PES PLANUS OR FLAT FOO((valgus foot)).
The term "flat foot" implies that the longitudinal arch of the foot has collapsed, so that on standing, the medial border of the foot almost touches the ground – with prominatent navcular tuberosity & valgus heel, (pronated foot),,,,, it is usually bilateral but if unilateral, it usually indicates abnormal bone and joint pathology in the abnormal foot (either congenital or acquired).Causes unknown\\risk facters ,,joint laxity –muscls waeakness –persistent knock knee
• knock knee.
•Flat foot can be primary, secondary or rigid.
Causes of primary flat foot ( in children ):• Normally the foot is flat early in life in young infants(infantel flat f.) and gradually corrects with early development, if persist it can be any of the following;- A- 1) Primary Familial or idiopathic this is usually,bilateral. B- secondary usually in adult to:
• Generalized ligament laxity.
• Valgus knee.
• Tight tendo-achellis with mild equinus foot.
• External rotation and valgus foot (Charlie Chaplin look).
• Overweight.
• Pregnancy with increased weight and ligament Laxity.
Other causes of stiff or rigid flat foot are:
1. Congenital vertical talus.2. Tarsal coalition (spasmodic flat foot).
3. Neuromuscular disorders and muscle imbalance.
4. Rheumatoid foot.
Congenital vertical talus:
Its rare and uncommon, it present at birth. The foot is convex on the sole (like the bottom of the rocker), the talus is vertically placed with dislocation of the talonavicular joint, the whole forefoot is dorsiflexed and valgus at the tarso-metatarsal region. Any attempt to correct this rigid deformity by manipulation is very difficult, it usually needs surgery and prognosis is poor.Spasmodic flat foot:
This is a condition that occurs in adolescents where the foot at rest looks normal but after walking or exercise it get painful with spasm of the peroneal muscles so the foot go into valgus and get flattened.Sometimes its idiopathic although tarsal fusion (coalition) by a bony or cartilage bar has been commonly blamed.
X-ray, CT scan or MRI may show the abnormal coalition.
The condition usually relieved by resting the foot in a cast or splint, if there is abnormal bar this may need surgical interference.
Treatment
in small children’sno treatment is needed a part from raising the inner side of the foot,,,,
in older children & young adult a splint for the medial longitudinal arch is helpful inside the foot. Treatment for the acquired flat foot in adult is by treating the under lying cause accordingly.
Operative treatment
for vertical talus ,tarsal bar, muscle rebalance for poliomylities,, external splinat & rest in cast for spasmodic flat foot.
Pes cavus
This deformity of the foot with the clawing of the toes puts the body weight on the metatarsal heads that projects down into the sole of the foot and usually there is an overlying skin callosities due to friction with the shoe.In the mobile flexible early deformity the foot shape can be restored if the metatarsal heads pushed up by the examiner’s finger, as the arch gets normal and the clawing of the toes corrected. Later the deformity if untreated gets fixed and painful.
Treatment:
1. In cases of painless mobile deformity no treatment is needed apart from special shoe wear.2. In severe deformities which is still mobile the foot shape can be improved and weight bearing on metatarsal heads can be decreased by rebalancing surgery correcting the clawing by tendon transfer so the long toe flexors are released and transferred from the planter to the dorsal aspect of the toes and fixed on the extensor expansion so it will correct the hyperextension and put the toes straight.
3. For fixed deformities no much can be done, if special shoe wear is not enough complex bone surgeries and arthrodesis can be done, operations must always delayed after the age of 16 years
The painful foot:
Pain is usually well localized to a single area that can be the heel, midtarsal region or the forefoot.A. The painful heel:
1. In children the most likely cause is Sever’s disease or calcaneal apophysitis. It is not really a disease but a mild traction injury of the growth plat at the inseration of tendeno achillis ,, occurring in boys around 10 years. Pain and tenderness are localized to the tendo Achilles at is insertion. Treatment ;- local ice for acute stage & NSAID ,,The heel of the shoe should be raised a little and strenuous activities restricted for a few weeks2
2. In adolescent girls a calcaneal knob is common. The posterlateral portion of the calcanium is too prominent and the shoe rubs on it causing pain. If attention to footwear does not help, the bony knob is removed.
3. Young adults sometimes develop pain above the heel. The tendo Achilles is thickened and tender. It is common in athletes and is due to a peritendinitis. The acute form may be relieved by rest, ice packs and strapping. The chronic form may need operation to divide the tendon sheath and fascia; if there is a necrotic area in the tendon, this may need excision.
Heel knob
))In general Calcaneal bone lesions Any bone disorder in the calcaneum can present as heel pain: a stress fracture, osteomyelitis, osteoid osteoma, cyst-like lesions and Paget’s disease are the most likely. X-rays usually provide the diagnosis((
Planter fasciitis
4. Acute Plantar fasciitis: Pain is under the heel and sharply localized tenderness may occur in gout or in Reiter’s disease, or Rh. arthritis. It is due to inflammation of the tough ligamentous tissue inserting into the undersurface of the calcanium (the planter fascia of the foot). Plantar fasciitis commonly causes stabbing pain that usually occurs with your very first steps in the morning. Once your foot limbers up, the pain of plantar fasciitis normally decreases, but it may return after long periods of standing or after getting up from a seated position.
The underlying disorder should be treated and the painful area protected from uneven pressure.
5. Older adults (40-60 years) may also on walking. develop a painful plantar fasciitis usually less distressing than the acute disorder. It’s very common, its related to chronic stress as longtime standing or overweight (‘policeman’s heel’), but more often the cause is not apparent.
Clinically the patient presents with chronic pain on the inferior aspect of the heel that has the character of relapse and remission, it occurs as a result of long standing or prolong
Treatment
medical treatment ;- Non steroidal anti inflammatory drugsSteroids - oral /injections
Non Medical Management
Physiotherapy ;- Calcaneal spurs, both upper and lower spurs, are treated with conventional physiotherapy.
Conventional therapy includes ultrasound, Laser, passive and active stretching and strengthening of the muscles of the legs and cold and warmth applications (Contrast Bath). The aim is to eliminate the inflammation surrounding the spur. This kind of treatment may take 6 to 12 months.
Another proven therapy is radial shockwave therapy. This method consists of very high-energy mechanical waves, pointed at the calcaneal spur.
B. Painful tarsus:
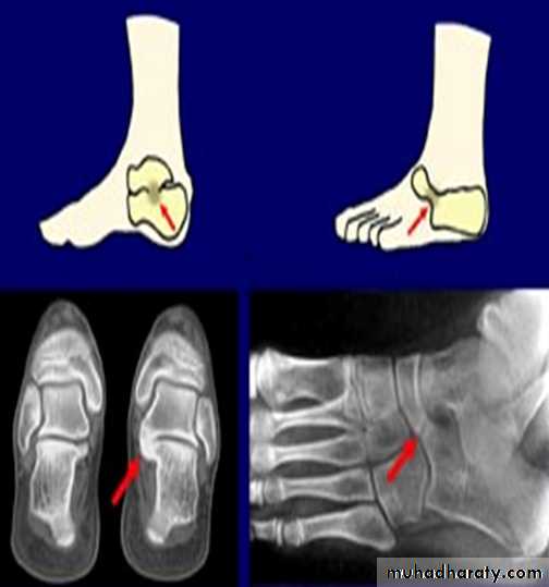
1. In children Osteochondritis of the navicular bone (Kohler’s disease) may cause pain and tenderness over the dorsum of the mid-foot. If activities are restricted for a few weeks, the pain usually disappears.
2. In young adults, pain over the medial aspect of the naviculum may due to a congenital accessory navicular bone.The accessory bone may be prominent under the skin and feels tender.
X-ray will show the type of this accessory segment that may need surgical removal; otherwise simple adjustment of shoe wear can be of great help.
3. In adults, pain in the same region is sometimes associated with a prominent ridge of bone.
X-rays show osteophytes formation at the joint between the medial cuneiform and first metatarsal. If shoe adjustment fails to provide relief the lump may be removed surgically.
Kholer’s disease
Stracture attached to navicular ;- 1)abductor hallucis muscle
2) Plantar calcaneonavicular ligament (spring ligament)3) parts of the deltoid ligament
4)posterior tibial tendon
Painful forefoot (metatarsalgia):
Any foot abnormality that results in faulty weight distribution may cause nagging pain in the forefoot. It is therefore a common complaint in patients with:
1. Hallux valgus. 2. Claw toes. 3. Pescavus.4.Flat foot. 5.Foot strain. 6.Freiberg ‘s disease. 7. Stress fracture.
8.Morton’s metatarsalgia. 9.Gout. 10.RA.
Freiberg‘s disease:
This is a ‘crushing’ type of osteochondritis of the second metatarsal head (rarely the third). It affects young adults, usually women. A bony lump (the enlarged head) is palpable and tender; the joint is irritable.
X-rays show the head to be wide and flat. If discomfort is marked the metatarsal head is excised
.
Stress fracture:
Usually of the second or third metatarsal occurs in young adults after unaccustomed activity. The affected shaft feels thick and tender. The x-ray appearance is at first normal; but later shows fusiform callus around a fine transverse fracture line. Rest is all that is needed.Morton’s metatarsalgia:
The patient usually a woman of 40-50 years complains of sharp pain in the forefoot, radiating to the toes. Tenderness is localized to one of the interdigital spaces - usually the third - and sensation may be diminished in the cleft and adjacent toes. This is essentially an entrapment syndrome affecting one of the digital nerves, but secondary thickening of the nerve creates the impression of a ‘neuroma’.If symptoms do not respond to protective padding the ‘neuroma ‘is excised.
Metatarsalgia due to high heel foot wear
Hallux valgus is the commonest of the foot deformities(and probably of all musculoskeletal deformities). The elements of the deformity are lateral deviation and rotation of the hallux, together with a prominence of the medial side of the head of the firstmetatarsal (a bunion).HALLUX RIGIDUS
‘Rigidity’ (or stiffness) of the first MTP joint occurs at almost any age from adolescence onwards. In young
people it may be due to local trauma or osteochrondritis
dissecans of the first metatarsal head. In older
people it is usually caused by longstanding joint disorders such as gout, pseudogout or osteoarthritis
(OA), and is very often bilateral. In contrast to hallux
valgus, men and women are affected with equal frequency. A family history is common.

































