Slides of Gyn
Normal anatomy of cervix
Normal anatomy of female reproductive sys
What is this exam : pap smear (brush and spatula)
Collect cell from endocervix and ectocervix
What is this pic: hirsutism
Define :excessive growth of terminal hair on face;chest;back or inner thighs in women following a male like patternIf this case presented with infertility ;what is the most common cause: PCOS
How can investigate this case :
1-free testosteron :increase >200n/dl
2-LH:FSH ratio >3
3-17hydroxyprogesteron :increase
4- U/S ; CT ; MRI ; dexamethason suppr. test
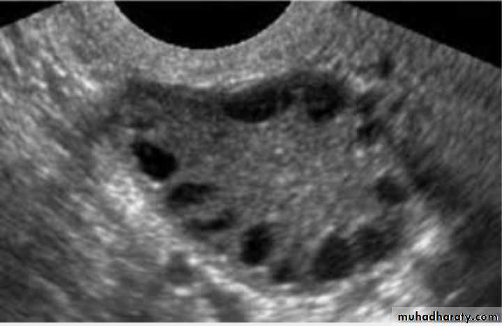
Pt. present with irregular vaginal bleeding , what is Dx? PCOS
Typical U/S finding in this case : bilateral ovaries containing multiple follicle more than 10 measure 2-9 mm diameter arranged in a neglict apperance with increase stromal thick and overian volum (>10cm3)
What other symptoms: 1-hisutims 2-infertility 3-obesity 4-acne 5-amenorrhea or oligomenorrhea
outline of tx :
-wt. reduction
-medical tx:COCP; ovulation induction:clomiphen ;tamoxifene;FSH;GnRH analogues; metformin
- Surgical tx: laparoscopic ovarian diathermy
Lab. Finding :Increase serum LH
Increase serum LH : FSH ratio
Increase serum androgen (testosterone and androstenedione)
Decrease SHBG
Increase estradiol and estrone (not measured routinely as Very wide rang of values).
Increase serum prolactin.
Increase serum insulin level.
Impaired glucose tolerance .
*laparoscopy: PCOS
U/S:PCOS
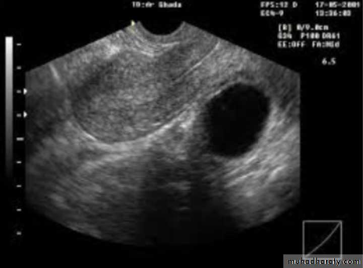
Dx: simple ovarian cyst
Description: round regular; smooth outline ;single echogenicity ;not contain blood ,contain only fluidTx:
-small and asymptomatic : conservative tx ;COCP
-large and symptomatic: surgical removal of cyst
Ovarian cyst
Large simple ovarian cyst
Tx only surgical removal
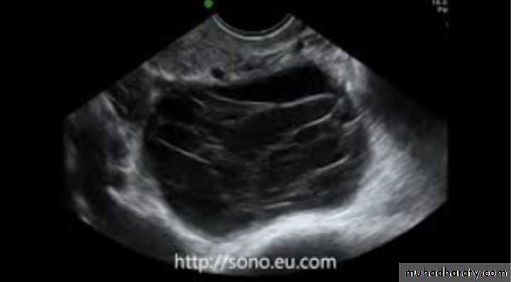
Dx: multilocular ovarian cyst
Risk: malignancyPCOS
PCOS
What is this procedure : wedge resection part of surgical tx in case of PCOS
DX: prolapse(cystocele)
What is this : ring pessary
Used for : uterine prolapse for 6 monthComplications : ulceration and infection
Indication:
1-pt. wish 2-medically unfit for surgery 3-during and after pregnancy
4-childbearing not complete 5-as therapeutic test 6-while awaiting surgery
ring pessary
pessary
Prolapse type:
1-cyctocele2-rectocele
3-uterine prolapse
Stages :
Stage1: uterus not reach introitsStage2: uterus reach introits
Stage3:completely outside
DX: bartholin cyst
Painless swelling and unilateralIf infected >>>painful
Dx:uterine prolapse
TX:1-tx cause of increase intra-abdominal pressure (tx of chronic cough)
2-if pt. not fit for anesthesia >>ring pessary
3-if pt. fit for anesthesia >> hysterectomy
Dx: procidentia –complete uterine prolapse(complete protrusion of uterus and vagina)
DX: Ambiguous genitalia
Most common cause : 95% congenital adrenal hyperplasiaDX: turner syndrome(45XO)
What are clinical signs :Phenotype female1-Oedema of hand & feet
2-Short stature
3-Absent secondary sexual characteristics
4-Wide carrying angle of the arms
5-Webbed neck
6-Broad chest with widly spaced nipples
16 yrs old female presented with primary amenorrhea ;on exam doctor see this picture what is dx: imperforated hymen
Tx:1-explanation of condition and obtaining parents consent
2-cruciate incision(+) in the hymen allows drainage of retained blood with antibiotic cover.
3- girl must given a report confirm that hymen was open by surgical operation for tx.
*What is this : COCP
(it contain 21pills active* estrogen and progesterone*+
extra 7 placebo contain ferro-folic)
*When you start give it :
Start on the 1st day of cycle ;then in the 5th day of
the next cycle and continue for 21days
*important point during hx taking before give COCP:
1-fx no.
2-family hx.
3-menstrual hx
4-any medical dis. Like HT ;DVT
*mode of action: act centrally (inhibit ovulation)
&peripherally by alter cervical mucus.
*cause of failure rate :
1-miss pills
2-low dose
3-different time of administration
4-gastroenteritis >>vomiting
5-take another drug (drug interaction)
From choosing contraception ; what is
1-cheap
2-highly effective
3-no S/E
4-rapidly reversible.
5-easily distributed
6-acceptable to all culture and religions
7- widespread availability
8-can be administer by non-health care personnel.
*What is this :progestogen-only pills(taken daily)
*Indication:1-breastfeeding
2-older age
3-cardiovascular risk
4-DM.
5-risk of DVT
*What is this: IUD(levonorgestrel hormone-releasing)
*time of administration: day 3-5 to ensure that pt.not pregnant and OS is patulous .
*Action of IUD in general :
Induce local inflammatory reaction in endometrium&
thicken cervical mucus in LNG-IUD.
And spermicidal + local infla. Raection in copper type.
Copper T IUD
*How to ensure that device inside uterus?
1-Location of thread2-By U/S.
*If cannot fine the thread :
1-thread coil in
2-expulsion of device
3-perforatio
*How localized it?
1-U/S
2-abdominal X-ray
*what are complication at time of insertion :
1-infection 2-truma 3-bleeding 4-pain
LNG IUS
It last up to 10 years whilecopper type lasts 5-7 yrs
Method of administration of Mirena
Method of administration of marina
Emergency contraceptive (single dose or 2 dose )
Type of mechanical contraception :condom
Effect of this contraception +protection against sexually transmitted dis.S/E :allergy +failure if perforated
What is this : female diaphragm
Female diaphragm
Intra-dermal implant act as contraception
Intra-dermal implant act as contraception
What is this : vasectomy(permenent contraception)
It should be bilateralWhat is this : tubal ligation or female sterilization
Type of permenent contraceptionBilateral also
Tubal ligation
Tubal ligation
*What is this : Depo-provera(IM)
*Type of contraception:Depot medroxyprogesteron acetate
*Mode of administration :
IM every 3 months
S/E:
1-wt. gain 2-osteoporosis
3-delay return of fertility
4-menstrual irreg.
To measure size of testis
Name this instrument:
Cusco's self retaining bivalve vaginal speculumUses:
1-to take a pap smear
2-to examine the cervix and vagina
3-during curettage
4- insertion if IUCD
Cusco's self retaining bivalve vaginal speculum
Sims vaginal speculum
*This exam is pap smear (cyto-brush)
*Indication of pap smear :For screening of malignant and
pre-malignant condition and for infection(HPV)
*What is pre-request of pap-smear :
1-avoid sexual intercourse for 2days
2-avoid vaginal douching
3-using of tampons
4-vaginal medication or cream
*Time to do pap smear : at day 12 of
menstrual cycle(5days after menstrual cycle)
Pap smear
Spatula or cyto-brush
Equipment for pap smear:
1-slide2-cyto-brush or spatula
3- Cusco's speculum
4-gloves
Cervical ca
Dx : fibroid
Round ;regular; different in size;white to yellow in color
Type :
1-sub mucus>>>interfere with pregnancy
2-intra-mural>>>interfere with pregnancy
3-sub-serous
Symptoms :
1-asymptomatic
2-abnormal vaginal bleeding
3- infertility
4-pain
5-pressure effect
6-spontenous abortion
fibroid
Laparoscopy :Multiple uterine fibroid
Female presented with irreg vaginal bleed ;dyspareunia ; on examination she had a fixed extroverted uterus : Dx endometriosis
Dx : endometrial carcinoma tx: hysterectomy
Precocious Puberty
FIBROID
FIBROID
Normal uterus by laparoscope
*Speculum examination
*what is the steps of doing this examination :1-permetion
2-do in isolated place+good lightening
3-use sterile speculum
Aim od this exam :
1-to visualization of cervix any local pathology ;mass
Adnexal mass; discharge
2-to visualize the lateral vaginal wall




































































