قراءة
عرض



Orthopedic surgery

EXAMINATION

OF THE SPINE
بسم الله الرحمن الرحيم

1

SYMPTOMS

Pain
Sciatica
Stiffness
Deformity
Numbness or paraesthesia
Urinary symptoms
Other
2

How to Start

• IPEEP
• INTRODUCE.
• PERMISSION.
• EXPLANTION.
• EXPOSURE.
• POSITION.


3

The Apley System

All joint examinations follow this system:
Look
Feel
Move : Active then Passive
Special Tests
Radiograpgy.

4

Patient in standing

5


Orthopedic surgery


6



Orthopedic surgery


7

INSPECTION

BONE CONTURES.

SOFT TISSUE CONTOURES.

COLOUR AND TEXTURE OF THE SKIN.

SCARS OR SINUSES.

8


Orthopedic surgery


9



Orthopedic surgery


10


Orthopedic surgery


11


Orthopedic surgery


12


Orthopedic surgery


13


Orthopedic surgery



14

PALPATION

SKIN TEMPERATURE.

BONE CONTOURS.

SOFT TISSUES CONTOURS:
Palpate swellings

LOCAL TENDERNESS.

15


Orthopedic surgery


16

MOVEMENTS

Spinal joints :
FLEXION .
EXTENSION.


LATERAL FLEXION.
ROTATION.
PAIN ON MOVEMENT.
MUSCLE SPASM.

17

Costo-vertebral joints

Ranged indicated by chest expansion.

Sacroiliac joints

Pain on movement imparted by lateral compression of pelvis.

MOVEMENTS

18

FLEXION .

Instruct the patient to stretch his fingers towards hIs toes, keepIng the knees straight.
It is important to Judge what proportion of the movement occurs at the spine and how much IS contrIbuted by hIp flexion Some patients can almost reach their toes, despite a stiff back,
simply by flexing unusually far at the hips. (Normally the hamstrings limit hip flexion to about 90 degrees when the knees are straight.)


The range may be expressed as a percentage of the normal,. or

as the distance by which the fingers fall to reach the floor.

Orthopedic surgery



19

due entirely to movement at the hips,

the hamstrings being unusually lax. In estimating
trunk flexion it is important to judge how much of the movement occurs at the
spinal joints and how much at the hips.

Orthopedic surgery

Normal flexion of lumbar spine

Apparent or false flexion
Apparent or false flexion
20



Orthopedic surgery


21


Orthopedic surgery


22

EXTENSION

Instruct the patient to arch the spine backwards, lookIng up at the ceiling.
Judge the range and express approximately as a percentage of
the normal.

Orthopedic surgery


23

Lateral flexion

Instruct the patient to side each hand In
turn down the lateral side of the corresponding thigh. Observe the
range.
Orthopedic surgery



24


Orthopedic surgery


25

Rotation:

With the feet fixed, the patient rotates the shoulders
towards each side in turn. Note the range of spinal rotation as distinct
from that which occurs at the knees and hips.

Orthopedic surgery


26

Examination of the patientin recumbent

27

Palpation of the iliac fossa.


Examine specifically for abcess.


Orthopedic surgery



28

Palpation of the iliac fossae and groins is an essential step in the

It should be remembered
that a 'psoas' abscess originating from a tuberculous lesion of the
lumbar spine first becomes palpable deep in the iliac fossa. Such an
abscess is felt most easily by pressing the flat palmar surface of the hand
and fingers against the flat inner aspect of the iliac bone

29

Signs with patient lying face downwards

Bony outlines
Tenderness
Sensations and Power
Femoral stretch test


30

Femoral stretch test

Looking for femoral nerve root irritation L2-4
Patient prone, ant thigh fixed to couch, flex each knee
Pain felt in anterior compartment of the thigh
Aggravated further by extension of hip

31


Orthopedic surgery


32

NEUROLOGICAL STATE OF LOWER LIMB

Straight leg rasing test.
Muscular system.
Sensory sysytem.
Reflexes.


33

Signs with patient lying on his back

Straight leg raising test (sciatic stretch)

34

Orthopedic surgery




Orthopedic surgery


Orthopedic surgery


35

Straight leg raising test

Holding the knee straight, lift each lower
limb in turn to determine the range of pain-free movement (normal
= 90 degrees; often more in women)
When associated with
clearly defined sciatica (and in the absence of gross disease of the hip),
marked Impairment of straight leg raising by pain suggests mechanical
Interference wIth one or more of the roots of the sciatic nerve.
The
pain is easily explained.
Even a normal sciatic nerve is tautened by
straight leg raising, though not to the point of causing pain by
dragging on the meningeal sheath that encloses the nerve root.


36

NORMALLY UP TO 90 DEGREE

37
Orthopedic surgery




Orthopedic surgery


38


Orthopedic surgery


39


Orthopedic surgery



40

Cutaneous distribution of nerve roots

Orthopedic surgery


41

Circulation in the limbs

Femoral artery pulsation
Popliteal artery pulsation
Dorsalis and posterior tibial artery pulsation

Rectal examination

42

Muscular system

Examine the muscles for wasting, hypertrophy, and fasciculation. Note the tone.
and test the power ,
comparing it with its counterpart in the opposite 11mb.
Circumiferential measurement is a reliable method of comparing
(calf muscles and thigh, the girth being measured at the widest part or equator


Orthopedic surgery


43

Muscle Power Testing MRC Scale

0 Total paralysis
1 Barely detectable contracture
2 Not enough to act against gravity
3 Strong enough to act against gravity
4 Still stronger but less than normal
5 Full power

44


Orthopedic surgery


45

SENSORY SYSTEM

For touch ,
pin prick.
Deep stimuli .
Joint position.
Vibration.
Heat and cold examination
46


SWEATING.
Feel the digit if it is moist , or dry.
Sweating depend upon intact sudomotor nerve fibers.

47

REFLEXES

.
48

The patellar reflex is dependent mainly on L.4 nerve

Orthopedic surgery


49

Testing the calcaneal reflex (mainly S. I nerve),

Orthopedic surgery


50

Examination of potential extrinsic sources of neck symptoms.

Examination should include.
Abdomen,
pelvis,
rectal examination,
lower limbs
Peripheral vascular system.
51


Sometimes there are no local symptoms to indicate that the spine is the seat of the disorder,
Pain referred entirely to the buttock or to the lower 11mb.
often complain only of pain 'in the hip' or 'in the leg' when true source of the trouble is the lumbar spine.
Conversely, the symptoms may suggest a spinal lesion when in fact they arise from abdomen, pelvis, or lower limb, or from occlusion of artery or a leaking aortic aneurysm.

52

53

General examinations

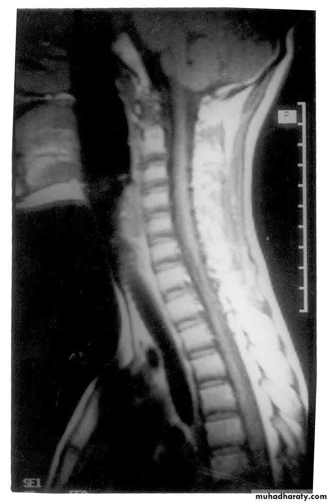
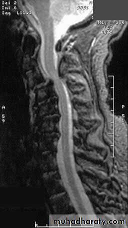
Imaging
Plain x-rays
AP and lateral views
Oblique views
PA view of S.I. Joint
Computed tomography (with mylography)
MR imaging
Radioisotope scanning
Discography and facet joint arthrography


54


Orthopedic surgery


55


Orthopedic surgery


56


Orthopedic surgery


57


Orthopedic surgery


58


CLASSIFICATION OF DISORDERS OF THE TRUNK AND SPINE
59

CONGENIT AL ABNORMALITIES

Lumbar and sacral variations
Hemivertebra
Spina bifida

60

DEFORMITIES

Scoliosis
Kyphosis
Lordosis

61

INFECTIONS OF BONE

Tuberculosis of the thoracic or lumbar spine
Pyogenic infection of the thoracic or lumbar spine


62

ARTHRITIS OF THE SPINAL JOINTS

Rheumatoid arthritis
Osteoarthritis
Ankylosing spondylitis

63

OSTEOCHONDRITIS

Scheuermann's vertebral osteochondritis
Calve's vertebral osteochondritis

64

MECHANICAL DERANGEMENTS

Prolapsed lumbar intervertebral disc
Acute lumbago
Spondylolysis
Spondy lolisthesis
Spinal stenosis


65

TUMOURS

Tumours in relation to the
cord, or nerve roots
Other tumours of the trunk

66

CHRONIC STRAINS

Chronic lower lumbar ligamentous strain
Coccydynia

67

MISCELLANEOUS

Fibrositis
Senile osteoporosis

68


DISORDERS OF THE SACRO- ILIAC JOINTS
Tuberculosis of a sacro-iliac joint
Ankylosing spondylitis
Other forms of arthritis
Sacro-iliac ligamentous strain

69




رفعت المحاضرة من قبل: Abdalmalik Abdullateef
المشاهدات: لقد قام 25 عضواً و 227 زائراً بقراءة هذه المحاضرة








تسجيل دخول

أو
عبر الحساب الاعتيادي
الرجاء كتابة البريد الالكتروني بشكل صحيح
الرجاء كتابة كلمة المرور
لست عضواً في موقع محاضراتي؟
اضغط هنا للتسجيل