Imaging of urinary tract diseases
Qais A. Altimimy, DMRD, CABMS-RAD.
Lecturer, RadiologyAlkindy college of medicine, university of Baghdad
2016
Imaging techniques
Commonly indicated1. Ultrasound (US)
2. Intravenous urography (IVU)
(3. Computed tomography (CT
Uncommonly indicated
1. Radionuclide examination
2. MRI
3. Studies need catheterization
4. Direct puncture
5. Arteriography
Ultrasound
US is the first line investigation in most patient. It is non invasive , easy to perform , needs no preparation and not costlyThe main indications include:
1. Investigation patients with symptoms thought to be arise from urinary tract2. Demonstration of the size and texture of the kidneys in patient with renal failure
3. Diagnose hydronephrosis , renal tumors, abscesses and cystic diseases
4. Assess and follow up renal size and scarring in children with suspected urinary tract infection
5. Assess the bladder and the prostate.
Classification of hydronephrosis in grade I–IV.
• Hydronephrosis grade I: dilatation of the renal pelvis without dilatation of the calices without signs of parenchymal atrophy. • Hydronephrosis grade II: dilatation of the renal pelvis and calices. No signs of parenchymal atrophy. • Hydronephrosis grade III: Minor signs of organ atrophy present (flat papillae and blunt fornices).• Hydronephrosis grade IV: massive dilatation of the renal pelvis and calices. Significant signs of renal atrophy (thin parenchyma).
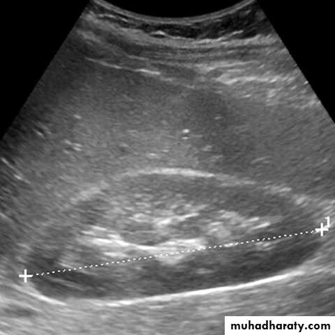
Measurement of renal length by US
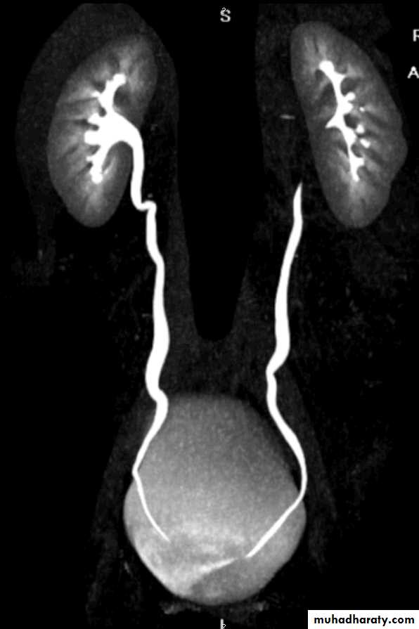
Intravenous urography
The IVU as a standard technique has now been largely replacedby US
The main indications for IVU are:
1. When detailed demonstration of the PCS and ureter is required2. The assessment of suspected acute ureteric colic
3. The assessment of renal system congenital anomalies
4. The investigation of renal calculi
5. The investigation of hematuria .
Contraindications :
1. Anuria (absence of urine production)2. Severe dehydration.
3. Uremia is not a contraindication as long as the
patient is hydrated and producing urine. However,
the diagnostic quality of the study may be compromised
because of poor contrast concentration.
4. Known allergy to iodine
• is an absolute contraindication.
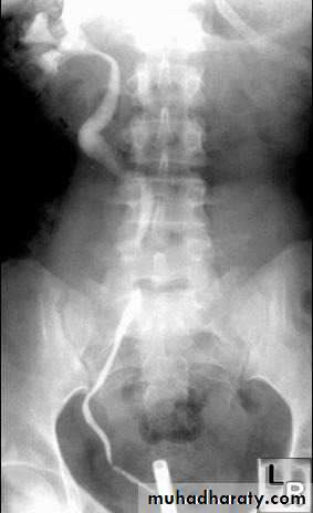
• Films timing:
• 1.Plain film (KUB): to identify calcifications in the urinary tract region
• 2.immediate film: taken immediately after contrast injection& it is aimed to show the nephrogram (contrast in renal parenchyma), may be omitted to decrease radiation dose
• 3.five min. film: to determine if excretion is symmetrical(calices appear at the same time on both sides). After this film, compression band applied around the patient
• 4.15 min. film: to show the PCS adequately
• distended with opaque urine. After this film,
• compression band is released
• 5.post compression film: to show the whole
• urinary tract.
• 6.post voiding film: to assess residual urine,
• & to confirm ureterovesical junction stone
•
CT
The role of CT in urinary tact imaging is expanding like US
CT characterize masses, in addition can show retroperitoneal structures
& is very sensitive to detecting calculi
The main indication of CT are:
1. To demonstrate renal masses
and staging renal tumors
2. To delineate renal vascular
anatomy
3. To diagnose or exclude renal
trauma
4. To demonstrate renal stones
5. Assessment of acute ureteric
calculi in some centers
MRI
MRI play limited role in the investigations of urinary tract systemIt is only used in selected cases
1. To demonstrate renal artery stenosis2. To demonstrate IVC extension of renal tumor
3. Local Staging of urinary bladder carcinoma and prostatic carcinoma
The main disadvantage of MRI is the inability to demonstrate stone or calcification
Radionuclide examination
There are two main radionuclide techniques for studying the kidneys
1.The renogram which measure the renal function
2.Scan for study the morphology DMSA scan
Ascending urethrogram
used mainly for diagnosis of urethral strictureRetrograde & antegrade pyelography
limited indication and replaced now byother investigation
Micturating cystourethrogram
used mainly for diagnosis of1.vesicoureteric reflux
2.Posterior urethral valve
VUR
Congenital anomalies of the UT
• 1.Bifid collecting system: are the mostfrequent anomaly due to abnormal division
of the ureteric bud and may be complete
or incomplete
2. Pelviureteric junction obstruction (PUJ):
peristalsis is not transmitted across thepelviureteric junction i.e. functional obstruction.
usually discovered in children and young adults.
Imaging show dilatation of all the calices and
renal pelvis with abrupt change in caliber to
a narrow or normal ureter
3. Ectopic kidney: failure to ascend
(pelvic kidney). It may ascend to the oppositeside and fused with the lower pole of the
opposite kidney( crossed fused ectopia)
4. Horseshow kidney: fusion of the lower
pole, long axis parallel to the spine, mal-rotationof both kidneys so the pelvis of the kidneys
directed anterior or lateral . Obstruction and
infection are common . Its diagnosis is suggested
by US and confirmed by IVU or CT
5. Ureterocele : congenital variant with dilatation of the distal ureters as it enters through the bladder wall. It produce typical appearance of cobra head which is usually of little clinical significance
6.Hypoplastic kidney
7.Renal agenesis8.Polycystic disease of the kidney infantile(AR) usually presented in the first few days of life with renal failure and enlarged kidneys . Adult(AD) presented in the third decade with loin pain, hematuria hypertension and renal failure , 25-50% have positive family history . It is most invariably bilateral , diagnosed by US or CT
URINARY TRACT DISORDERS
Urinary calculiMay be asymptomatic
70- 80 % are calcified and show varying densities on plain film
20-30 % are radiolucent
The larger stone assume the shape of the PCS staghorn calculus
Plain film exam of the urinary tract ( KUB) is more sensitive than US for detecting opaque renal and ureteric stone .Plain film is essential to be used as a preliminary film before injection of the contrast in IVU and should be examined carefully because even a large stone can be hidden within the opacified collecting system once contrast medium has been given.
Most renal calculi of more than 5 mm are usually seen at US but smaller size calculi may be missed. Stones regardless of their consistency produce intense echoes and cast acoustic shadows.
Stones in the ureters cannot be excluded by US , so IVU or CT is indicated
Stones in the VUJ and bladder are well demonstrated by USCT when performed without contrast is sensitive for detection of all types of stones
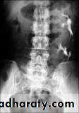
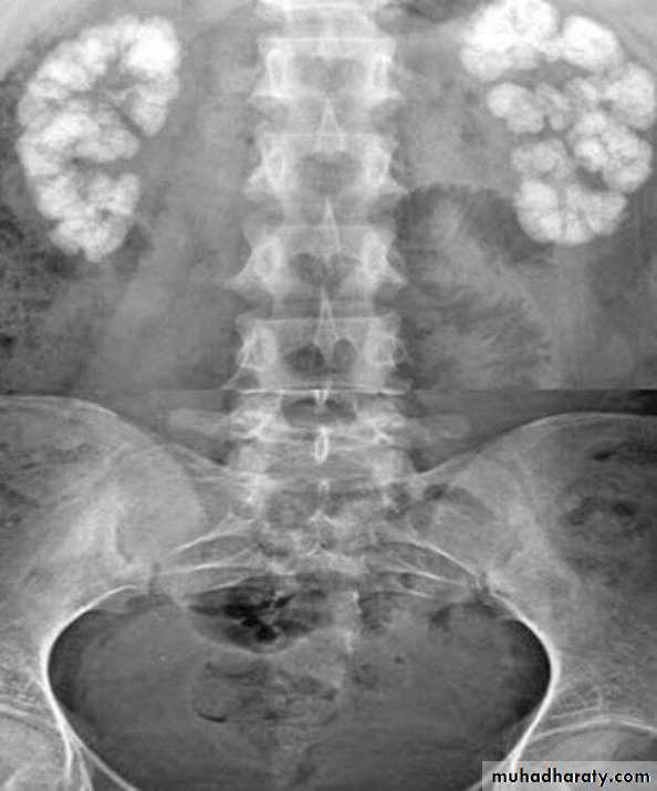
Nephrocalcinosis: calcification within renal parenchyma
a. May be associated with hypercalciemia and / or hypercalciuria like in hyperparathyrodism, renal tubular acidosis and sarcoidosis , Cushing syndrome, steroid therapy , hypervitaminosis D , multiple myeloma , milk alkali syndromeb. May be due to structural changes such as medullary spongy kidney which is a congenital dilatation of the
collecting tubules in which small calculi form
Urinary tract obstruction
The principle feature is dilatation of the PCS and ureter.US show hydronephrosis
IVU is useful in patients with suspected acute ureteric calculus obstruction
In some hospitals, CT is used to evaluate obstruction as an alternative to IVU in patients with allergy to contrast
CT is also has the advantage of demonstrating possible alternative causes of acute abdominal pain like appendicitis and chronic obstruction by tumor
Causes of UT obstruction
a. Causes within the lumen1. Calculi is the most common cause
2. Blood clot
3. Tumor
4. Sloughed papilla
b. Causes within the wall
ureteric transitional cell carcinoma, bladder carcinoma, infective stricture(TB or schistosomiasis)c. Extrinsic causes
1.Tumors of cervix or rectum
2.Retroperitoneal fibrosis
3.Aberrant renal artery or retrocaval ureter
retrocaval ureter
infection of the upper urinary tractAcute pyelonephritis: is usually due to bacterial infection from organism that enter the urinary system via the urethra
Predisposing factors
1. Anatomical abnormalities such as stones, duplex system2. Obstructive lesions
3. DM
Most patients with acute infection do not need urgent imaging investigation
In acute pyelonephritis the US is either normal or demonstrate diffused or focal swelling with decreased echogenicityImaging of the urinary tract after resolution of the acute episode is indicated in all women with repeated UTI and in men with confirmed single UTI infection
Investigation of the renal tract is indicated in all children with confirmed UTI
Renal and perinephric abscess
US is the initial imaging then CT is used for further characterizationPyonephrosis
Only occurs in obstructed collecting system. US is the most useful imaging modality
Chronic pyelonephritis (reflux nephropathy)
Refer to the late appearance of focal or diffused scarring of the kidney due to reflux of the infected urine from the bladder to the kidney leading to destruction and scarring of the renal substances , most damage occur in the first year of life . The condition is often bilateral but asymmetricalSigns of reflux nephropathy
1. Scar formation, local reduction in renal parenchyma
2. Dilatation of the calices in the scarred areas
3. Overall reduction in renal size
4. Dilatation of the affected collecting system may be seen
5. Vesicoureteric reflux
Tuberculosis
It is blood born diseases from focus lungs and bonesPyuria
Bilateral diseases
In early stages the US and IVU may be normal
IVU findings include:
1.Initial changes irregularity of the calyx then later cavity filled with contrast2.Calcified irregular foci
3.Autonephrectomy
4.Multiple strictures in PCS and ureter
5.Thick wall small volume urinary bladder
Autonephrectomy
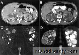
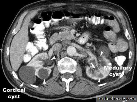
• Simple renal cysts• This represent the most common renal mass lesion.
• The incidence increasing with age and are present in
• 25-50% of subjects over the age of 50.
• These lesions are, by definition, simple with a thin
• wall and contain only serous fluid. They are found
• incidentally.
• On US: well demarcated, thin wall, homogenous fluid contents cyst with
• posterior acoustic enhancement.
• At CT: spherical mass with imperceptible wall, its contents are
• homogenous of fluid density (0 – 20 HU) with sharp margins
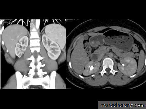
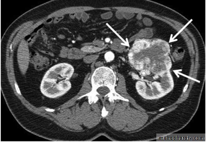
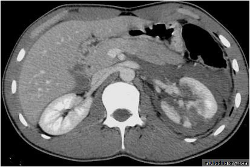
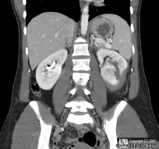
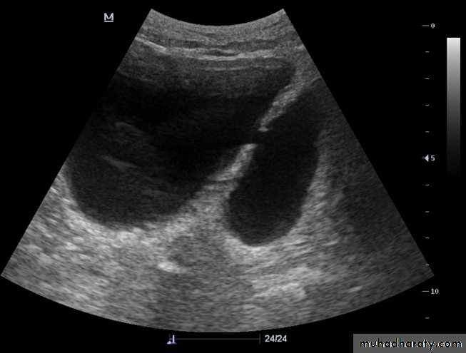
• Renal cell carcinoma
• It represent 80-90% of all renal malignancy, peak age 55 year. It is bilateral in 2%. It metastasize to the lung, liver, bone(lytic expansile), regional LN, and adrenal glands• US: solitary mass bulging from the renal outline. It is usually iso- or hypoechoic compared to normal kidney. Most show some heterogeneity. It is of irregular outline. Necrosis will give areas of low echogenicity in the centre of large tumors.
• CT: spherical mass, often lobulated, usually isodense or hypodense compared to normal renal tissue, occasionally hyperdense. They enhance variably with intravenous contrast but almost always less than normal renal tissue. About 1/3 have calcifications.
• CT is the current method of choice for staging of RCC because:
• 1.it show the local direct spread
• 2.can demonstrate enlargement of drainage LN
• 3.show tumor growing along the renal vein into IVC.
• 4.diagnose liver, adrenal and pancreatic metastases
Renal trauma
The kidneys and the spleen are the most internal organs to be injured (¾ blunt and ¼ penetrating)CT is the best investigation
1. It demonstrate the presence or absence of perfusion to the injured kidney
2. It insure that the opposite kidney is normal
3. it show the extent of renal parenchyma damage
4. It demonstrate injuries to other organs
La maison de provence
Urinary bladderThe bladder is well demonstrated on all imaging modalities. At US, the simplest routine method of imaging, the bladder lumen should be free of echogenic structures and it's wall should be of uniform thickness. When the bladder is distended, the wall should be less than 3 mm thick. The volume of the bladder may be calculated by measuring the dimensions of the bladder
• Bladder tumors
• The bladder is the most frequent site for neoplasm in the urinary tract. Almost all(95%) are transitional cell carcinoma. They vary in shape: papillary, sessile or flat plaque. US is the initial imaging investigation. The main role of urography (IVU or CT urography) is to demonstrate any other lesions in the upper tracts (PCS and ureters), as transitional cell carcinomas are often multifocal.• US: soft tissue masses protruding into the fluid-filled bladder or as localized bladder wall thickening, but the technique is poor for detecting extravesical spread. There may be echogenic foci on the tumor surface due to calcific encrustation.
• IVU: is less sensitive than US in detecting small bladder masses, but if the mass is a large enough, a filling defect in the bladder may be seen.
• Cystoscopy: used for observation of the nature and extension of the tumor and to established the diagnosis by biopsy
• CT and MRI: used for staging of the tumor by determining spread of the tumor beyond the bladder wall and assess LN involvement. MRI is better than CT in demonstration of early invasion of the deep muscular layer of the wall, but in advanced disease CT and MRI are of similar accuracy for staging.
• Bladder diverticula
• Bladder diverticula may be congenital in orgin but are usually aquired due to chronic bladder outlet obstruction. It have no muscle in its wall and increase in size during bladder emptying. Because of urinary stasis, diverticula predispose to infection and stone formation and tumors may, on occasion, arise within them.• Most diverticula fill at urography (IVU post-voiding film) and micturating cystography.
• They are readily demonstrated
• at US, CT, and MRI. When large,
• diverticula may deform the
• adjacent bladder or ureter
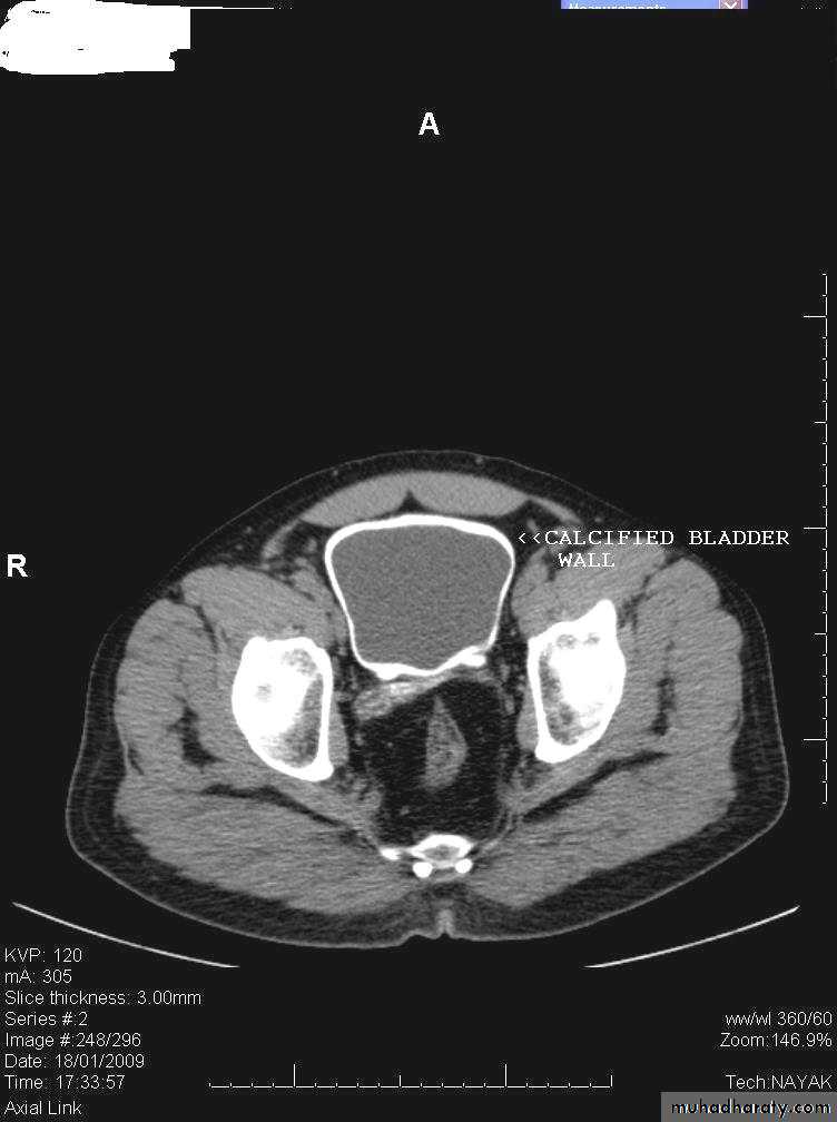
• Bladder calcification
• The most frequent cause of calcification is calculi ( large and laminated). Calcification in the wall is rare and usually due to schistosomiasis or bladder tumor.• Urinary bladder infection
• Acue bacterial cystitis: usually due to E.coli, Klebsiella and Pseudomonous. Most frequently seen in young and middle age sexually active females without a predisposing factors. It may be seen in other people which have predisposing factors such as: calculi, bladder tumor or neurogenic bladder.• IVU: usually normal, but in severe cases may show irregularity or nodularity of the mucosa ( due to edema)
• US: may show irregular and diffusely thickened bladder wall and some echogenic debris within the bladder.
• Tuberculosis: it is always associated with renal TB. It produce irregular wall thickening and decrease in bladder capacity due to fibrosis (thick contracted bladder). Calcifications is present in 10% of cases and could be seen on plain film and CT
Schistosomiasis: US may be normal at early stage, latter will show wall thickening(up to 1 cm or more) and multiple polypoidal lesions. Latter on calcification may develop which appear on plain film in 50% of cases as egg shell or linear calcification in the bladder wall and lower ureters. In contrast to TB, the bladder capacity and contractility is well preserved. The condition predispose to squamous cell carcinoma due to epithelial metaplasia.
• Neurogenic bladder
• There are two basic types of neurogenic bladder:• The large atonic smooth-walled bladder with poor or absent contractions and a large residual volume.
• The hypertrophic type, which can be regarded as neurogically induced bladder outflow obstruction. In this condition, the bladder is of small volume, elongated shape, has a very thick, grossly trabeculated wall and shows marked sacculation (Christmas tree bladder). The ureters and PCS may be dilated.
Neurogenic bladder and spina bifida
Christmas tree bladder• Trauma to the bladder
• Cystography is the best way of demonstrating the actual site of leakage from the bladder. If there is any suspecious associated urethral injury, an ascending urethrogram should be done first. There are two main types of bladder rupture:• Intraperitoneal rupture: caused by a direct blow to the distended bladder. Contrast introduced into the bladder will leak into the peritoneal cavity.
• Extraperitoneal rupture: may be part of an extensive injury such as occurs with fractures of the pelvis. A common site of rupture is at the bladder base, in which case the bladder shows elevation and compression from extravasated urine and hematoma.
•
Intra peritoneal rupture
Extra peritoneal rupture• Prostatic enlargement
• Prostatic enlargement is very common in elderly men. It is usually due to benign prostatic hypertrophy but may be due to carcinoma.• TRUS: can show the overall size of the prostate and can diagnose relatively small masses within its substance. TRUS-guided biopsy is used for the diagnosis of prostatic carcinoma
• Trans-abdominal US: used for assessment the size and volume of prostate(the normal prostatic volume is < 20 ml) , measurment of post voiding residual urine volume and determine if there is associated development of hydronephrosis.
• IVU: enlarged prostate may cause round central filling defect at the bladder base and hooking of the distal ureters due to elevation of the bladder base.
• MRI: the zonal anatomy of prostate is very well demonstated by MRI. In T2 images, the peripheral zone(the most common origin of tumors) is of high signal intensity and the tumor is of low signal intensity. MRI is used to assess early stage prostatic cancer in patients being considered for radical surgery or radiotherapy. MRI is also used to demonstrate extracapsular tumor spread, to show invasion of the seminal vesicles, and to demonstrate possible LN metastases.
• CT: does not demonstrate the internal structure of the prostate as well as TRUS or MRI.
• Bladder outflow obstruction
• Causes:• 1.benign prostatic hypertrophy is the most frequent cause
• 2.bladder lesions, such as tumor or calculi
• 3.urethral stricture: infective, traumatic or post operative
• 4.posterior urethral valve: the commonest cause in male children
• Radiological signs:
• 1.incomplete bladder emptying(normally, there should be no residual urine)
• 2.increased thickness of the bladder wall
• 3.trabeculation: undulated inner side of the bladder wall due to prominent muscles strands(muscular hypertrophy), these are well seen on US and IVU
• 4.Sacculations and diverticulae formation: they are focal herniation of the urothelium and submucosa through week sites in the bladder wall. Small protrusions called sacculations and as they enlarged above 2 cm, they called diverticulae. They can be seen on US, IVU and CT.
• 5.in severe cases, there may be dilatation of the ureters and hydronephrotic changes in the kidneys.
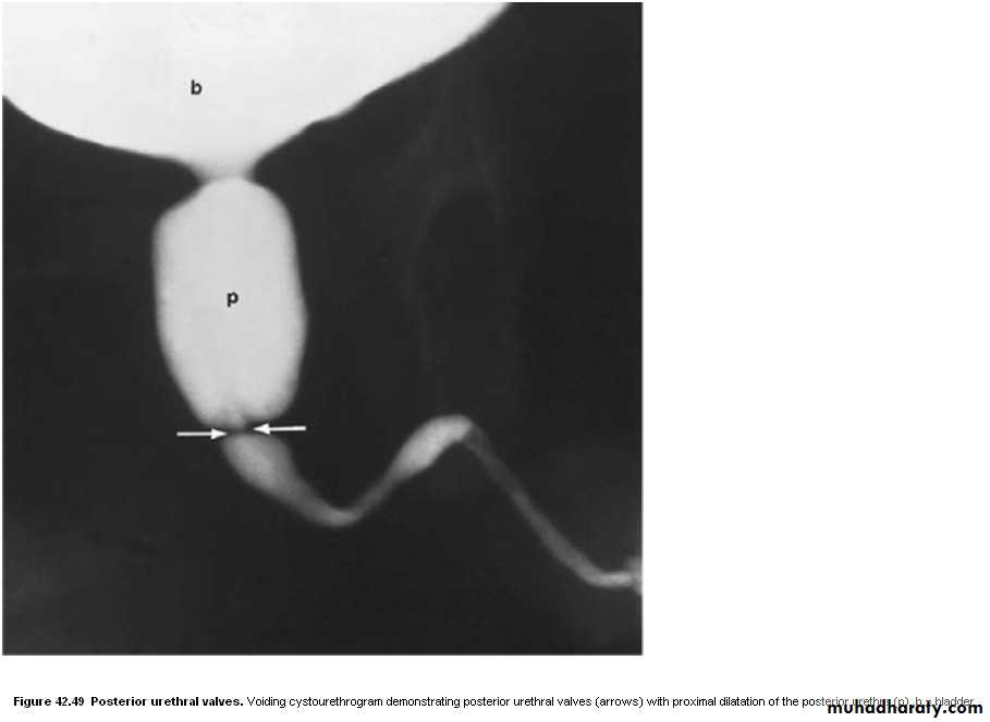
• Posterior urethral valves
• Congenital valves in the posterior urethra in boys are the commonest cause of bladder outflow obstruction in male children. The diagnosis may be first suspected at antenatal US, where there is bilateral hydronephrosis. After birth, US confirms bilateral hydronephrosis and hydroureters and a thick-walled bladder. Urethral valves cannot be demonstrated by retrograde urethrography as there is no obstruction to retrograde flow. They are easily demonstrated at micturating cystourethrography, where substantial dilatation of the posterior urethra is seen which terminates abruptly in a convex border formed by the valves.Urethral strictures
• Scrotum and testes
• The scrotal contents are usually imaged with US, but MRI is occasionally used• The two main indications for scrotal US are scrotal swelling or scrotal pain.
• Differential diagnosis for scrotal swelling include: testicular tumor, varicocele, hydrocele or infection.
• Doppler US can be used to differentiate between testicular tortion, in which testicular perfusion is dramatically decreased, and acute epididymitis/orchitis in which testicular perfusion is normal or increased.
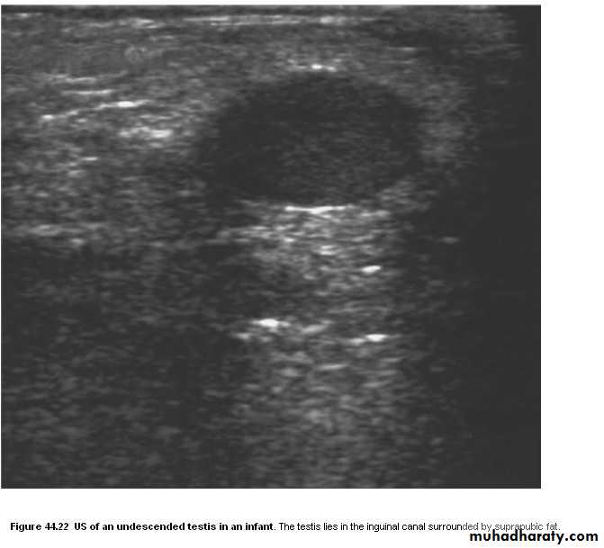
• Ectopic testis in the inguinal canal can be diagnosed by US. When the ectopic testis lies within the abdomen, or where the US is inconclusive, MRI is the investigation of choice.

































































