General examination
New version (25-12-2014)Examination of the Face
Facial expression• Sad
• Depressed• Anxious
• Angry
• ….
Special faces
1-Cushing syndromeSpecial faces
2- AcromegalySpecial faces
3- thyrotoxicosisSpecial faces
4- MyxoedemaSpecial faces
5- facial nerve palsySpecial faces
6- parotid swelling ( mumps )Special faces
7- SLEFacial Skin color
1- pallorFacial Skin color
2- jaundiceFacial Skin color
3- plethoric faceFacial Skin color
4- Earthy pale complexionFacial Skin color
5- pigmentationsFacial Skin color
6- malar flushEye examination
1- AnemiaEye examination
2- polycythemiaEye examination
3- jaundiceEye examination
4- PuffinessEye examination
5- XanthelasmaEye examination
6- Corneal arcusEye examination
7- subconjuctival hemorrhageEye examination
8- periorbital edemaEye examination
9- Digital photographs of the conjunctivaHair examination
1- Coarse dry lusterless ( in hypothyroidism )Hair examination
2- alopecialips examination
1- cyanotic liplips examination
2- herpes labialislips examination
3- angular stomatitislips examination
4- ulcerlips examination
5- tattooingGums examination
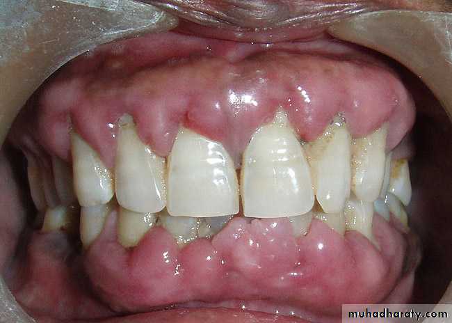
1- GingivitisGums examination
2- Gingival hypertrophyTeeth examination
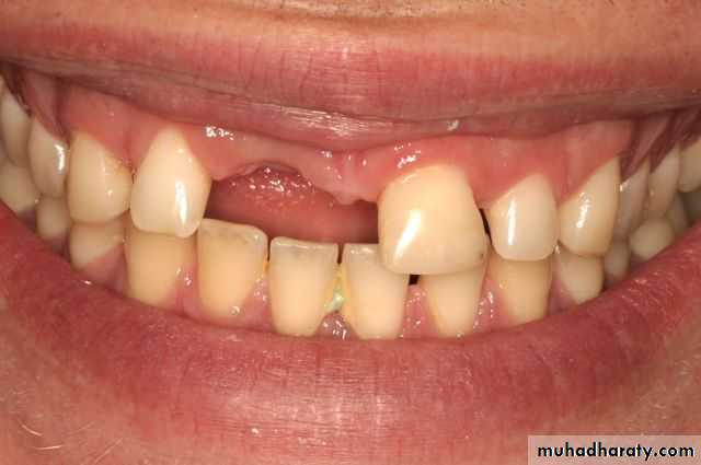
1- Dental cariesTeeth examination
2- teeth lossTeeth examination
3- denturesTongue examination
1- GlossitisTongue examination
2- pale ( in anemia )Tongue examination
3- yellow ( in jaundice )Tongue examination
4- central cyanosisTongue examination
5- dry tongueTongue examination
6- Furred tongueTongue examination
7- smooth tongueTongue examination
8- Geographical tongueTongue examination
9- Tumor NoduleBuccal mucosa examination
1- ThrushBuccal mucosa examination
2- aphthus ulcerBuccal mucosa examination
3- Petechial hemorrhageBuccal mucosa examination
4- pigmentationsBuccal mucosa examination
5- PallorTonsil and pharynx examination
1- TonsillitisTonsil and pharynx examination
2- enlargement of tonsilsTonsil and pharynx examination
3- post nasal dischargeTonsil and pharynx examination
4- pharyngitisExamination of the Neck
L.N examinationL.N examination
Thyroid examination ( Goiter )
Examination of the Hand
Joints examination1- deformity
Joints examination
2- swellingMuscle examination
1- atrophyMuscle examination
2- carpal tunnel syndromeMuscle examination
3- claw handsColor examination
1- cyanosisColor examination
2- anemiaSkin lesions
1- petechiaeSkin lesions
2- purpuraSkin lesions
3- Ecchymosis
Skin lesions
4- hematomaSkin lesions
5- spider neviSkin lesions
6- Palmer erythemaSkin turgor
Causes:
• Decreased fluid intake
• Dehydration• Diarrhea
• Diabetes
• Extreme weight loss
• Heat stroke
• Vomiting
Nails examination
1- Clubbing of fingersNails examination
2- leukonychiaNails examination
3- KoilonychiasNails examination
4- OnycholysisTremor examination
• Rest tremor
• Intention tremor• Flapping tremor
• Tremor of outstretched hand
Examination of the Leg
Deformities and amputation
Edema examination
Ischemia examination
• Pallor
• Cyanosis• Ulcerations
• Gangrene
• Loss of pulses
• Hairless shiny skin
Diabetic foot
Blood spots of the foot
Vital Signs
1-Temperatureoral temperature 33.2-38.2 C
rectal temperature 34.4-37.8 C
Tympanic temperature 35.4- 37.8 CAxillary temperature 35.5-37.0 C
2-Pulse
A normal resting heart rate for adults ranges from 60 to 100 beats a minute.
When you feel the pulse, count the number of beats in 15 seconds. Multiply this number by 4 to calculate the pulse ( beats per minute ).3- Blood Pressure
Blood PressureCategorySystolicmm Hg (upper #)
Diastolicmm Hg (lower #)
Normal
less than 120
and
less than 80
Prehypertension
120 – 139
or
80 – 89
High Blood Pressure(Hypertension) Stage 1
140 – 159
or
90 – 99
High Blood Pressure(Hypertension) Stage 2
160 or higher
or
100 or higher
Hypertensive Crisis(Emergency care needed)
Higher than 180
or
Higher than 110



























































































































