MALABSORPTION SYNDROME
This occurs when the normal digestion and absorption of food is interrupted.
PATHOPHYSIOLOGICAL (MECHANISM):- Is divided into:
A) Intraluminal stage
Impaired hydrolysis and solubilization of nutrients in the small intestine.
2) Impaired protein absorption:
Hydrolysis of polypeptides occurs mainly in small intestine by action of pancreatic enzyme trypsin, chymotrypsin.
Deficiency of pancreatic proteases – impaired protein absorption.
Diseases like:
Chronic pancreatitis
Cystic fibrosis
Ca. pancreatic resection
- Protein malnutrition
B) Intestinal stage
1) Abnormalities of small intestinal mucosa.
Lactase deficiency
e.g. Congenital or acquired
Result – malabsorption of lactose.
Acquired:- i) Coeliac disease
ii) Crohn’s disease
iii) Infective enteritis
2) Impaired epithelial cell transport:
Many diseases cause loss of intestinal surface area
- malabsorption of many nutrients.
e.g. i) Coeliac disease
ii) Tropical spure
iii) Extensive surgical resection
iv) Drugs
3) Impaired carbohydrate absorption:
Most diseases that causes carbohydrate malabsorption do so by affecting intestinal stage.
But amylase catalyse hydrolysis of starch to oligosaccharides.
C) Lymphatic transport:
Lymphatic obstruction – fat malabsorption
e.g. i) Intestinal lymphangiectasia
iii) Tuberculous enteritis
iv) Intestinal lymphoma
D) Decreased availability of ingested nutrients and
cofactors for absorption.
i) Vitamin B12 malabsorption if intrinsic factor is deficient. e.g. gastrectomy, antiparietal cell Ab.
ii) Bacterial overgrowth –can bind B12.
iii) Patient infected with fist tapeworm – B12 deficiency.
CLINICAL MANIFESTATIONS
History:
Diarrhea/steatorrhoea Weight loss Symptoms of anaemia
Diarrhoea – bulky, floating, malodorous stool – difficult to flush.
Weight loss – may be profound, usually associated with anorexia.
Anaemia – B12, iron, folate malabsorption.
Patient may complain of dizziness, dyspnoea and fatigue.
Important part of history:
Recent travel - giardiasisDrug abuse/multiple blood transfusions or ethanol
abuse
surgical resection
- small bowel
- gastric
Malabsorption + chronic lung disease = cystic fibrosis
Fever + weight loss = TB, lymphoma.
O/E:
Normal.
Pallor - muscle wasting
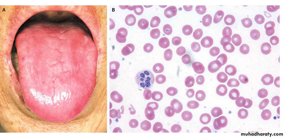
Sign of vitamin deficiency
glossitis – B deficiency
ecchymoses
parasthesia
tetany
Investigations:
General:
- CBC
- Blood film
- Ca.
- B12, folate
- Iron study
- LFT, PT, PTT
Investigations:
Specific:Tests of fat absorption:
Quantitative fecal fat
Patient should be on daily diet containing 80-100 grams of fat.
Fecal fat estimated on 72 H collection.
6 grams or more of fat/day is abnormal.
May be due to: - Pancreatic
- Small intestinal
- Hepatobiliary disease
Carbohydrate absorption test
1) Hydrogen breath test
Hydrogen excretion ↑ in
bacterial overgrowth
small intestinal malabsorption
2) D-xylose test
5-carbon sugar excreted unchanged in urine
25 grams given
Urine collected for 5 hours
Normally 25% is excreted
In patients with fat malabsorption, this test
differentiates pancreatic from small intestinal malabsorpton.
D-xylose is normal in pancreatic disease
Serum level of D-xylose at 1-2 hours after ingestion can be measured.
Pancreatic function tests
1. Direct
2. Indirect
3.Radiographic techniques:
- Plain abdominal X-ray
- U/S abdomen
- ERCP
- CT abdomen
- Endoscopic ultrasound
1. Direct
Involve the stimulation of the pancreas through the administration of a meal or hormonal secretagogues.
After which duodenal fluid is collected and analyzed to quantify normal pancreatic secretory content (ie, enzymes, and bicarbonate).
2. Indirect
They measure the consequences of pancreatic insufficiency and are more widely available. However, they depend upon the consequences of pancreatic maldigestion, which are generally not apparent until normal enzyme secretory output has declined by more than 90 percent.
Thus, they are insensitive to early pancreatic insufficiency.
(A) Pancreatic Exocrine dysfunction
1. Fecal fat estimation:
- Qualitative: by Sudan staining of feces.
It is nonspecific.
- Quantitative: A 72-hour quantitative fecal fat determination is the gold standard.
Usually performed over 72 hours.
Excretion of more than 7 g of fat per day is diagnostic of malabsorption, although patients with steatorrhea often have values greater than 10 g/day.
In the proper clinical setting (eg, in a patient with typical symptoms of abdominal pain), confirmation of increased fecal fat excretion may be sufficient to diagnose chronic pancreatitis.
2. Fecal elastase measurement:
It is the most sensitive and specific, especially in the early phases of pancreatic insufficiency.
Values less than 200 mcg/g are suggestive of pancreatic insufficiency.
3) Pancreatic stimulation test
Secretin stimulation.
4) Radiographic techniques:
- Plain abdominal X-ray
- U/S abdomen
- ERCP
- CT abdomen
Classification of Malabsorption Syndrome
Inadequate digestion:
Postgastrectomy steatorrhea.
Exocrine Pancreatic insufficiency.
Reduced bile salt concentration in intestine:
I.) Liver Disease
II.) Cholestasis
III.) Bacterial over growth
IV.) Interruption of enterohepatic circulation of bile salt.
Inadequate absorptive surface:
Resection
Diseased intestine
Lymphatic obstruction.
e.g Lymphoma
D. Primary mucosal defects.
Crohn’s disease
Coeliac disease
Tropical Sprue
Disaccharide Deficiency
Lymphoma
TB
Intestinal mucosal biopsy:
- using crossby capsule- endoscopy
Coeliac disease:
- Villous atrophy
Tropical spure:
- short villi and increased lymphocyte
Malabsorption due to bacteral over growth of small bowel
Normal small intestine is bacterial sterile due to:
Acid
Int. peristalsis (major)
Immunoglobulin
Cause of bacterial growth.
e.g.
Small intestinal diverticuli
Blind loop
Strictures
DM/ Scleroderma
Pathophysiology
Bacterial over growth: Metabolize bile salt resulting in deconjugation of bile salt
Bile Salt
Impaired intraluminal micelle formation
Malabsorption of fat.
Intestinal mucosa is damaged by
Bacterial invasion
Toxin
Metabolic products
Damage villi may cause total villous atrophy.
Clinically:
Steatorrhea
Anaemia
B12 def.
Reversed of symptom after antibiotic treatment.
Diagnosis:
Breath test
Cxylose test
Culture of aspiration (definitive)
Treatment: Antibiotic
Tetracyclin
Ciproflexacin
Metronidazole
Amoxil
Test for bacterial overgrowth:
Intestinal aspiration and culture
Breath test
C-D xylose breath test
Radiography of small intestine:
Barium swallow and follow-through – to see
- Blind loop
- Stricture
- J. diverticular
Intestinal Lymphoma
Primary 2nd
Affect male = 50 Y.
Feature of malabsorption
Biopsy resemble coeliac sprue
Abdominal pain
Fever
Incomplete respond to gluten free diet.
Absent features of generalized lymphoma.
Malabsorption may be due to:
Diffuse small intestinal mucosa disease.
Obstruction of lymphatic channels
Stenosis bacterial overgrowth.
Fever
Diagnosis:
History/Endoscopic Biopsy -CT scan of abdomen
Laparotomy
Some form secretion - heavy chain
Ig A.
Complication:
Perforation
Bleeding
Intestinal obstruction
Treatment:
ChemotherapySurgery
Selection of tests in evaluation malabsorptionQuantitaive fecal fatNormalAbnormalD-xylose testNormalAbnormalAbd. Radiograph14 C-D-xylose testBentiromide testCT-abd.NormalSmall intestinal BxAbnormal Jej culture TetracyclinThen repeat breath test
Tests for pancreatic function:
1) Bentiromide test:Chymotrypsin
PABA + pepside
PABA absorbed and conjugated in liver
urine excretion
2) Schilling test
1) Impaired fat absorption:
Causes:i) Pancreatic lipase deficiency:
Pancreatic lipase is necessary for triglyceride hydrolysis in duodenum.
ii) Inactivation of pancreatic lipase by low gastric luminal
pH – fat malabsorption.
iii) Interruption of enterohepatic circulation of bile salt – impaired micelle formation – fat malabsorption.
Absorption of fat soluble vitamins may be impaired as well.
مع تحيات
مكتب زياد للاستنساخ والطباعة الليزريةموصل- مقابل كلية طب الموصل























