Histology
lecture 3جنرال هستولوجي
ثاني اسنان موصل
11 / 4 / 2016
1
lecture 1
2Urinary system
The urinary system consists of the 2 kidneys, two ureters, bladder, and urethra.It contribute to the maintenance of the homeostasis by producing the urine, in which various metabolic waste-products are eliminated, these kidneys also regulate the fluid balance of the body and are the site of production of rennin and erythropoietin.
3
Kidney
Position:-The kidneys located high on the posterior wall of the abdomen beneath the peritoneum. Right kidney is lowered than left due to the presence of liver. The kidneys occasionally congenitally located in the lower part of the abdomen. Ectopia of the kidneys or Ectopic kidneys.
Structure :
The kidneys are solid, bean shaped organs. It has a convex and concave border which faces the midline. The concave area show a depression called hilum through which the ureter desend and the renal vein leave, and the renal artery enter and lymphatic vessel and nerve.
4
On section:-
The kidneys show two areas an outer area called cortex and inner area called medulla which surround a cavity called Renal Sinus, which opens at the hilum.Renal Sinus :-
It contain:-
The upper expanded portion of the ureter (pelvis of the ureter)
Two major calyces and about eight minor calyces.
Branches of the renal arteries veins and nerves .
Loose connective tissue and fat.
5
6
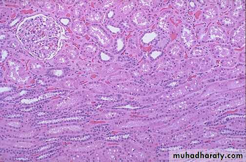
In fresh unfixed kidneys the cortex is dark brown in colour and granular in appearance.
It contains many convoluted tubules and numerous rounded, reddish bodies, Renal Corpuscles or Malpighian Corpuscles. Which are not visible by the necked eye.The inner Medullary Zone of the parenchyma is radialy striated in appearance because of the tubular and vascular elements that run in parallel radial lines.
7
8
9
Uriniferous tubules
The parenchyma of the kidney consist of closely packed uriniferous tubules, between which are blood vessels and scanty amount of interstitial tissue.Two types of uriniferous, tubules are distinguished :
Secretory tubules ( nephron ) :Which function in the formation of urine.
Excertory tubules : Which are ducts that collect urine and carry it to the pelvis,Include the colleting ducts and papillary ducts.
10
Nephrons
Each nephron consist of :1. Renal corpuscle (Malpighian corpuscle ).
2. Proximal convoluted tubule.
3. Loope of Helene .
4. Distal convoluted tubule .
11
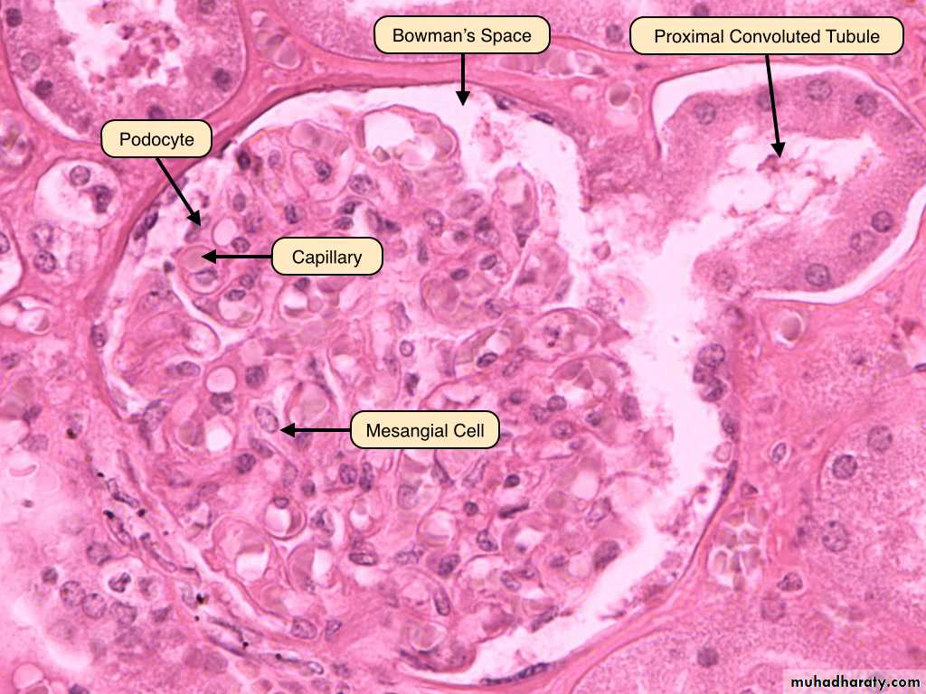
Renal corpuscle
The renal corpuscle is spherical in shape consist of two parts:-
1. Glomerulus.
2. Bowman's capsule
Each renal corpuscle has got two poles:-
Vacular pole :- the point where the afferent arteriole enter and the efferent arteriole leave.
Urinary pole: - where the proximal convoluted tubule.
12
13
14
Glomerulus
The Afferent arteriole as it enter Bowman's capsule divide into five large groups of capillaries. Each capillary divide into smaller capillaries, that follow an irregular looped coarse and form the efferent arteriole.The looped capillaries arising from each main branch of the afferent arteriole tend to be grouped together giving the glomerulus a lobuted appearance or Segmental appearance so that the glomerular capillaries are divided into five segments.
The efferent arteriole has a smaller caliber than the afferent arteriole because the arteriole due to that a considerable quantity of fluid is filtered from the blood white it flows through the glomerular capillaries.
15
• Glomerular capillaries
• Are the most fenestrated type of capillaries in the body.
• The endothelial cells of the gl. Capillaries are very thin.
• The fenestrate or pores measure .04-0.1μ. Lacks diaphragms.
• Large molecules are readily passed through the pores.
• Basal lamina of the glomerular endothelial cells unite with the basal lamina of the visceral layer of the Bowman’s capsule to form basement.
16
Bowman’s capsule: Formed of 2 layers
Parietal layer: consist of simple squamous epithelium lying on a basal lamina and a thin layer of reticular fiber which form a network with the reticular tissue around the renal tubules.Visceral layer: lined by a special type of cells called (Podocytes)
17
Bowman’s capsule
18Podocytes
The podcytes are branched cells with a body from which arise primary processes that give secondary processes which embrace the glomerular capillaries.Beside the endothelial cells and podocytes. The glomerular capillaries have mesangial that support the glomerular capillaries.
19
Proximal convoluted tubule :-
1. It is the initial tortous segment close to the renal corpuscles .2. It is the larger & longer than distal convoluted tubules .
3. It is found in the cortex usually in cross section .
4. It is lined with cuboidal epithelium .The cytoplasm is strongly acidophilic due to abundance of elongated mitochondria.
20
21
22
Functions of proximal convoluted tubule
1. reabsorption of 85%of Na, Cl &water . Na is reabsorbed by active process. Cl, & water, reabsorbed by passive process.2. reabsorption of glucose . When the amount of glucose exceeds the absorbing capacity of the proximal tubule it appears in urine as in case of diabetes.
3. reabsorption of protein & amino acid.
4. Excretion of any foreign substances to the organism.
23
Loop of Henle
Formed of the following:• Thick descending segment: which is the straight continuation of the proximal convoluted tubules that descend in the cortex &have the same structure of the proximal convoluted tubule. the descend part is quite permeable
• Thick ascending segment: The ascending part is impermeable to water & highly active in transporting sodium to the interstitial fluid.
24
3. Thin segment of loop of Henle: These associated with juxta medullary glomeruli are long & extend deep into the medulla, Thus thin Henle loop may be found in the cortex & in the medulla. In human kidney a few loops of henle are located entirely within the cortex.
25
The microscopic appearance of the thin segment
1. Have flat sequamous lining epithelium .2. Resemble dilated capillary .
3. Lining cells show short microvilli in electron microscope .
4. Some basal & lateral interdigitations.
26
27
28
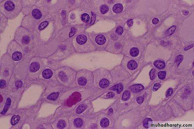
Distal convoluted tubule :
When the thick part of loop of Henle penetrate the cortex, it preserves its histological structure but become tortous & then called distal convoluted tubules which is the last segment of the nephron. The distal convoluted tubule found in the cortex.29
• The histology of the distal convoluted tubule :L|M &E|M.
• It appear in slide in cross section because it is convoluted .• It is lined by cuboidal epithelium.
• Number of lining cells of the distal convoluted tubules is more than that of the proximal convoluted tubules.
• Cells are less acidophilic than the proximal convoluted tubules due to decreased number of mitochondria.
• Lumen is wider.
• Microvilli on the laminar surface are not well formed & comparatively scanty.
• Mitochondria are present but less than that of proximal convoluted tubules.
• Boundary between the cells are present while in the proximal convoluted tubules it is absent.
• Extensive Basel & lateral extensions .
30
31
32
Functions:
• Maintain acid - base balance.• Important in urine concentration .
• Reabsorption of Na ions from the lumen of the distal convoluted tubules to the blood while K is excreted in the urine.
• Bicarbonate ions are reabsorbed back to the blood & hydrogen ions are excreted so the urine is acidic .
• Its function is under the effect of aldosterone secreted by the adrenal cortex.
33
Collecting tubules
The arched collecting tubules connect the distal convoluted tubules with the collecting duct. they are still in the cortex & empty in the straight collecting tubules . these tubules are lined with a single layer of cuboidal epithelium which show a distinct cell borders which are more obvious than in any of the other portions of the uriniferous tubules.34
CD
35
lecture 2
36Lymphatic System
The lymphatic system is formed from the lymphatic organs, lymphatic vessels, lymph & small masses of lymphoid tissue called lymph nodes. The major lymphatic organs are the lymph nodes, tonsils, thymus & spleen.Function:
1- Drain the protein containing fluids from the tissue spaces, such proteins can not be directly reabsorbed by the capillaries of the blood.2- Transport fats from the digestive tract to the blood.
3- Produce lymphocytes & antibodies (immunoglobulins) forming part of the immune system of the body).
37
Lymphocytes:
are the cells that carry out the immune response, 2 main types of lymphocytes are present found in the blood, lymph & lymphatic organs: T-lymphocytes & B- lymphocytes they appear similar morphologically but different functionally, they are distinguished according to the receptors present on their cell membrane, both cell types originate from stem cells in the bone marrow then they enter the blood stream.Types of lymphocytes:
T-lymphocytes: responsible for cellular immunity (i.e. sensitized T- lymphocyte itself has the capacity to invade the foreign agent & destroy it) they are circulating in the blood
B- lymphocytes: responsible for humeral immunity (i.e. they produce antibodies & these antibodies attack the invading antigen) they are the fixed type.
38
Lymph node:
The L.N are encapsulated bean or kidney shaped organs composed of lymphoid tissue, inactive nodes are only few millimeter long but may increase greatly in size after stimulation & active immunological response, distributed throughout the body along the coarse of the lymphatic vessels, they are found in the axilla, groin, around the aorta ( paraaortic lymph nodes), along the great vessels of the neck, in the thorax, abdomen especially in the mesentery, each L.N characterized by a convex & concave side, the afferent lymphatic vessels enter through the convex side while on the concave side there is identation called “hilum” through which the arteries & nerves penetrate & the veins with the efferent lymphatic vessels leave.39
Histological structure:
It is surrounded with a C.T capsule formed of collagen, elastic fibers, & smooth muscle cells present only at the point entrance & exit of lymphatic vessels, the C.T. capsule send C.T trabeculae that divide the lymph nodes into compartments called cortical trabeculae which extend to the medulla & called medullary trabeculae, they carry the trabecular vessels that deliver the nutrition & oxygen supply to the cortex & medulla.40
41
42
Each lymph node has 3 regions:
1- cortical zone: lies at the periphery below the capsule.
2- medullary zone: lies in the central part of the lymph node.
3- paracortical or juxtamedullary or deep cortex: lies between the outer cortex & inner medulla.
43
Cortical zone:
It is formed of reticular tissue infiltrated with lymphocytes, it contain 3 components:Lymphatic nodules.
Marginal sinuses (or subcapsular sinuses).
Cortical trabeculae.
44
45
Medulla: consist of
Medullary cords: contains numerous B-lymphocytes, plasma cells that migrate from the cortex & macrophages.Medullary sinuses: continuous with the cortical lymphatic sinuses drain the lymph into the efferent lymphatic vessels.
Medullary trabeculae: are C.T trabeculae continuous with the cortical trabeculae carrying the medullary blood vessels.
46
47
Circulation of the lymph:
From the afferent lymphatic vessels the lymph pass to the subcapsular sinuses then to the cortical sinuses then to the medullary sinuses then it will be collected by the efferent lymphatics & leave through the hilus.48
Functions of the lymph node :
1-filteration of lymph.2-production of lymphocytes.
3-production of antibodies.
4-phagocytosis of foreign bodies
49
lecture 3
50Tonsils:
Palatine Tonsils:are paired structures lie in the oropharynx between 2 arches (the palatoglossous & palatopharyngeal arch).
they are surrounded by a connective tissue capsule which separate this lymphatic aggregation from the remaining parts of the oropharynx, connective tissue trabeculae extend from the capsule to the inside of the tonsils in between the lymphatic aggregation called internodular septa.
covered by the same epithelium that lines this part of the pharynx which is non keratinized stratified squamous epithelium.
51
histological structure is formed from lymphatic tissue either diffuse form or arranged in the form of nodules.
The surface of the tonsils shows indentations or downward depressions lined by the same surface epithelium called "crypts" (primary crypts) which give rise to secondary crypts, the lymphatic nodules distributed regularly along these crypts, lymphocytes sometimes migrate e to lie inside the cavity of the crypts & surrounded by saliva forming salivary corpuscles.
mucus alveoli in the oropharynx produce mucous secretions pass through their ducts which open on the surface epithelium of palatine tonsils & not in the bottom of the crypts so that food particles and bacteria are not washed continuously leading infection in tonsils (tonsilitis).
52
53
54
Function of palatine tonsils:
Responsible for immunity of the body because they contain B & T- lymphocytes thus they are important especially in children, but if recurrent tonsillitis occurs then tonsilectomy is indicated.55
Thymus:
(Thyme: is a plant, the thymus is similar in shape to the wings of that plant).
is lymphoepithelial primary central organs of lymphoid tissue lies in the superior mediastinum & may extends down to the anterior mediastinum anterior to the pericardium & great vessels descending inferiorly as far as the 4th costal cartilage.
56
Histological structure:
It is formed of 2 lobes, each lobe is surrounded by a delicate fibrous capsule from which septa penetrate each lobe dividing it into lobules (each of 0.5-2 millimeters in diameter), each lobule consist of darkly stained densely cellular cortex & light stained less cellular medulla.57
cortex
58Functions of thymus:
It is important in immunity.Secretion of (THF) which stimulates the development of other lymphatic organs.
T-lymphocyte continue their processing & maturation in the thymus during embryonic life & for few months after birth thus removal of thymus just after birth is dangerous& lead to death.
59
60
Spleen:
is the largest accumulation of lymphoid tissue in the body, lies in the left hypochondrium beneath the diaphragm extending in the area between 9th & 11th ribs.61
Histological structure:
The spleen is surrounded by connective capsule containing few smooth muscle fibers from which connective tissue trabeculae extend even to reach the red pulp containing nerves & "trabecular vessels".The spleen is formed of 2 areas: white pulp & red pulp.
1. The white pulp also called "splenic pulp" or "Malpighian corpuscle" is formed of aggregations of lymphocytes which are mainly B-lymphocytes arranged as multiple lymphatic nodules differ from that of the lymph node in that they contain "central artery“.
62
2. The red pulp is formed of two elements:
splenic cords: which are formed of lymphocytes (mainly B-lymphocytes) with all types of blood cells (RBCs, granular leukocytes, platelets, plasma cells & macrophages) arranged in the form of thin cords.venous sinusoids: are irregular dilated blood spaces containing blood lie between the splenic cords, they are lined with cubical epithelium with gaps in between the cells lie on an incomplete basal lamina & they are surrounded by reticular fibers& macrophages.
63
64
Function of Spleen:
• formation of lymphocyte.• immunity for the body.
• development of new RBCs which are stored in the spleen thus it act as a reservoir for the blood. It can give blood whenever it is needed such as after car accident.
• filtration of blood.
• destruction of old RBCs. which are destroyed in the spleen & the iron which is left is used for the formation of new RBCs.
65
66
67























