Pediatric surgeryClinical practice
DR. Bassam Al-AbbasiRespiratory Distress in the Newborn
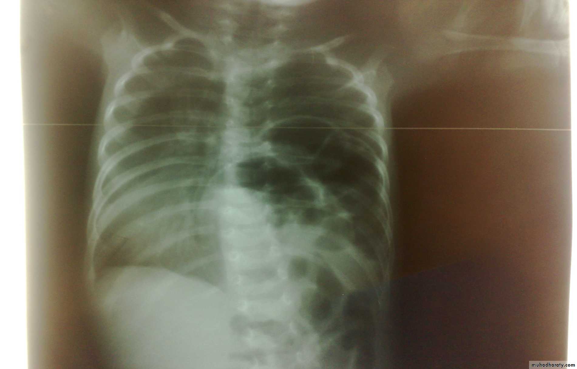
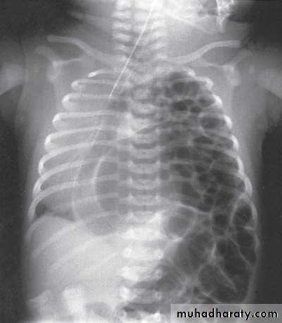
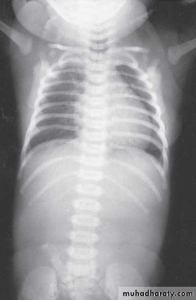
Scaphoid abdomen
content
Defect=sac
Oesophageal Atresia and Tracheo-Oesophageal Fistula,
Bowel Obstruction
N.E.C
Hirschprungs disease
Abdominal Wall Defects
Anorectal Anomalies
Disorders of Sexual Development
Head and Neck
The Umbilicus
Vomiting in the First Months of Life
Intussusception
The Child with an Abdominal Mass
ANY QUESTIONS

































































