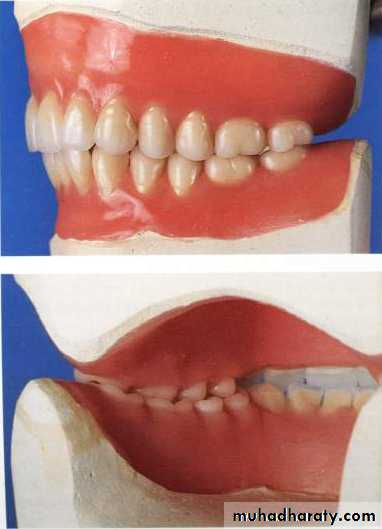
Arrangement of artificial teeth for complete denture
Aliaa W AL-OmariArrangement of anterior teeth
Position of teethAnterior teeth
• Incisive papilla
• Lip
• Crest of the ridgeUpper anterior teeth anterior to the crest of the upper ridge
Lower anterior teeth over the crest of the lower ridge
The teeth set too far labially giving
the lips a “pouched out”appearance.The teeth set too far lingually giving
the lips a “dished in” appearance.The occlusal rims contoured to
hold the lips in proper position.The teeth properly set in the wax to
maintain desired labial fullness.
Over bite: the vertical distance between the incisal edges of maxillary and mandibular teeth.
Over jet: the horizontal distance between the incisal edges of maxillary and mandibular teeth.
Techniques
• Upper central incisor• Long axis shows slight mesial inclination.
• The incisal edge is on the occlusal plane.
• The neck of tooth should be slightly depressed.
• Upper lateral incisor
• Long axis shows more mesial inclination.
• The incisal edge is usually 0.5-1mm above the occlusal plane.
• The neck of tooth depressed more than that of central incisor.
Techniques
• Upper canine• The canine tooth is an important tooth in any tooth arrangement because it forms the corner of dental arch .
• The maxillary canine have two planes in the facial surface; the mesial plane should follow the contour of the anterior teeth while distal plane will be in line with posterior teeth.
• Long axis perpendicular to the occlusal plane.
• The cusp tip touch the occlusal plane.
• The neck of tooth should be prominent (support the corner of the mouth).
Techniques
• Lower central incisor• Long axis slightly inclined mesially.
• The neck of tooth should be slightly depressed.
• The incisal edge should form (1-2mm) horizontal and vertical overlap in respect with upper central incisor (above the occlusal plane).
• Lower lateral incisor:
• Long axis mesially inclined.
• It placed as in central incisor.
• Lower canine:
• Long axis slightly inclined mesially.
• The neck of tooth should be set prominent and the cusp tip 2mm above the occlusal plane .
•
The middle of the crest of the mandibular ridge should be recorded.
mark the midline of the patient’s face by placing a dot on the incisive papilla and marking this midline on the maxillary anterior land area, extending down the front of the cast. The incisive papilla is a much more reliable landmark for the midline than the labial frenum.• Make a cut with a heated, sharp knife, at the midline in the anterior wax rim. Cut all the way to the baseplate. Make a similar cut just distal to the canine point. Remove this section of wax in its entirety.
Use a flat plate to position the central incisor so that it contacts the occlusal plane.
Set the rest of the anterior teeth on the right side according to the curve defined by (occlusal rim).Use a flexible plastic ruler to verify that the incisal portion of the tooth’s labial surface is properly located and in contact with the anterior curvature of the occlusion rim.
An anterior view of the maxillary anterior teeth shows that only the lateral incisors do not touch the occlusal plane as recorded by mandibular wax rim.
Mark the midline of the mandibular ridge on the mandibular wax rim and cut out a section representing the right mandibular anterior teeth from the rim.
Arrange the lower anterior teeth following the arch shape
Position the teeth over the crest of the ridge and the incisal edges labially inclined.
Set the mandibular central incisors so that the maxillary incisors cover them, 1mm vertically and 1mm horizontally (1mm horizontal and vertical overlap) if you are using anatomic posterior teeth
Arrangement of posterior teeth
Position of teethPosterior teeth
• Neutral zone
Forces exerted by the cheeks & tongue should be equal
Position of teeth
• Crest of the ridgeMandibular posterior teeth positioned along a line extending from the tip of canine to the middle of retromolar pad. This line should pass through the central fossa of mandibular premolars & molars
Distance from distal of the canine to ascending area of the mandible
Position of teeth
Lingual cusps of maxillary posterior teeth occlude in the central fossae of the mandibular posterior teeth.
This relation ship places the buccal cusp of maxillary posterior teeth lateral to the buccal cusps of mandibular posterior teeth so supporting the cheek & prevent cheek biting
Curve of spee
Curve of wilson
Defined as the anatomic curve established by the occlusal alignment of the teeth in the median plane.Defined as the mediolateral curve that contacts the buccal and lingual cusp tips on each side of the arch.
Present in natural dentition
• The occlusal plane: The occlusal plane is defined as the average plane established by the incisal and occlusal surfaces of the teeth".
• Compensating curve: the anterio-posterior curvature (in the median plane) and the mediolateral curvature (in the frontal plane) in the alignment of occluding of surfaces and incisal edges of artificial teeth of complete denture.
Techniques
Upper first premolarThe facial surface of 1st premolar must harmonies with canine.
Long axis of tooth perpendicular to the occlusal plane.
Buccal cusp touch the occlusal plane
Palatal cusp is about 1 mm over the occlusal plane.
Palatal cusp over crest of mandibular ridge
Upper second premolar
Long axis of tooth perpendicular to the occlusal plane.Buccal and palatal cusps touch the occlusal plane
Palatal cusp over crest of mandibular ridge
Techniques
Upper first molarMesiopalatal cusp touch the occlusal plane
The facial surface 1st molar must harmonies with 1st and 2nd premolar
Palatal cusp over crest of mandibular ridge
Upper second molar
All four cusps are above the occlusal plane
The facial surface of 2nd molar must harmonies with 1st molar
Techniques
Lower first premolarLong axis of tooth perpendicular to the occlusal plane.
Buccal cusp above the occlusal plane
Lingual cusp is below the occlusal plane.
Lower second premolar
Long axis of tooth perpendicular to the occlusal plane.
Buccal and palatal cusps above the occlusal plane
Techniques
Upper first molarAll cusps above the occlusal plane
Upper second molar
All four cusps are above the occlusal plane
Remove the wax on one side of the maxillary baseplate.
The rim is left intact on the opposite side because this will help you to maintain the location of the occlusal plane.Set the teeth on the maxillary right side so that the mesiolingual cusp of the maxillary first molar rests in the central fossa of the mandibular first molar.
Set the teeth so that the buccal surfaces of the premolar(s) and mesial cusp of the first molar line up with the mid-buccal surface of the canine.
The distobuccal cusp of the first molar should deviate approximately 20o from this plane and the second molar will fall along this plane.
Remove enough wax to allow setting most of the posterior.
Check the position of the teeth over the crest of the ridge.
Buccal cusp of the lower 1st premolar contacts the mesial marginal ridge of the upper 1st premolar.
Buccal cusp of the lower 2nd premolar contacts the fossa between two upper premolars.
Mesio buccal cusp of the lower 1st molar occludes in the fossa between upper 2nd premolar and 1st molar.
Mesio buccal cusp of the lower 2nd molar occludes in the fossa between upper 1st and 2nd molars.
Arrangement for class ii& class iii
class IIMolar relation class I
Maxillary anterior teeth larger or mandibular anterior teeth smaller
Mandibular 1st premolar eliminated if needed
Class III
• Molar relation class I
• Mandibular anterior teeth larger
• Maxillary 1st premolar eliminated if needed
?
?
?
?
?
?
?
Questions?
Questions?
Questions?






























































