from inoculation of microorganisms in bone and joint tissues and, the interaction of microorganisms with host environment.
The occurrence & severity of infection
and this depends on:A) The virulence of the microorganism defined as the ability of the organism to overcome the host defenses and cause infection it varies among organism species eg .staph aures which produce certin toxin plus the presences of biofilm protein . (Staphylococcus aureus ) (found in over 70% ofcases), In Latin . coccus = spherical bacterium, aureus = golden) or golden staph is the most common species of staphylococcus bacteria causing infections in human.
B) Host response:
Local host factors, that facilitate infection and they include:Reduced vascularity. Peripheral N. Neuropathy. Trauma. Presence of implants.
Systemic factors:
That may reduce the ability of the immune system to respond to a pathogen, and they include: Age (very young and very old). Renal and liver diseases. Malignancies. Diabetes mellitus. Alcoholism. Malnutrition. Rheumatological disorders.
Immunocompromised conditions like ,(AIDS) , receiving immunosuppressive drugs. Intravenous drug users.
C) Site of infection
---------------------------------------------------------------------------------
This will lead to Two types of B. infection 1) Pyogenic osteomyelitis or arthritis.
And this can be: Acute. Subacute. Chronic. 2 )Chronic specific granulomatous reaction
(eg. tuberculosis).
Acute Hematogenous Osteomyelitis:
Incidence;
almost invariably seen in children , Males > females. Mainly lower limb affected more. Adults may also be affected and that is because of lower host resistance (debilitation, disease or drugs eg cyto toxic ,or steroid ).
Bacteriology:
The causative organisms:
Usually and most common is staphylococcus aureus.
Haemophilus influenza, Group B streptococcus and sometimes gram –ve pathogens in younger children and in neonates. Salmonella in patients with sickle-cell anemia. Mixed or unusual infection (fungus) in intravenous drug users and in immuno -suppresed patient.
In Heamatogenous Osteomyelitis the microorganisms spread through the vascular system into the osseous tissue producing secondary focus of infection
Site of infection In children
The microorganisms usually settlein the metaphysis of the growing end
of the long bone as proximal & distal
femur,, proximal tibia ; possibly bec’
the non anastomizing terminal
branches of the nutrient artery twisting back in hair-pin loops before entering the large network of sinusoidal veins; the relative vascular stasis & consequent lowered oxygen tension are believed to favor bacterial colonization.In infants, in whom there are still anastomoses between metaphyseal and epiphyseal blood vessels, infection can also reach the epiphysis. While in adults, the infection appears almost anywhere.
Pathology ;- inflammation, suppuration ,bone necrosis, reactive new bone formation & finally resolution & healing or change to chronic inf. 1) Inflammation: vascular congestion, exudation of fluid and infiltration by polymorphonuclear leucocytes. The Intra -osseous pressure rises rapidly, causing intense pain, obstruction to blood flow and intravascular thrombosis with high risk of impending ischaemia and resorption due to a combination of phagocytic activity and the local accumulation of cytokines, growth factors, prostaglandin & bacterial enzyme
Pathology;_ 2) Suppuration
.
By the second day pus appears in the medulla and forces its way along the Volkmann's canals of the metaphyseal bone to the surface where it forms a subperiosteal abscess From the subperiosteal abscess pus can spread along the shaft, to re-enter the bone at another level or burst into the surrounding soft tissues.
2) Suppuration
where the metaphysis is partly intra-capsular (e.g. at the hip, shoulder or elbow) pus may discharge through the periosteum into the joint.In infants, the infection often extends into the epiphysis & then into the joint, ..while in older children the epiphyseal plate (physis) acts as a barrier to the direct spread. .
pathology
• 3)Necrosis The rising intraosseous pressure, the vascular stasis, infected thrombosis &periosteal stripping , will increasingly compromise the blood supply, & by end of the week there is evidence of necrosis, Pieces of bone separate sequestrum (sequestrum : means dead bone fragment) which later on acts as a foreign body causing persistent purulent discharge through a sinus.•
• 4) New bone formation:
• New bone forms from the deep layers• of the periosteum, and with time the
• new bone thickens to form involucrum enclosing the infected tissue & sequestra., ,If the infection persists pus
• may discharge through perforations
• (cloacae) in the involucrum and tract
• by sinuses to skin surface (the condition now is established as
• ( chronic osteomyelitis)
• 5) Resolution:
• If infection is controlled & intraosseous
• pressure is release , ,the bone will heal although it may remain thickened.
involucrum
sequestrumClinical features
Patient usually is a child presents with pain, malaise and , in neglected cases there may be toxemia..Sometimes there is a history of sore throat, skin lesion or trauma.On examination:
The limb held immobile ,Local tenderness near one of the joints. …Joints movement is restricted and painful
Local tenderness, swelling, warmth and oedema are late signs and signify presence of pus.
In infants (especially newborn) the constitutional disturbance can be absent or mild; the baby fails to thrive, drowsy but irritable
Imaging: X-Ray:
For the first 10 days no bone abnormalities, only soft tissue swelling. Later there is rarefaction of the metaphysis and periosteal new bone formation. With healing there is sclerosis. Sometimes there are sequestra separates from the surrounding bone by radiolucent line.Bone scintography: Shows osteoblastic activity, it is used for. Localization of pathologic process to anatomic area at earlier stage. Also useful for finding out polyostotic lesions especially in neonate
MRI: Detect marrow changes secondary to infection at early stage & help in evaluation of potential spread of infection to adjacent bone or joint.
Laboratory investigations: Elevated ESR… Elevated C-reactive protein.(Both are markers of acute phase response.)(In addition C-reactive protein (CRP) is used as monitor for response to treatment.)
Raised WBC count with polymorphonuclear .
Blood culture: may be positive here, blood must be taken before the start with antibiotic therapy. Aspiration from the site of infection specimen is sent for gram-stain and for culture (also it should be done before antibiotic therapy).
Differential diagnosis
1)Acute rheumatism.There is pain, swelling, localized tenderness; but the onset is gradual pain less acute and swelling confound to a joint.
2)Erysipelas.
Because redness of the skin but there is less pain and general toxaemia .The margin of the red area is raised.
3)Haemophilia.
Muscle bleed or Bleeding into a joint produce marked local pain and tenderness with general malaise and fever..
4)Cellulitis.
In the region of the metaphysis. In pure cellulitis there is no intense pain and general malaise is less.
5)Acute pyogenic arthritis.
Manifestation in the joint is more ,,spasm of muscle is more marked, joint movement are more limited, effusion is earlier than in osteomyelitis.
6) Ewing’s tumour or osteosarcoma.
Much less intense general illness, little inflammatory reaction ,,Radiological signs are obvious and earlier than osteomyelitis
Treatment:General ;- Complete bed rest, rehydration, sedation and analgesia and
Antibiotics:
Should be started immediately and not waiting for the result of culture and aspirate. ..The selection of appropriate antibiotics is dependant on the knowledge of the microbiology of the bone and joint infection
The initial treatment for old children. And previously fit adult who probably have staphylococcal infection are started on intravenous flucloxacillin and fusidic acid. (this may have to be changed when the result of sensitivity tests are known) ..This treatment is to be continued until there is clinical and laboratory evidence of improvement usually 1-2 weeks then this is followed by oral antibiotics for another 3-6 weeks.
In children under age of 4 years (who might have a high incidence of haemmophilus influenza infection) or any other gram negative organism seen in the direct gram stain smear, it is advisable to give one of the cephalosporins new generation
. (Claforan generic name: cefotaxime )
Local treatment.
Splintage and traction.A splint is desirable, but it should not conceal the affected
area. With acute osteomyelitis of upper femur: traction is
needed to prevent possible hip dislocation.
Drainage.
If antibiotics are given early surgery for drainage is not necessary but surgery is indicated: A) If pyrexia and local tenderness persist for more than 24 hours after adequate antibiotics. B) Subperiosteal abscess.,,Overlying oedema is useful sign..Pus should be evacuated surgically. This will also allow the organism to be identified
• Complications:
• 1) Spread.
• Infection may spread to Joint (septic arthritis)..or Other bones (metastatic osteomyelitis)…..
2) Growth disturbance: if the physis damaged there may be shortening or deformity.
• 3) Persistent infection Treatment of acute osteomyelitis must be prompt and effective ‘too little, too late’ treatment may result in chronic osteomyelitis.
•
• Post traumatic and post operative osteomyelitis.
• 1)Post traumatic osteomyelitis.
• An open fracture may become infected
• It is the usual cause of acute osteomyelitis in adult.
• Bacteriology:
• The causative organism maybe multiple but staphylococcus aureus is the most common one.
• Clinical features: Fever, pain, swelling over the site of fracture.
• The wound is inflamed and there may be seropurulant discharge.
• Investigations: Elevated ESR and C-reactive protein (CRP) , Leucocytosis. ,,Wound swab sent for culture and sensitivity to identify the causative organism.
• Treatment: The wound should be left open for inspection and frequent dressing, and then delayed primary closure after few days. The fracture is fixed by external fixator.
• Appropriate antibiotic should be given from the beginning
• 2) Post operative osteomyelitis.;- It is not uncommon. ,,,,,The incidence in general hospital is 3-5%
• Predisposing factors.;- Debility.,,Previous infection,,Corticosteroid therapy. ,,,Haematoma formation.
• There is an increased risk with the use of foreign material (metal, plastics) for internal fixation or joint replacement.
Treatment: Prophylactic
• Cleans surgical environment.
• Metaculous operative technique and careful heamostasis.
• The high risk situations, prophylactic antibiotics should be given.
• In established infection ,,,As for post traumatic above.
Sub-acute heamatogenous osteomyelitis [Brodies abscess]
Sometimes because of the low virulence of the microorganism and good resistance of the host; a mild form of osteomyelitis is found.Incidence:
Patient is usually child or adolescent.
Clinical features:
Pain near one of the large joints for several weeks.
X-Ray
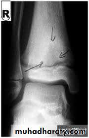
Typically shows small oval radiolucent area surrounding by sclerotic bone (the classical brodies abscess).
Differential diagnosis:
It is early mistaken far osteoma (a benign bone tumour) diagnosis is made after exploration.Treatment:
The abscess is surgically opened under antibiotic cover.
Chronic Osteomyelitis
It is used to be a sequel of acute haemtogenous infection, but now it is more frequently follows open fracture or postoperative complication.Pathology:
There is destruction of bone that follows acute infection leaving sequestra surrounded by dense sclerotic bone.
The imprisoned sequestra provoke a chronic seropurulent discharge, that escape through a sinus. Bacteria may remain dormant for years giving rise to recurrent flare of acute infection.
Clinical features:
Pain, pyrexia, redness and tenderness: recurrence or ‘flare’ of infection
Or with discharge sinus.
Imaging:
X-Ray: shows area of rarefaction surrounded by sclerosis.
And sometimes with sequestra.
Sinogram helpful to localize the site.
Bone scan: useful for revealing hidden foci of infection.
Treatment:
Conservative:
Sinus maybe painless needs dressing.
Flare often settles within few days with antibiotic therapy most antibiotic fail to penetrate the fibrous tissue or sclerotic bone barriers; fusidic acid and cephalosporin are exception and may be useful.
Surgical:
When abscess is formed, it should be incised and drained.
Sequestrectomy (removal of sequestrum) when a sequestra is radiological visible after sequestrectomy the dead space should be injected with antibiotic solution and then allowed to fill with granular tissue, sometimes when the cavity is big, it needs bone graft muscle flap.
Complications:
1)Non union., ,2)Mal union., ,,,3)Pathological fracture: when the bone is much weakened by disease.,, ,,4)Malignancy: chronic draining sinus may be complicated by malignant transformation and develop squamous cell carcinoma [Marjolins’s ulcer],,,,,5)Amyloidosis may complicate long continued chronic osteomyelitis, with persistent discharge of pus.
• Tuberculosis Incidence:
• Common in Asian and African countries, it is on the increase, especially in our country.• Bones and joints are affected in 5% of the patients.
• In endemic areas with pulmonary tuberculosis; the skeletal tubercolosis is mostly seen in children and young adults.
• In non-endemic areas, tuberculosis appear in patients with chronic debilitating disorder or immunocompromized patients (e.g AIDS)
• Causative organisms:
• Is mycobacterium tuberculosis. ….Human>bovine type.
• Sites:
• Mycobacterium TB: has a predilection for the vertebral bodies and large synovial joints.
• Pathology:
• Route of infection: haematogenous spread from lungs or intestine.
• Inflammation: chronic inflammatory reaction develops, characteristically leading to granuloma formation and caseation.
• Abscess formation: spread to soft tissue leads to subacute abscess (cold abscess) which may track along tissue planes and “pointes” somewhere quite remote from the original site of bone infection.
• Sinus formation: someties the abscess ruptures and the infected material may discharge through the skin leading to chronic tuberculous sinus.
• Secondary infection: the sinus may provide a route for secondary infecting pyogenic organisms.
• Joint tuberculosis
• It may start in the synovium, the synovial membrane is much thickened by the inflammatory reaction which is of a characteristic type. With round cell infiltration and giant cell system.
• Or it may start in the nearby metaphysis and then spread across the physis through the articular surface into the synovial cavity.
• Site: usually monoarticular, and affecting a large joint (Hip and knee most common).
• Shoulder and ankle: less frequency.
• If the condition is not arrested, the articular surface is destroyed.
• Healing is by fibrosis if it occurs before the articular cartilage and bone have damaged, the function of the joint is restored virtually to normal.
• But if the cartilage or bone has been damaged before healing; there will be a permanent damage resulting in a tight ‘fibrous ankylosis’ of the joint.
• Clinical features:
• Usually there is impairment of the general health.• Children and young adults are mostly affected; often there is a
• history of contact with a patient with pulmonary TB.
• They present with:
• Pain.
• Swelling (in the superficial joint).
• Muscle wasting (characteristic of tuberculous arthritis).
• Synovial thickening is often permanent.
• Limitation of the movement of the joint in every direction.
• Joint stiffness and deformity when there is progression of the articular
• erosion. May be sinus formation in late cases.
• Imaging:
• X-ray:
• Soft tissue swelling.
• The earliest change is diffuse bone rarefaction throughout a wide area of bone adjacent to the joint.
• In early stages: joint space retained.
• In later stages:
• Narrowing and irregularity of the joint space.
• Bone destruction on both sides of the joints.
• Cyctic changes may appear.
• MRI:
• Determine the size and the location of the soft tissue component (i.e lymphadenitis, cold abscess formation, marrow changes.)
• Investigation:
• ESR: usually raised in active stage, gradually decrease, indication of healing.
• Mantoux test: positive.
• Biobsy from synovial membrane for histological examination is necessary for diagnosis. (It shows the typical histological features of TB).
• Culture: incubation of the micro-organism in guinea pig may prove its tuberculous nature.
• Diagnosis:
• May be delayed in areas where TB is not common, but feature suggestive of TB include:
• Involvement of one joint. ,,,,The long history. Marked synovial thckenning.
• Marked muscle wasting. …Periarticular osteoporosis.
• Differential diagnosis:
• Rheumatoid arthritis: may resemble TB arthritis but the above 5 criteria
• differentiate it from rheumatoid arthritis.
• Chronic pyogenic osteomyelitis with acute or subacute flare.
• There’s fever, local inflammatory signs, radiological changes:
• sequestra, more sclerosis.
• Treatment:
• Antituberculous chemotherapy: it is the mainstay of treatment.
• Choice: combination of the following antituberculous drugs (start with a triple therapy), drugs are:
• (streptomycin, rifampicin, isoniazide(INH), ethambutol and pyrazinamide).
• Local treatment:
• Rest.
• Traction.
• Occasionally operation (aspiration or drainage of an abscess).
• Splintage (in early stages) continued for several months, by which time, it will be clear whether the joint has been saved.
• If the articular surfaces are destroyed the joint is immobilized until all signs of disease actively have disappeared and then:
• If the disease remains quiescent then arthrodesis or joint replacement is considered
• Complication:
• Sinus formation.• Secondary infection through sinus tract.
• Spread of disease to another part of the body




















































