قراءة
عرض




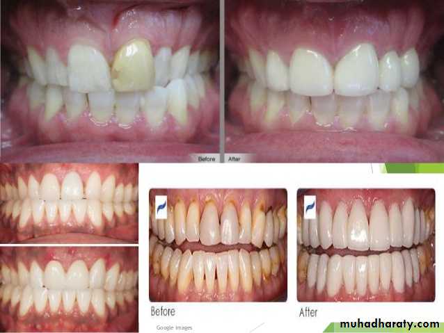
tooth restorative materials

Dr.salwan AL-Hamdani

MSc.PROSTH.
مادة سنية (م 10)
ثاني اسنان موصل
28 / 2 / 2016


tooth restorative materials




tooth restorative materials


tooth restorative materials





tooth restorative materials

Types :

tooth restorative materials




tooth restorative materials




tooth restorative materials




tooth restorative materials





tooth restorative materials




tooth restorative materials




tooth restorative materials




tooth restorative materials




tooth restorative materials





tooth restorative materials


tooth restorative materials


tooth restorative materials




tooth restorative materials




tooth restorative materials




tooth restorative materials





tooth restorative materials




tooth restorative materials




tooth restorative materials





رفعت المحاضرة من قبل: Firas Ragheed
المشاهدات: لقد قام 15 عضواً و 188 زائراً بقراءة هذه المحاضرة








تسجيل دخول

أو
عبر الحساب الاعتيادي
الرجاء كتابة البريد الالكتروني بشكل صحيح
الرجاء كتابة كلمة المرور
لست عضواً في موقع محاضراتي؟
اضغط هنا للتسجيل